Entyloma hieracii an Habichtskraut

Spezialforum zum Thema phytoparasitische Kleinpilze ( Rost, Brand, Mehltaupilze etc. ) und tierische Gallen an Wild.- und Nutzpflanzen. Forumsstart - 15.07.2006
Benutzeravatar
Julia
Forums Gott
Beiträge: 2342
Registriert: Mo 7. Aug 2006, 19:23
Kamera: Olympus FE 120 +Panasonic LX 7
Wohnort: Barkelsby, Frankfurt a. Main
Kontaktdaten:

Entyloma hieracii an Habichtskraut

Ungelesener Beitrag von Julia »

Hallo,

für heute morgen habe ich mal wieder ein Schmankerl ausgepackt, nämlich endlich mal wieder einen neuen Brandpilz :)

Gefunden am 02.06.2012 in D, Thüringen, Lkr. Sonneberg, Siegmundsburg Richtung Freidrichshöhe, Straßenrand, Bergwiese; MTB: 5532/1, Höhe NN: 820m auf den Blättern vom Wald-Habichtskraut (Hieracium murorum agg.).

Es handelt sich hierbei um Entyloma hieracii Syd. & P. Syd. ex Cif.

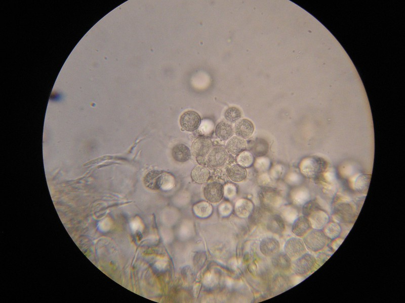
Befallsbild: Sporenmasse dauerhaft in den Blattflecken eingeschlossen bleibend. Rundlich, bis zu 5mm im Durchmesser. Anfangs noch weißlich, später dann bräunend mit einem rötlichen Rand (im Durchlicht dunkel). Nicht zu verwechseln mit der Gallbildung durch die Gallmücke Cystiphora sanguinea. Das sieht ähnlich aus, allerdings sind die Flecken weitgehenst durchsichtig und man sieht sehr oft mindestens eine Larve (durchs Blatt). Sporen hyalin, rundlich, 11,3µm x 10,7µm.
Der Pilz ist mit Sicherheit relativ selten!
Siegmundsburg (2).JPG
Siegmundsburg (2).JPG (198.1 KiB) 2042 mal betrachtet
Originalwert Bild aufgenommen am/um:
2012:06:02 18:27:35
Bild aufgenommen am/um:
Sa 2. Jun 2012, 16:27
Brennweite:
6.3 mm
Belichtungszeit:
1/80 Sek
Blendenwert:
f/2.8
ISO:
80
Weißabgleich:
Automatisch
Blitz:
Blitz nicht ausgelöst, Erzwungener Blitzmodus
Kamera-Hersteller:
OLYMPUS IMAGING CORP.
Kamera-Modell:
FE-120,X-700
Belichtungsmodus:
Kreativprogramm (optimiert auf größtmöglichen Schärfebereich)
Belichtungskorrektur:
0 EV
Belichtungsmessung:
Muster
Siegmundsburg (4).JPG
Siegmundsburg (4).JPG (133.82 KiB) 2040 mal betrachtet
Originalwert Bild aufgenommen am/um:
2012:06:02 18:27:54
Bild aufgenommen am/um:
Sa 2. Jun 2012, 16:27
Brennweite:
6.3 mm
Belichtungszeit:
1/100 Sek
Blendenwert:
f/2.8
ISO:
80
Weißabgleich:
Automatisch
Blitz:
Blitz nicht ausgelöst, Erzwungener Blitzmodus
Kamera-Hersteller:
OLYMPUS IMAGING CORP.
Kamera-Modell:
FE-120,X-700
Belichtungsmodus:
Kreativprogramm (optimiert auf größtmöglichen Schärfebereich)
Belichtungskorrektur:
0 EV
Belichtungsmessung:
Muster
Siegmundsburg (7).JPG
Siegmundsburg (7).JPG (128.15 KiB) 2041 mal betrachtet
Originalwert Bild aufgenommen am/um:
2012:06:02 18:28:17
Bild aufgenommen am/um:
Sa 2. Jun 2012, 16:28
Brennweite:
6.3 mm
Belichtungszeit:
1/125 Sek
Blendenwert:
f/2.8
ISO:
80
Weißabgleich:
Automatisch
Blitz:
Blitz nicht ausgelöst, Erzwungener Blitzmodus
Kamera-Hersteller:
OLYMPUS IMAGING CORP.
