Hi!
Und noch ein Fund über Pfingsten.
Bei diesem Rostpilz auf der Kleinen Wiesenraute (Thalictrum minus) handelt es sich um Puccinia persistens Plowright 1889 ssp. persistens var. persistens s. Urban & Markova 1977. Dieser Rostpilz wechsel später für seine Uredien und Telien auf die Kriechende Quecke (Elymus repens) - den ich hier im Forum schon mal gezeigt habe.
Fundort: D, Nord-Bayern, Lkrs. Main-Spessart, Höhfeldplatte bei Thüngersheim, NSG,
Wegrand; MTB: 6125/1/32, Höhe NN: 169
Funddatum: 30. Mai 2009
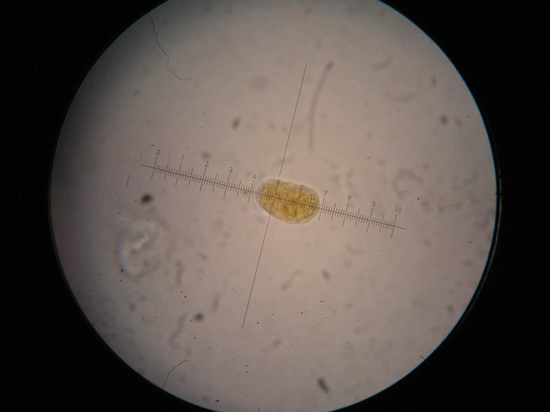
Sporen Ø = 25,3µm x 16,7µm.
lg Jule
Puccinia persistens an Kleiner Wiesenraute
- Julia
- Forums Gott
- Beiträge: 2342
- Registriert: Mo 7. Aug 2006, 19:23
- Kamera: Olympus FE 120 +Panasonic LX 7
- Wohnort: Barkelsby, Frankfurt a. Main
- Kontaktdaten:
Puccinia persistens an Kleiner Wiesenraute
- Dateianhänge
-
- P6060042.JPG (68.05 KiB) 1007 mal betrachtet
EXIF-Daten anzeigen / verbergenOriginalwert Bild aufgenommen am/um:2009:06:06 20:34:35Bild aufgenommen am/um:Sa 6. Jun 2009, 18:34Brennweite:6.3 mmBelichtungszeit:1/6 SekBlendenwert:f/2.8ISO:320Weißabgleich:AutomatischBlitz:Blitz nicht ausgelöst, Erzwungener BlitzmodusKamera-Hersteller:OLYMPUS IMAGING CORP.Kamera-Modell:FE-120,X-700Belichtungsmodus:Kreativprogramm (optimiert auf größtmöglichen Schärfebereich)Belichtungskorrektur:0 EVBelichtungsmessung:Muster -
- P6060030.JPG (61.34 KiB) 1004 mal betrachtet
EXIF-Daten anzeigen / verbergenOriginalwert Bild aufgenommen am/um:2009:06:06 20:29:44Bild aufgenommen am/um:Sa 6. Jun 2009, 18:29Brennweite:6.3 mmBelichtungszeit:1/6 SekBlendenwert:f/2.8ISO:320Weißabgleich:AutomatischBlitz:Blitz nicht ausgelöst, Erzwungener BlitzmodusKamera-Hersteller:OLYMPUS IMAGING CORP.Kamera-Modell:FE-120,X-700Belichtungsmodus:Kreativprogramm (optimiert auf größtmöglichen Schärfebereich)Belichtungskorrektur:0 EVBelichtungsmessung:Muster -
- P6060018.JPG (60.94 KiB) 1004 mal betrachtet
EXIF-Daten anzeigen / verbergenOriginalwert Bild aufgenommen am/um:2009:06:06 20:26:19Bild aufgenommen am/um:Sa 6. Jun 2009, 18:26Brennweite:6.3 mmBelichtungszeit:1/6 SekBlendenwert:f/2.8ISO:320Weißabgleich:AutomatischBlitz:Blitz nicht ausgelöst, Erzwungener BlitzmodusKamera-Hersteller:OLYMPUS IMAGING CORP.Kamera-Modell:FE-120,X-700Belichtungsmodus:Kreativprogramm (optimiert auf größtmöglichen Schärfebereich)Belichtungskorrektur:0 EVBelichtungsmessung:Muster -
- P5301500.JPG (145.34 KiB) 1007 mal betrachtet
EXIF-Daten anzeigen / verbergenOriginalwert Bild aufgenommen am/um:2009:05:30 12:55:07Bild aufgenommen am/um:Sa 30. Mai 2009, 10:55Brennweite:6.3 mmBelichtungszeit:1/50 SekBlendenwert:f/2.8ISO:80Weißabgleich:AutomatischBlitz:Blitz nicht ausgelöst, Erzwungener BlitzmodusKamera-Hersteller:OLYMPUS IMAGING CORP.Kamera-Modell:FE-120,X-700Belichtungsmodus:Kreativprogramm (optimiert auf größtmöglichen Schärfebereich)Belichtungskorrektur:0 EVBelichtungsmessung:Muster -
