Peronospora alchemillae am Frauenmantel

Spezialforum zum Thema phytoparasitische Kleinpilze ( Rost, Brand, Mehltaupilze etc. ) und tierische Gallen an Wild.- und Nutzpflanzen. Forumsstart - 15.07.2006
Benutzeravatar
Julia
Forums Gott
Beiträge: 2342
Registriert: Mo 7. Aug 2006, 19:23
Kamera: Olympus FE 120 +Panasonic LX 7
Wohnort: Barkelsby, Frankfurt a. Main
Kontaktdaten:

Peronospora alchemillae am Frauenmantel

Ungelesener Beitrag von Julia »

Hallo ihr Lieben,

ich habe mal wieder einen Falschen Mehltaupilz mitgebracht.

Gefunden habe ich ihn am 23.08.2012 in D, Bayern, Oberpfalz, NP Bayerischer Wald, Lkr. Freyung-Grafenau, n Sankt Oswald, Lusenstraße, Klosterfilz, Hochmoor & Wegrand; MTB: 7046/4, Höhe NN: 755m auf den Blättern vom Gewöhnlichen Frauenmantel (Alchemilla vulgaris agg.).

Es handelt sich hierbei um Peronospora alchemillae G.H. Otth, welcher nur selten gefunden werden kann.