Kamera-Modell:
FE-120,X-700
Belichtungsmodus:
Kreativprogramm (optimiert auf größtmöglichen Schärfebereich)
Belichtungskorrektur:
0 EV
Belichtungsmessung:
Muster
Siegmundsburg (8).JPG
Siegmundsburg (8).JPG (78.08 KiB) 2035 mal betrachtet
Originalwert Bild aufgenommen am/um:
2012:06:02 18:28:23
Bild aufgenommen am/um:
Sa 2. Jun 2012, 16:28
Brennweite:
6.3 mm
Belichtungszeit:
1/400 Sek
Blendenwert:
f/2.8
ISO:
80
Weißabgleich:
Automatisch
Blitz:
Blitz nicht ausgelöst, Erzwungener Blitzmodus
Kamera-Hersteller:
OLYMPUS IMAGING CORP.
Kamera-Modell:
FE-120,X-700
Belichtungsmodus:
Kreativprogramm (optimiert auf größtmöglichen Schärfebereich)
Belichtungskorrektur:
0 EV
Belichtungsmessung:
Muster
1000er Siegmunds (3).JPG
1000er Siegmunds (3).JPG (78.34 KiB) 2042 mal betrachtet
Originalwert Bild aufgenommen am/um:
2011:06:03 16:15:51
Bild aufgenommen am/um:
Fr 3. Jun 2011, 14:15
Brennweite:
6.3 mm
Belichtungszeit:
1/6 Sek
Blendenwert:
f/2.8
ISO:
320
Weißabgleich:
Automatisch
Blitz:
Blitz nicht ausgelöst, Erzwungener Blitzmodus
Kamera-Hersteller:
OLYMPUS IMAGING CORP.
Kamera-Modell:
FE-120,X-700
Belichtungsmodus:
Kreativprogramm (optimiert auf größtmöglichen Schärfebereich)
Belichtungskorrektur:
0 EV
Belichtungsmessung:
Muster
1000er Siegmunds (6).JPG
1000er Siegmunds (6).JPG (88.52 KiB) 2036 mal betrachtet
Originalwert Bild aufgenommen am/um:
2011:06:03 16:16:42
Bild aufgenommen am/um:
Fr 3. Jun 2011, 14:16
Brennweite:
9.9 mm
Belichtungszeit:
1/3 Sek
Blendenwert:
f/3.4
ISO:
320
Weißabgleich:
Automatisch
Blitz:
Blitz nicht ausgelöst, Erzwungener Blitzmodus
Kamera-Hersteller:
OLYMPUS IMAGING CORP.
Kamera-Modell:
FE-120,X-700
Belichtungsmodus:
Kreativprogramm (optimiert auf größtmöglichen Schärfebereich)
Belichtungskorrektur:
0 EV
Belichtungsmessung:
Muster
1000er Siegmunds (9).JPG
1000er Siegmunds (9).JPG (85.47 KiB) 2040 mal betrachtet
Originalwert Bild aufgenommen am/um:
2011:06:03 16:17:33
Bild aufgenommen am/um:
Fr 3. Jun 2011, 14:17
Brennweite:
6.3 mm
Belichtungszeit:
1/6 Sek
Blendenwert:
f/2.8
ISO:
320
Weißabgleich:
Automatisch
Blitz:
Blitz nicht ausgelöst, Erzwungener Blitzmodus
Kamera-Hersteller:
OLYMPUS IMAGING CORP.
Kamera-Modell:
FE-120,X-700
Belichtungsmodus:
Kreativprogramm (optimiert auf größtmöglichen Schärfebereich)
Belichtungskorrektur:
0 EV
Belichtungsmessung:
Muster
1000er Siegmunds (12).JPG
1000er Siegmunds (12).JPG (108.34 KiB) 2038 mal betrachtet
Originalwert Bild aufgenommen am/um:
2011:06:03 16:18:19
Bild aufgenommen am/um:
Fr 3. Jun 2011, 14:18
Brennweite:
6.3 mm
Belichtungszeit:
1/6 Sek
Blendenwert:
f/2.8
ISO:
320
Weißabgleich:
Automatisch
Blitz:
Blitz nicht ausgelöst, Erzwungener Blitzmodus
Kamera-Hersteller:
OLYMPUS IMAGING CORP.
Kamera-Modell:
FE-120,X-700
Belichtungsmodus:
Kreativprogramm (optimiert auf größtmöglichen Schärfebereich)
Belichtungskorrektur:
0 EV
Belichtungsmessung:
Muster