- P5301496.JPG (131.58 KiB) 1005 mal betrachtet
EXIF-Daten anzeigen / verbergenOriginalwert Bild aufgenommen am/um:2009:05:30 12:54:44Bild aufgenommen am/um:Sa 30. Mai 2009, 10:54Brennweite:6.3 mmBelichtungszeit:1/100 SekBlendenwert:f/2.8ISO:80Weißabgleich:AutomatischBlitz:Blitz nicht ausgelöst, Erzwungener BlitzmodusKamera-Hersteller:OLYMPUS IMAGING CORP.Kamera-Modell:FE-120,X-700Belichtungsmodus:Kreativprogramm (optimiert auf größtmöglichen Schärfebereich)Belichtungskorrektur:0 EVBelichtungsmessung:Muster -
- P5301490.JPG (166.74 KiB) 1006 mal betrachtet
EXIF-Daten anzeigen / verbergenOriginalwert Bild aufgenommen am/um:2009:05:30 12:53:47Bild aufgenommen am/um:Sa 30. Mai 2009, 10:53Brennweite:6.3 mmBelichtungszeit:1/250 SekBlendenwert:f/2.8ISO:80Weißabgleich:AutomatischBlitz:Blitz nicht ausgelöst, Erzwungener BlitzmodusKamera-Hersteller:OLYMPUS IMAGING CORP.Kamera-Modell:FE-120,X-700Belichtungsmodus:Kreativprogramm (optimiert auf größtmöglichen Schärfebereich)Belichtungskorrektur:0 EVBelichtungsmessung:Muster
- Dedimyk
- Forums Gott
- Beiträge: 2943
- Registriert: Sa 26. Nov 2005, 13:47
- Wohnort: Gifhorn - Südostniedersachsen
Re: Puccinia persistens an Kleiner Wiesenraute
Hallo Julia und alle Phytoparasitenfreunde,
viewtopic.php?f=14&t=3561
hier nochmal erweitert um Mikrobilder präsentierst, damit haben wir Gelegenheit ihn entsprechend vorzustellen.
Hier die Daten aus Brandenburger, Klenke, Gäumann und Zwetko zum Nachlesen und Erkennen:
I-Aeziensporenlager dichtstehend, in kleineren oder größeren Gruppen auf der Blattunterseite, auf etwas verdickten Flecken, die oben violettbraun, unten gelblich und von einem bräunlichen Saume umgeben sind. Pseudoperidien becherförmig, mit umgebogenem, zerschlitztem Saume. Die Mikromerkmale der Pseudoperidien erspare ich mir infolge fehlender Mikrobilder.
I-Aeziosporen stumpf polyedrisch bie ellipsoidisch, 19 - 30 µm lang, 17 -20 µm breit; Wand farblos, kaum 1 µm dick, dicht und feinwarzig, Warzenabstand kaum 1 µm; am oberen Ende etwas gröbere Warzen den feinen beigemischt.
Puccinia persistens Plowright 1889 ssp. persistens var. persistens s. Urban & Markova 1977 beginnt seine Entwicklung auf dem Haplonten ( Aezienwirt ) Thalictrum minus, der Kleinen Wiesenraute mit 0-Pyknien und I-Aezien und wechselt dann, wie Julia schon schrieb auf den Dikaryophyten ( Telienwirt ) Agropyron ( Elymus ) repens und Agropyron ( Elymus )caninum, um mit II-Uredien und III-Telien die Entwicklung abzuschließen.