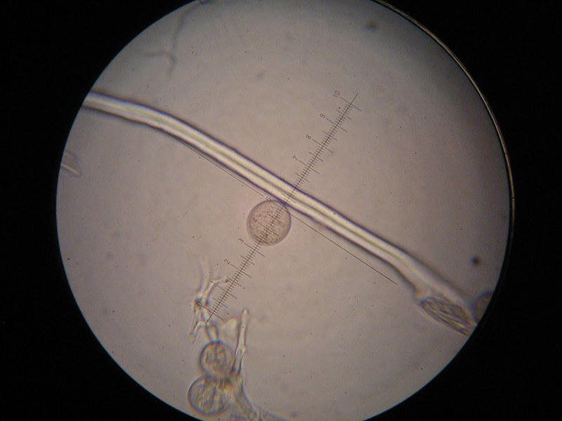
Befallsbild: Blätter oberseits schwach gelblich bis rötlich verfärbt, gerne gemeinsam mit Ramularia aplospora oder Trachyspora. Auf der Unterseite ist ein schwacher hellgrauer Rasen aus verzweigten Konidienträgern ausgebildet. Die Konidien messen 16 - 20 x 14 - 15µm.
SanktOswald (4).JPG
SanktOswald (4).JPG (180.87 KiB) 2880 mal betrachtet
Originalwert Bild aufgenommen am/um:
2012:08:23 16:31:24
Bild aufgenommen am/um:
Do 23. Aug 2012, 14:31
Brennweite:
6.3 mm
Belichtungszeit:
1/320 Sek
Blendenwert:
f/2.8
ISO:
80
Weißabgleich:
Automatisch
Blitz:
Blitz nicht ausgelöst, Erzwungener Blitzmodus
Kamera-Hersteller:
OLYMPUS IMAGING CORP.
Kamera-Modell:
FE-120,X-700
Belichtungsmodus:
Kreativprogramm (optimiert auf größtmöglichen Schärfebereich)
Belichtungskorrektur:
0 EV
Belichtungsmessung:
Muster
SanktOswald (5).JPG
SanktOswald (5).JPG (143.8 KiB) 2878 mal betrachtet
Originalwert Bild aufgenommen am/um:
2012:08:23 16:31:28
Bild aufgenommen am/um:
Do 23. Aug 2012, 14:31
Brennweite:
6.3 mm
Belichtungszeit:
1/400 Sek
Blendenwert:
f/2.8
ISO:
80
Weißabgleich:
Automatisch
Blitz:
Blitz nicht ausgelöst, Erzwungener Blitzmodus
Kamera-Hersteller:
OLYMPUS IMAGING CORP.
Kamera-Modell:
FE-120,X-700
Belichtungsmodus:
Kreativprogramm (optimiert auf größtmöglichen Schärfebereich)
Belichtungskorrektur:
0 EV
Belichtungsmessung:
Muster
SanktOswald (6).JPG
SanktOswald (6).JPG (104.69 KiB) 2879 mal betrachtet
Originalwert Bild aufgenommen am/um:
2012:08:23 16:31:33
Bild aufgenommen am/um:
Do 23. Aug 2012, 14:31
Brennweite:
6.3 mm
Belichtungszeit:
1/500 Sek
Blendenwert:
f/2.8
ISO:
80
Weißabgleich:
Automatisch
Blitz:
Blitz nicht ausgelöst, Erzwungener Blitzmodus
Kamera-Hersteller:
OLYMPUS IMAGING CORP.
Kamera-Modell:
FE-120,X-700
Belichtungsmodus:
Kreativprogramm (optimiert auf größtmöglichen Schärfebereich)
Belichtungskorrektur:
0 EV
Belichtungsmessung:
Muster
SanktOswald (7).JPG
SanktOswald (7).JPG (96.83 KiB) 2880 mal betrachtet
Originalwert Bild aufgenommen am/um:
2012:08:23 16:31:39
Bild aufgenommen am/um:
Do 23. Aug 2012, 14:31
Brennweite:
6.3 mm
Belichtungszeit:
1/400 Sek
Blendenwert:
f/2.8
ISO:
80
Weißabgleich:
Automatisch
Blitz:
Blitz nicht ausgelöst, Erzwungener Blitzmodus
Kamera-Hersteller:
OLYMPUS IMAGING CORP.
Kamera-Modell:
FE-120,X-700
Belichtungsmodus:
Kreativprogramm (optimiert auf größtmöglichen Schärfebereich)
Belichtungskorrektur:
0 EV
Belichtungsmessung:
Muster
400er Osw.JPG
400er Osw.JPG (119.01 KiB) 2877 mal betrachtet
Originalwert Bild aufgenommen am/um:
0000:00:00 00:00:00
Bild aufgenommen am/um:
Mo 29. Nov 1999, 23:00
Brennweite:
6.3 mm
Belichtungszeit:
1/20 Sek
Blendenwert:
f/2.8
ISO:
320
Weißabgleich:
Automatisch
Blitz:
Blitz nicht ausgelöst, Erzwungener Blitzmodus
Kamera-Hersteller:
OLYMPUS IMAGING CORP.
Kamera-Modell:
FE-120,X-700
Belichtungsmodus:
Kreativprogramm (optimiert auf größtmöglichen Schärfebereich)
Belichtungskorrektur:
0 EV
Belichtungsmessung:
Muster
1000er Osw (1).JPG
1000er Osw (1).JPG (85.49 KiB) 2877 mal betrachtet
Originalwert Bild aufgenommen am/um:
0000:00:00 00:00:00
Bild aufgenommen am/um:
Mo 29. Nov 1999, 23:00
Brennweite:
9.9 mm
Belichtungszeit:
1/3 Sek
Blendenwert:
f/3.4
ISO:
320
Weißabgleich:
Automatisch
Blitz:
Blitz nicht ausgelöst, Erzwungener Blitzmodus
Kamera-Hersteller:
OLYMPUS IMAGING CORP.
Kamera-Modell:
FE-120,X-700
Belichtungsmodus:
Kreativprogramm (optimiert auf größtmöglichen Schärfebereich)
Belichtungskorrektur:
0 EV
Belichtungsmessung:
Muster
1000er Osw (2).JPG
1000er Osw (2).JPG (86.37 KiB) 2878 mal betrachtet
Originalwert Bild aufgenommen am/um:
0000:00:00 00:00:00
Bild aufgenommen am/um:
Mo 29. Nov 1999, 23:00
Brennweite:
6.3 mm
Belichtungszeit:
1/8 Sek
Blendenwert:
f/2.8
ISO:
320
Weißabgleich:
Automatisch
Blitz:
Blitz nicht ausgelöst, Erzwungener Blitzmodus
Kamera-Hersteller:
OLYMPUS IMAGING CORP.
Kamera-Modell:
FE-120,X-700
Belichtungsmodus:
Kreativprogramm (optimiert auf größtmöglichen Schärfebereich)
Belichtungskorrektur:
0 EV
Belichtungsmessung:
Muster
1000er Osw (3).JPG
1000er Osw (3).JPG (64.25 KiB) 2879 mal betrachtet
Originalwert Bild aufgenommen am/um:
0000:00:00 00:00:00
Bild aufgenommen am/um:
Mo 29. Nov 1999, 23:00
Brennweite:
6.3 mm
Belichtungszeit:
1/8 Sek
Blendenwert:
f/2.8
ISO:
320
Weißabgleich:
Automatisch
Blitz:
Blitz nicht ausgelöst, Erzwungener Blitzmodus
Kamera-Hersteller:
OLYMPUS IMAGING CORP.
Kamera-Modell:
FE-120,X-700
Belichtungsmodus:
Kreativprogramm (optimiert auf größtmöglichen Schärfebereich)
Belichtungskorrektur:
0 EV
Belichtungsmessung:
Muster
1000er Osw (4).JPG
1000er Osw (4).JPG (60.73 KiB) 2878 mal betrachtet
Originalwert Bild aufgenommen am/um:
0000:00:00 00:00:00
Bild aufgenommen am/um:
Mo 29. Nov 1999, 23:00
Brennweite:
6.3 mm
Belichtungszeit:
1/8 Sek
Blendenwert:
f/2.8
ISO:
320
Weißabgleich:
Automatisch
Blitz:
Blitz nicht ausgelöst, Erzwungener Blitzmodus
Kamera-Hersteller:
OLYMPUS IMAGING CORP.
Kamera-Modell:
FE-120,X-700
Belichtungsmodus:
Kreativprogramm (optimiert auf größtmöglichen Schärfebereich)
Belichtungskorrektur:
0 EV
Belichtungsmessung:
Muster