Viel Erfolg bei der Nachsuche! Ich wurde mittlerweile schon ein zweites mal fündig :)

Liebe Grüße Jule
Benutzeravatar
Harry
Administrator
Beiträge: 4719
Registriert: Mi 22. Dez 2004, 09:37
Kamera: Nikon D500
Nikon Z5
Olympus Tough TG-6
Pilzverein: Pilzfreunde Saar - Pfalz e.V.
Wohnort: Bexbach - Saarland
Kontaktdaten:

Re: Entyloma hieracii an Habichtskraut

Ungelesener Beitrag von Harry »

Hallo Julia,

meinen Glückwunsch zu diesem Fund.

:su:

Ich habe das Wald - Habichtskraut auch schon mit solchen Flecken gesehen und dem keine Beachtung geschenkt. Wie sich jetzt herausstellt ein Fehler. Nun gut, passiert nicht mehr und wenn es denn beim nächsten mal nur Cystiphora sanguinea sein sollte ist das auch neu für mich. :tup:

Noch ne Frage. Kommt der Brandpilz auch auf anderen Habichtskräutern vor oder ist er auf Hieracium murorum agg. beschränkt.

viele Grüße und danke für die Vorstellung dieses seltenen Brandpilzes

Harry
Dass man immer noch lernen kann ist herrlich, und auch dass man andere dazu braucht.
Benutzeravatar
Julia
Forums Gott
Beiträge: 2342
Registriert: Mo 7. Aug 2006, 19:23
Kamera: Olympus FE 120 +Panasonic LX 7
Wohnort: Barkelsby, Frankfurt a. Main
Kontaktdaten:

Re: Entyloma hieracii an Habichtskraut

Ungelesener Beitrag von Julia »

Hallo Harry,

dankesehr :)

Der kommt auf allen Habichtskräutern vor, aber das H. murorum Aggregat soll wohl der häufigste Wirt sein.

Liebe Grüße Jule
Benutzeravatar
Dedimyk
Forums Gott
Beiträge: 2943
Registriert: Sa 26. Nov 2005, 13:47
Wohnort: Gifhorn - Südostniedersachsen

Re: Entyloma hieracii an Habichtskraut

Ungelesener Beitrag von Dedimyk »

