Hi!
Diesen Rostpilz habe ich über Pfingsten nahe Karlstadt auf dem Grainberg-Kalbenstein "Rosenholz" an den Blättern der Gewöhnlichen Berberitze (Berberis vulgaris) gefunden.
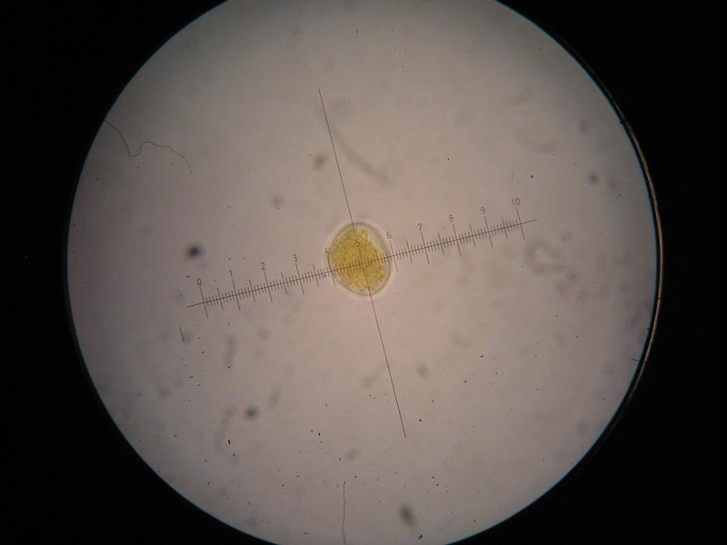
Hierbei sollte es sich um Puccinia graminis handeln, weil die Aezien kurz becherförmig sind und die Wände gleichmäßig verdickt sind?
Sporen: 22,3 x 19,6
lg Jule
Rostpilz an Berberitze
- Julia
- Forums Gott
- Beiträge: 2342
- Registriert: Mo 7. Aug 2006, 19:23
- Kamera: Olympus FE 120 +Panasonic LX 7
- Wohnort: Barkelsby, Frankfurt a. Main
- Kontaktdaten:
Rostpilz an Berberitze
- Dateianhänge
-
- P6040143.JPG (68.22 KiB) 1186 mal betrachtet
EXIF-Daten anzeigen / verbergenOriginalwert Bild aufgenommen am/um:2009:06:04 18:30:06Bild aufgenommen am/um:Do 4. Jun 2009, 16:30Brennweite:6.3 mmBelichtungszeit:1/8 SekBlendenwert:f/2.8ISO:320Weißabgleich:AutomatischBlitz:Blitz nicht ausgelöst, Erzwungener BlitzmodusKamera-Hersteller:OLYMPUS IMAGING CORP.Kamera-Modell:FE-120,X-700Belichtungsmodus:Kreativprogramm (optimiert auf größtmöglichen Schärfebereich)Belichtungskorrektur:0 EVBelichtungsmessung:Muster -
- P6040127.JPG (60.61 KiB) 1182 mal betrachtet
EXIF-Daten anzeigen / verbergenOriginalwert Bild aufgenommen am/um:2009:06:04 18:26:49Bild aufgenommen am/um:Do 4. Jun 2009, 16:26Brennweite:6.3 mmBelichtungszeit:1/10 SekBlendenwert:f/2.8ISO:320Weißabgleich:AutomatischBlitz:Blitz nicht ausgelöst, Erzwungener BlitzmodusKamera-Hersteller:OLYMPUS IMAGING CORP.Kamera-Modell:FE-120,X-700Belichtungsmodus:Kreativprogramm (optimiert auf größtmöglichen Schärfebereich)Belichtungskorrektur:0 EVBelichtungsmessung:Muster -
- P6040124.JPG (68.66 KiB) 1182 mal betrachtet
EXIF-Daten anzeigen / verbergenOriginalwert Bild aufgenommen am/um:2009:06:04 18:25:25Bild aufgenommen am/um:Do 4. Jun 2009, 16:25Brennweite:6.3 mmBelichtungszeit:1/8 SekBlendenwert:f/2.8ISO:320Weißabgleich:AutomatischBlitz:Blitz nicht ausgelöst, Erzwungener BlitzmodusKamera-Hersteller:OLYMPUS IMAGING CORP.Kamera-Modell:FE-120,X-700Belichtungsmodus:Kreativprogramm (optimiert auf größtmöglichen Schärfebereich)Belichtungskorrektur:0 EVBelichtungsmessung:Muster -
- P5300469.JPG (108.41 KiB) 1180 mal betrachtet
EXIF-Daten anzeigen / verbergenOriginalwert Bild aufgenommen am/um:2009:05:30 17:34:48Bild aufgenommen am/um:Sa 30. Mai 2009, 15:34Brennweite:6.3 mmBelichtungszeit:1/400 SekBlendenwert:f/2.8ISO:80Weißabgleich:AutomatischBlitz:Blitz nicht ausgelöst, Erzwungener BlitzmodusKamera-Hersteller:OLYMPUS IMAGING CORP.Kamera-Modell:FE-120,X-700Belichtungsmodus:Kreativprogramm (optimiert auf größtmöglichen Schärfebereich)Belichtungskorrektur:0 EVBelichtungsmessung:Muster -
- P5300466.JPG (121.21 KiB) 1181 mal betrachtet
EXIF-Daten anzeigen / verbergenOriginalwert Bild aufgenommen am/um:2009:05:30 17:34:35Bild aufgenommen am/um:Sa 30. Mai 2009, 15:34Brennweite:6.3 mmBelichtungszeit:1/800 SekBlendenwert:f/2.8ISO:80Weißabgleich:AutomatischBlitz:Blitz nicht ausgelöst, Erzwungener BlitzmodusKamera-Hersteller:OLYMPUS IMAGING CORP.Kamera-Modell:FE-120,X-700Belichtungsmodus:Kreativprogramm (optimiert auf größtmöglichen Schärfebereich)Belichtungskorrektur:0 EVBelichtungsmessung:Muster -
- P5300464.JPG (153.82 KiB) 1180 mal betrachtet