Viel Erfolg bei der Nachsuche!

Liebe Grüße Jule
Benutzeravatar
Dedimyk
Forums Gott
Beiträge: 2943
Registriert: Sa 26. Nov 2005, 13:47
Wohnort: Gifhorn - Südostniedersachsen

Re: Peronospora alchemillae am Frauenmantel

Ungelesener Beitrag von Dedimyk »

Hallo Julia und alle Phytoparasitenfreunde,
Julia hat geschrieben:Hallo ihr Lieben,
ich habe mal wieder einen Falschen Mehltaupilz mitgebracht.
Gefunden habe ich ihn am 23.08.2012 in D, Bayern, Oberpfalz, NP Bayerischer Wald, Lkr. Freyung-Grafenau, n Sankt Oswald, Lusenstraße, Klosterfilz, Hochmoor & Wegrand; MTB: 7046/4, Höhe NN: 755m auf den Blättern vom Gewöhnlichen Frauenmantel (Alchemilla vulgaris agg.).
Es handelt sich hierbei um Peronospora alchemillae G.H. Otth, welcher nur selten gefunden werden kann.
Befallsbild: Blätter oberseits schwach gelblich bis rötlich verfärbt, gerne gemeinsam mit Ramularia aplospora oder Trachyspora. Auf der Unterseite ist ein schwacher hellgrauer Rasen aus verzweigten Konidienträgern ausgebildet. Die Konidien messen 16 - 20 x 14 - 15µm.
Viel Erfolg bei der Nachsuche!
Liebe Grüße Jule
Sehr interessant, der selten "Falsche" Mehltaupilz Peronospora alchemillae G.H. Otth 1868 auf Alchemilla vulgaris agg., dem Gewöhnlichen Frauenmantel, den Du uns heute vorstellst.

Ich glaube den auch schon gesehen zu haben, doch habe ich die blattoberseitigen Flecken für einen Vertreter der Deuteromycotina gehalten und leider nicht näher untersucht, das heißt nicht umgedreht und dann eventuell den blattunterseitigen Rasen zu sehen, :kick wieder was gelernt. :freu

Die Bestimmung des "Faschen" Mehltaupilzes ist insoweit einfach, da es nur diese eine Art auf dem Wirt gibt.

