Ein Täubling, aber welcher?
Moderator: Harry
-
Jonny70
- erfahrener Poster
- Beiträge: 121
- Registriert: Fr 12. Sep 2008, 12:21
- Wohnort: Lebach / Steinbach
Ein Täubling, aber welcher?
Hallo zusammen,
ich komme mit diesem Täubling nicht so recht weiter.
Vielleicht kann einer helfen oder noch besser evtl. kennt ihn jemand.
Funddaten: am 11.06.09 in der Nadelstreu im Randbereich eines Fichtenforsts. In der näheren Umgebung einige junge
Hainbuchen sowie eine kleine Eiche. Birken so in 20 m Entfernung.
Der Hut war leicht bereift, Stiel wie auf einem Foto erkennbar ganz leicht rötlich überhaucht.
Geschmack mild. Lamellen nur mit der Messerspitze splitternd.
Huthaut über 1/3 abziehbar.
Sporenpulverfarbe wie in PdS angegeben: 20/30 Y und 2M.
Reaktion mit verschiedenen Chemikalien:
Guajak blau-dunkelgrüne
Phenol weinbraun- braune
FeSO4 wenn überhaupt, dann leicht rosa Verfärbungen
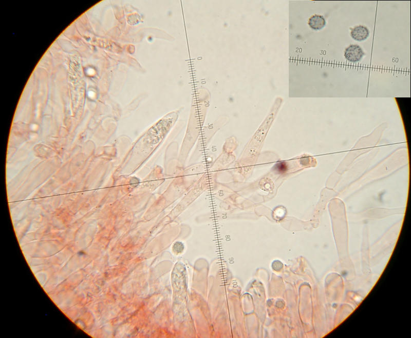
Fast vergessen, die größe der Sporen
im Mittel 6,47 x 5,62 ym; Q 1,15 (10 Sporen gemessen)
Anbei ein paar Fotos
Elemente der Huthaut Lamellenzystiden
Vorab vielen Dank für euere Hilfe.
Mit freundlichen Grüßen
Dirk
ich komme mit diesem Täubling nicht so recht weiter.
Vielleicht kann einer helfen oder noch besser evtl. kennt ihn jemand.
Funddaten: am 11.06.09 in der Nadelstreu im Randbereich eines Fichtenforsts. In der näheren Umgebung einige junge
Hainbuchen sowie eine kleine Eiche. Birken so in 20 m Entfernung.
Der Hut war leicht bereift, Stiel wie auf einem Foto erkennbar ganz leicht rötlich überhaucht.
Geschmack mild. Lamellen nur mit der Messerspitze splitternd.
Huthaut über 1/3 abziehbar.
Sporenpulverfarbe wie in PdS angegeben: 20/30 Y und 2M.
Reaktion mit verschiedenen Chemikalien:
Guajak blau-dunkelgrüne
Phenol weinbraun- braune
FeSO4 wenn überhaupt, dann leicht rosa Verfärbungen
Fast vergessen, die größe der Sporen
im Mittel 6,47 x 5,62 ym; Q 1,15 (10 Sporen gemessen)
Anbei ein paar Fotos
Elemente der Huthaut Lamellenzystiden
Vorab vielen Dank für euere Hilfe.
Mit freundlichen Grüßen
Dirk
- Harry
- Administrator
- Beiträge: 4719
- Registriert: Mi 22. Dez 2004, 09:37
- Kamera: Nikon D500
Nikon Z5
Olympus Tough TG-6 - Pilzverein: Pilzfreunde Saar - Pfalz e.V.
- Wohnort: Bexbach - Saarland
- Kontaktdaten:
Re: Ein Täubling, aber welcher?
Hallo Dirk,
mein erster Gedanke war Russula amoena ( Samtiger Brätlingstäubling ). Diese seltene Art kommt zwar vorzugsweise bei Eichen vor, kann gelegentlich aber auch bei Fichte gefunden werden.
Von deinen Angaben passt schon einiges ( auch mikroskopisch ) ganz gut. Wie hat der Täubling gerochen. Russula amoena soll laut Literatur ja nach Fisch bzw. Krustentieren riechen.
Schau mal bei der von mir genannten Art nach und vergleiche sie nochmal mit deinem Fund.
Gruß
Harry
mein erster Gedanke war Russula amoena ( Samtiger Brätlingstäubling ). Diese seltene Art kommt zwar vorzugsweise bei Eichen vor, kann gelegentlich aber auch bei Fichte gefunden werden.
Von deinen Angaben passt schon einiges ( auch mikroskopisch ) ganz gut. Wie hat der Täubling gerochen. Russula amoena soll laut Literatur ja nach Fisch bzw. Krustentieren riechen.
Schau mal bei der von mir genannten Art nach und vergleiche sie nochmal mit deinem Fund.
Gruß
Harry
Dass man immer noch lernen kann ist herrlich, und auch dass man andere dazu braucht.
-
Jonny70
- erfahrener Poster
- Beiträge: 121
- Registriert: Fr 12. Sep 2008, 12:21
- Wohnort: Lebach / Steinbach
Re: Ein Täubling, aber welcher?