EXIF-Daten anzeigen / verbergenOriginalwert Bild aufgenommen am/um:2009:05:30 17:34:16Bild aufgenommen am/um:Sa 30. Mai 2009, 15:34Brennweite:6.3 mmBelichtungszeit:1/640 SekBlendenwert:f/2.8ISO:80Weißabgleich:AutomatischBlitz:Blitz nicht ausgelöst, Erzwungener BlitzmodusKamera-Hersteller:OLYMPUS IMAGING CORP.Kamera-Modell:FE-120,X-700Belichtungsmodus:Kreativprogramm (optimiert auf größtmöglichen Schärfebereich)Belichtungskorrektur:0 EVBelichtungsmessung:Muster
- Dedimyk
- Forums Gott
- Beiträge: 2943
- Registriert: Sa 26. Nov 2005, 13:47
- Wohnort: Gifhorn - Südostniedersachsen
Re: Rostpilz an Berberitze
Hallo Julia und alle Phytoparasitenfreunde,
.
Ja es ist das I-Aezienstadium des Rostpilzes Puccinia graminis subsp. graminis Persoon 1794 s. Urban 1967 auf dem Haplonten ( Aezienwirt ) Berberis vulgaris-Gewöhnliche Berberitze, mit dem die Entwicklung beginnt.
Damit haben wir jetzt die gesamte Entwicklung dieses Rostpilzes dokumentiert, denn Du hast ja bereits mit diesem Beitrag:
viewtopic.php?f=14&t=855&hilit=Hordeum
das III-Telienstadium auf dem Dikaryophyten ( Telienwirt ) Hordeum vulgare-Gerste vorgestellt, das die Entwicklung nach dem Wirtswechsel abschließt.
Sehr schön sind auf Deinen Bildern die kurzen becherförmigen I- Aezien zu sehen, die neben der gleichmäßigen Wanddicke der I-Aeziosporen mit einer Verdickung am Scheitel bis > 5 µm ( gut auf den Mikrobildern zu erkennen ) typisch für diese Rostpilzart sind und sie damit klar von der Aecidium teodorescui O. & T.Savulescu 1937 , mit ihren langen röhrenförmigen I-Aezien unterscheidet, die ich gerade anhand Harry´s Beitrag untersuche:
viewtopic.php?f=14&t=3541
Vielen Dank für die Vorstellung dieses interessanten Rostpilzes, jetzt im I-Aezienstadium auf dem Haplonten Berberis vulgaris.
Herzliche Grüße Detlef
Literaturnachweise:
-Klenke, Friedemann: Berichte der Arbeitsgemeinschaft sächsicher Botaniker. Sammel- und Bestimmungshilfen für phytoparasitische Kleinpilze Sachsens
Verlag: Berichte der Arbeitsgemeinschaft sächsischer Botaniker Neue Folge Band 16 - Sonderheft Institut für Botanik der Tech. Universität Dresden
ISSN: 1434-1662
-Gäumann, Ernst: Die Rostpilze Mitteleuropas mit besonderer Berücksichtigung der Schweiz
Beiträge zur Kryptogamenflora der Schweiz Band XII mit 90 Tabellen und 1075 Abbildungen, 1407 Seiten
herausgegeben von einer Kommission der Schweiz. Naturforschenden Gesellschaft, Kommissionsverlag Büchler & Co. Bern 1959
-Brandenburger, Wolfgang: Parasitische Pilze an Gefäßpflanzen in Europa
Verlag: Gustav Fischer Verlag-Stuttgart-New York Erscheinungsdatum: 1985, 1248 Seiten
ISBN: 3-437-30433-X
-Poelt, Josef und Zwetko, Peter: Die Rostpilze Österreichs
Biosystematics and Ecology Series No. 12
2. revidierte und erweiterte Auflage des Catalogus Florae Austriae, III. Teil Heft1 Uredinales, 365 Seiten
Verlag: Verlag der Österreichischen Akademie der Wissenschaften 1997
Bandherausgeber: Wilfried Morawetz & Hans Winkler Institut für Botanik, Universtät Wien
ISBN:3-7001-2650-6
-Zwetko, Peter: Die Rostpilze Österreichs
Biosystematics and Ecology Series No. 16
Supplement und Wirt-Parasit-Verzeichnis zur 2. Auflage des Catalogus Florae Austriae,III. Teil Heft 1 Uredinales, 67 Seiten
Verlag: Verlag der Österreichischen Akademie der Wissenschaften 2000
Bandherausgeber: Friedrich Ehrendorfer, Institut für Botanik, Universtät Wien, A-1030 Wien
Serienherausgeber: Wilfried Morawetz & Hans Winkler Institut für Spezielle Botanik, Universtät Wien
ISBN:3-7001-2910-6
Gratuliere zu dem Fund, den Du auch absolut richtig bestimmt hastJulia hat geschrieben:Hi!