Hallo Julia und alle Phytoparasitenfreunde,
Julia hat geschrieben:Hallo,
für heute morgen habe ich mal wieder ein Schmankerl ausgepackt, nämlich endlich mal wieder einen neuen Brandpilz :)
Gefunden am 02.06.2012 in D, Thüringen, Lkr. Sonneberg, Siegmundsburg Richtung Freidrichshöhe, Straßenrand, Bergwiese; MTB: 5532/1, Höhe NN: 820m auf den Blättern vom Wald-Habichtskraut (Hieracium murorum agg.).
Es handelt sich hierbei um Entyloma hieracii Syd. & P. Syd. ex Cif.
Befallsbild: Sporenmasse dauerhaft in den Blattflecken eingeschlossen bleibend. Rundlich, bis zu 5mm im Durchmesser. Anfangs noch weißlich, später dann bräunend mit einem rötlichen Rand (im Durchlicht dunkel). Nicht zu verwechseln mit der Gallbildung durch die Gallmücke Cystiphora sanguinea. Das sieht ähnlich aus, allerdings sind die Flecken weitgehenst durchsichtig und man sieht sehr oft mindestens eine Larve (durchs Blatt). Sporen hyalin, rundlich, 11,3µm x 10,7µm.
Der Pilz ist mit Sicherheit relativ selten!
Viel Erfolg bei der Nachsuche! Ich wurde mittlerweile schon ein zweites mal fündig :)
Liebe Grüße Jule
Ich neige mein Haupt in Ehrfurcht, wieder ein spektakulärer Fund, diesmal mit dem äußerst seltenen Brandpilz Entyloma hieracii Sydow & P. Sydow 1918 ex Ciferri 1924 auf Hieracium murorum agg., dem Wald-Habichtskraut.:wo:

Brandpilze der Gattung Entyloma sind selten, schwer zu erkennen durch den eingeschlossenen Befall in Flecken und auch schwer zu mikroskopieren, da sich die Sporen nicht herauslösen, sondern eingebettet bleiben.

Umso schöner ist es, daß Du uns wieder einmal einen Vertreter der Gattung hier anschaulich vorstellst. :tup:

Die Bestimmung ist insoweit einfach, da es nur diese 1 Brandpilzart auf verschiedenen Arten der Gattung Hieracium gibt.

Das wird ein neues Highlight für die Datenbank fungiworld.com werden und erhöht den Bestand an durch Bilder belegten Brandpilzarten jetzt schon auf 81 Arten = 16,3 % des Gesamtumfanges. :su:

Herzliche Grüße Detlef

Literaturhinweise:
-Scholz, Hildemar & Scholz Ilse:Die Brandpilze Deutschlands ( Ustilaginales )
Band 8 der Reihe "Englera" des Botanischen Gartens und Botanischen Museums Berlin-Dahlem 1988, 691 Seiten
ISBN-3-921800-28-5

-Die Brandpilze Deutschlands ( Ustilaginales ), Nachtrag
Scholz, Hildemar & Scholz Ilse
Kategorie: Zeitschrift,Erscheinungsdatum: 2000, Seitenanzahl: 343 - 398
Verlag: Verh.Bot.Ver. Berlin Brandenburg Nr.133 S. 343-398, Berlin 2000

-Die Brandpilze Deutschlands ( Ustilaginales ), Nachtrag 2
Scholz, Hildemar & Scholz Ilse
Kategorie: Zeitschrift,Erscheinungsdatum: 2004, Seitenanzahl: 441 - 487
Verlag: Verh.Bot.Ver. Berlin Brandenburg Nr.137 S. 441-487, Berlin 2004

-Brandenburger, Wolfgang: Parasitische Pilze an Gefäßpflanzen in Europa
Verlag: Gustav Fischer Verlag-Stuttgart-New York Erscheinungsdatum: 1985, 1248 Seiten
ISBN: 3-437-30433-X

-Klenke, Friedemann: Berichte der Arbeitsgemeinschaft sächsicher Botaniker. Sammel- und Bestimmungshilfen für phytoparasitische Kleinpilze Sachsens
Verlag: Berichte der Arbeitsgemeinschaft sächsischer Botaniker Neue Folge
Band 16 - Sonderheft Institut für Botanik der Tech. Universität Dresden
ISSN: 1434-1662

-Ellis, Martin,B. und Ellis, J.Pamela:Microfungi on Landplants, 888Seiten
The Richmond Publishing Co. Ltd.P.O.Box 963, Slough SL2 3RS England
ISBN: 085546 245 0 Paperback
ISBN: 085546 246 9 Hardback
Detlef, der Freund der Phytoparasiten
Antworten