Hallo Harry,
ich habe meine Notizen und Fotos mit dem von dir genannten Täubling verglichen.
Die Merkmale stimmen fast überein.
Jedoch an einen Geruch nach Krustentiere bzw. Heringe kann ich mich nicht erinnern.
Wahrscheinlich bin ich deshalb beim Schlüsseln nicht an den gekommen.
Bei einem anderen Foto der HDS meine ich auch Pileozystiden gesehen zu haben. R. amoena scheint die ja nicht zu haben.
Mein Favorit wäre ja R. parazurea gewesen, passt ja vom Standort und der Sporenfarbe nicht so ganz.
Aber die Täublinge scheinen ja keine so leichte Gattung zu sein.
Noch ein schönes Wochenende und mit besten Grüßen
Dirk
ich habe meine Notizen und Fotos mit dem von dir genannten Täubling verglichen.
Die Merkmale stimmen fast überein.
Jedoch an einen Geruch nach Krustentiere bzw. Heringe kann ich mich nicht erinnern.
Bei einem anderen Foto der HDS meine ich auch Pileozystiden gesehen zu haben. R. amoena scheint die ja nicht zu haben.
Mein Favorit wäre ja R. parazurea gewesen, passt ja vom Standort und der Sporenfarbe nicht so ganz.
Aber die Täublinge scheinen ja keine so leichte Gattung zu sein.
Noch ein schönes Wochenende und mit besten Grüßen
Dirk
Re: Ein Täubling, aber welcher?
Hallo,
ich würde an R. ionochlora denken.
beste Grüße,
Andreas
ich würde an R. ionochlora denken.
beste Grüße,
Andreas
- Harry
- Administrator
- Beiträge: 4719
- Registriert: Mi 22. Dez 2004, 09:37
- Kamera: Nikon D500
Nikon Z5
Olympus Tough TG-6 - Pilzverein: Pilzfreunde Saar - Pfalz e.V.
- Wohnort: Bexbach - Saarland
- Kontaktdaten:
Re: Ein Täubling, aber welcher?
Hallo Andreas,
Gruß
Harry
Dein Tipp ist mir wesentlich sympatischer als meiner. Hier passen ja auch die chemischen Reaktionen genau.Mollisia hat geschrieben:Hallo,
ich würde an R. ionochlora denken.
beste Grüße,
Andreas
Gruß
Harry
Dass man immer noch lernen kann ist herrlich, und auch dass man andere dazu braucht.
-
Jonny70
- erfahrener Poster
- Beiträge: 121
- Registriert: Fr 12. Sep 2008, 12:21
- Wohnort: Lebach / Steinbach
Re: Ein Täubling, aber welcher?
Hallo Andreas, hallo Harry,
ich habe eben die Beschreibung in PdS für R. ionochlora gelesen. Der Standort käme ja auch in etwa hin, da sich ja auch
Eiche in der Nähe befindet. Die Form der Pileozystiden kommt auch hin, wenn ich mich noch recht erinnere
Also vielen Dank für euere Hilfe und mit freundlichen Grüßen
Dirk
ich habe eben die Beschreibung in PdS für R. ionochlora gelesen. Der Standort käme ja auch in etwa hin, da sich ja auch
Eiche in der Nähe befindet. Die Form der Pileozystiden kommt auch hin, wenn ich mich noch recht erinnere
Also vielen Dank für euere Hilfe und mit freundlichen Grüßen
Dirk
Re: Ein Täubling, aber welcher?
Hallo Dirk,
ich kenne Russula ionochlora auch aus dem reinen Fichtenwald. Ich glaube nicht, dass die Art ein spezieller Eichenbegleiter ist, sie kommt wahrscheinlich auch unter Kiefer vor.
beste Grüße,
Andreas
ich kenne Russula ionochlora auch aus dem reinen Fichtenwald. Ich glaube nicht, dass die Art ein spezieller Eichenbegleiter ist, sie kommt wahrscheinlich auch unter Kiefer vor.
beste Grüße,
Andreas
-
Jonny70
- erfahrener Poster
- Beiträge: 121
- Registriert: Fr 12. Sep 2008, 12:21
- Wohnort: Lebach / Steinbach
Re: Ein Täubling, aber welcher?
Hallo Andreas,
gefunden habe ich die Pilze ja auch in der Nadelstreu unter Fichten. Die von mir genannten Begleitbäume sind auch in der
Nähe. Kiefer gibt es def. keine.
Bis auf den leichten Reif, der sonst nirgenwo erwähnt wird, passt auch sonst alles.
Somit kommt nur der Papageitäubling in Frage.
Ein schönes Wochenende und mit besten Grüßen
Dirk
gefunden habe ich die Pilze ja auch in der Nadelstreu unter Fichten. Die von mir genannten Begleitbäume sind auch in der
Nähe. Kiefer gibt es def. keine.
Bis auf den leichten Reif, der sonst nirgenwo erwähnt wird, passt auch sonst alles.
Somit kommt nur der Papageitäubling in Frage.
Ein schönes Wochenende und mit besten Grüßen
Dirk