Diesen Rostpilz habe ich über Pfingsten nahe Karlstadt auf dem Grainberg-Kalbenstein "Rosenholz" an den Blättern der Gewöhnlichen Berberitze (Berberis vulgaris) gefunden.
Hierbei sollte es sich um Puccinia graminis handeln, weil die Aezien kurz becherförmig sind und die Wände gleichmäßig verdickt sind?
Sporen: 22,3 x 19,6
lg Jule
Ja es ist das I-Aezienstadium des Rostpilzes Puccinia graminis subsp. graminis Persoon 1794 s. Urban 1967 auf dem Haplonten ( Aezienwirt ) Berberis vulgaris-Gewöhnliche Berberitze, mit dem die Entwicklung beginnt.
Damit haben wir jetzt die gesamte Entwicklung dieses Rostpilzes dokumentiert, denn Du hast ja bereits mit diesem Beitrag:
viewtopic.php?f=14&t=855&hilit=Hordeum
das III-Telienstadium auf dem Dikaryophyten ( Telienwirt ) Hordeum vulgare-Gerste vorgestellt, das die Entwicklung nach dem Wirtswechsel abschließt.
Sehr schön sind auf Deinen Bildern die kurzen becherförmigen I- Aezien zu sehen, die neben der gleichmäßigen Wanddicke der I-Aeziosporen mit einer Verdickung am Scheitel bis > 5 µm ( gut auf den Mikrobildern zu erkennen ) typisch für diese Rostpilzart sind und sie damit klar von der Aecidium teodorescui O. & T.Savulescu 1937 , mit ihren langen röhrenförmigen I-Aezien unterscheidet, die ich gerade anhand Harry´s Beitrag untersuche:
viewtopic.php?f=14&t=3541
Vielen Dank für die Vorstellung dieses interessanten Rostpilzes, jetzt im I-Aezienstadium auf dem Haplonten Berberis vulgaris.
Herzliche Grüße Detlef
Literaturnachweise:
-Klenke, Friedemann: Berichte der Arbeitsgemeinschaft sächsicher Botaniker. Sammel- und Bestimmungshilfen für phytoparasitische Kleinpilze Sachsens
Verlag: Berichte der Arbeitsgemeinschaft sächsischer Botaniker Neue Folge Band 16 - Sonderheft Institut für Botanik der Tech. Universität Dresden
ISSN: 1434-1662
-Gäumann, Ernst: Die Rostpilze Mitteleuropas mit besonderer Berücksichtigung der Schweiz
Beiträge zur Kryptogamenflora der Schweiz Band XII mit 90 Tabellen und 1075 Abbildungen, 1407 Seiten
herausgegeben von einer Kommission der Schweiz. Naturforschenden Gesellschaft, Kommissionsverlag Büchler & Co. Bern 1959
-Brandenburger, Wolfgang: Parasitische Pilze an Gefäßpflanzen in Europa
Verlag: Gustav Fischer Verlag-Stuttgart-New York Erscheinungsdatum: 1985, 1248 Seiten
ISBN: 3-437-30433-X
-Poelt, Josef und Zwetko, Peter: Die Rostpilze Österreichs
Biosystematics and Ecology Series No. 12
2. revidierte und erweiterte Auflage des Catalogus Florae Austriae, III. Teil Heft1 Uredinales, 365 Seiten
Verlag: Verlag der Österreichischen Akademie der Wissenschaften 1997
Bandherausgeber: Wilfried Morawetz & Hans Winkler Institut für Botanik, Universtät Wien
ISBN:3-7001-2650-6
-Zwetko, Peter: Die Rostpilze Österreichs
Biosystematics and Ecology Series No. 16
Supplement und Wirt-Parasit-Verzeichnis zur 2. Auflage des Catalogus Florae Austriae,III. Teil Heft 1 Uredinales, 67 Seiten
Verlag: Verlag der Österreichischen Akademie der Wissenschaften 2000
Bandherausgeber: Friedrich Ehrendorfer, Institut für Botanik, Universtät Wien, A-1030 Wien
Serienherausgeber: Wilfried Morawetz & Hans Winkler Institut für Spezielle Botanik, Universtät Wien
ISBN:3-7001-2910-6
Detlef, der Freund der Phytoparasiten