Vielen Dank für die wieder informative Präsentation des "Falschen" Mehltaupilzes Peronospora alchemillae G.H. Otth 1868 auf Alchemilla vulgaris agg., dem Gewöhnlichen Frauenmantel, desssen Bilder ich natürlich schnellstens in die Datenbank fungiworld.com einstellen werde.

Herzliche Grüße Detlef


Literaturhinweise:
-Brandenburger, Wolfgang: Parasitische Pilze an Gefäßpflanzen in Europa
Verlag: Gustav Fischer Verlag-Stuttgart-New York Erscheinungsdatum: 1985, 1248 Seiten
ISBN: 3-437-30433-X

-Klenke, Friedemann: Berichte der Arbeitsgemeinschaft sächsicher Botaniker. Sammel- und Bestimmungshilfen für phytoparasitische Kleinpilze Sachsens
Verlag: Berichte der Arbeitsgemeinschaft sächsischer Botaniker Neue Folge Band 16 - Sonderheft Institut für Botanik der Tech. Universität Dresden 1998
ISSN: 1434-1662

-Brandenburger & Hagedorn ( BBA Band 405)

-Ellis, Martin,B. und Ellis, J.Pamela:Microfungi on Landplants, 888Seiten
The Richmond Publishing Co. Ltd.P.O.Box 963, Slough SL2 3RS England
ISBN: 085546 245 0 Paperback
ISBN: 085546 246 9 Hardback
Detlef, der Freund der Phytoparasiten
Botanicus
Neuling
Beiträge: 14
Registriert: Sa 8. Dez 2012, 20:39
Wohnort: Weiden

Re: Peronospora alchemillae am Frauenmantel

Ungelesener Beitrag von Botanicus »

Hallo Julia,

dem ersten Anschein nach handelt es sich bei dem Frauenmantel und Alchemilla monticola (der zumeist häufigsten Frauenmantelart). Die Gattung Alchemilla ist zwar eine kritische Gattung, aber außerhalb der Alpen muss man nur sieben Arten kennen (A. glabra, glaucescens, micans, monticola, subcrenata, vulgaris und xanthochlora) :su: und kann damit fast alle Funde bestimmen. Wenn eine Art aus diesem "7-er-Schema" herausfällt, dann weiß man gleich, dass was besonderes/seltenes gefunden wurde.
In der "Flora von Thüringen" sind gute Fotos, Zeichnungen und eine Übersichtstabelle mit diesen (bundesweit) häufigen Arten drin. Siehe auch:
http://www2.uni-jena.de/biologie/spezbo ... hilfen.htm
Mir wurde von einem Kollegen aus Göttingen erzählt, dass die Differenzierung der Frauenmantelarten bzgl. der Pilzparasiten durchaus sinnvolle Ergebnisse liefert...

Viele Grüße
Michael
Benutzeravatar
Julia
Forums Gott
Beiträge: 2342
Registriert: Mo 7. Aug 2006, 19:23
Kamera: Olympus FE 120 +Panasonic LX 7
Wohnort: Barkelsby, Frankfurt a. Main
Kontaktdaten:

Re: Peronospora alchemillae am Frauenmantel

Ungelesener Beitrag von Julia »

Hallo Michael,

ja, sicherlich ist A. monticola hier recht wahrscheinlich. Aber ich habe stellenweise nicht immer Zeit auf solch Gruppen genau zu achten (weil ich ich quasi wie hier im Vorbeigehen die Art gesehen und schnell gepflückt habe). Sicherlich könnte ich mich bemühen den Herbarbeleg mal nachzubestimmen, bisher war für sowas aber schlichtweg keine Zeit.

Auch das mit den 7 Arten stimmt, die muss man aber auch erstmal können. Blühen sollten sie auf jedenfall, damit man (wenn man noch nicht sooo viel Erfahrung hat) nicht zu sehr frustet ;)

Liebe Grüße Julia
Antworten