Auf dem Dikaryophyten Elymus repens ( Gewöhnliche Quecke ) wurde der Rostpilz bereits durch Julia im II-Uredostadium und III-Teleutostadium vorgestellt, sodaß mit dem Fund auf dem Haplonten Thalictrum minus, der Kleinen Wiesenraute mit I-Aezien die gesamte Entwicklung jetzt hier dokumentiert ist.
Vielen Dank für die Vorstellung dieses neuen seltenen Rostpilzes, den ich bis dato auch noch nicht gesehen habe.
Herzliche Grüße Detlef
Literaturnachweise:
-Klenke, Friedemann: Berichte der Arbeitsgemeinschaft sächsicher Botaniker. Sammel- und Bestimmungshilfen für phytoparasitische Kleinpilze Sachsens
Verlag: Berichte der Arbeitsgemeinschaft sächsischer Botaniker Neue Folge Band 16 - Sonderheft Institut für Botanik der Tech. Universität Dresden
ISSN: 1434-1662
-Gäumann, Ernst: Die Rostpilze Mitteleuropas mit besonderer Berücksichtigung der Schweiz
Beiträge zur Kryptogamenflora der Schweiz Band XII mit 90 Tabellen und 1075 Abbildungen, 1407 Seiten
herausgegeben von einer Kommission der Schweiz. Naturforschenden Gesellschaft, Kommissionsverlag Büchler & Co. Bern 1959
-Brandenburger, Wolfgang: Parasitische Pilze an Gefäßpflanzen in Europa
Verlag: Gustav Fischer Verlag-Stuttgart-New York Erscheinungsdatum: 1985, 1248 Seiten
ISBN: 3-437-30433-X
-Poelt, Josef und Zwetko, Peter: Die Rostpilze Österreichs
Biosystematics and Ecology Series No. 12
2. revidierte und erweiterte Auflage des Catalogus Florae Austriae, III. Teil Heft1 Uredinales, 365 Seiten
Verlag: Verlag der Österreichischen Akademie der Wissenschaften 1997
Bandherausgeber: Wilfried Morawetz & Hans Winkler Institut für Botanik, Universtät Wien
ISBN:3-7001-2650-6
-Zwetko, Peter: Die Rostpilze Österreichs
Biosystematics and Ecology Series No. 16
Supplement und Wirt-Parasit-Verzeichnis zur 2. Auflage des Catalogus Florae Austriae,III. Teil Heft 1 Uredinales, 67 Seiten
Verlag: Verlag der Österreichischen Akademie der Wissenschaften 2000
Bandherausgeber: Friedrich Ehrendorfer, Institut für Botanik, Universtät Wien, A-1030 Wien
Serienherausgeber: Wilfried Morawetz & Hans Winkler Institut für Spezielle Botanik, Universtät Wien
ISBN:3-7001-2910-6
Sehr schön, daß Du auch diesen sehr seltenen neuen Rostpilz Puccinia persistens Plowright 1889 ssp. persistens var. persistens s. Urban & Markova 1977 im I-Aezienstadium auf der Kleinen Wiesenraute (Thalictrum minus) aus dem Sammel-BeitragJulia hat geschrieben:Hi!
Und noch ein Fund über Pfingsten.
Bei diesem Rostpilz auf der Kleinen Wiesenraute (Thalictrum minus) handelt es sich um Puccinia persistens Plowright 1889 ssp. persistens var. persistens s. Urban & Markova 1977. Dieser Rostpilz wechsel später für seine Uredien und Telien auf die Kriechende Quecke (Elymus repens) - den ich hier im Forum schon mal gezeigt habe.
Fundort: D, Nord-Bayern, Lkrs. Main-Spessart, Höhfeldplatte bei Thüngersheim, NSG,
Wegrand; MTB: 6125/1/32, Höhe NN: 169
Funddatum: 30. Mai 2009
Sporen Ø = 25,3µm x 16,7µm.
lg Jule
viewtopic.php?f=14&t=3561
hier nochmal erweitert um Mikrobilder präsentierst, damit haben wir Gelegenheit ihn entsprechend vorzustellen.
Hier die Daten aus Brandenburger, Klenke, Gäumann und Zwetko zum Nachlesen und Erkennen:
I-Aeziensporenlager dichtstehend, in kleineren oder größeren Gruppen auf der Blattunterseite, auf etwas verdickten Flecken, die oben violettbraun, unten gelblich und von einem bräunlichen Saume umgeben sind. Pseudoperidien becherförmig, mit umgebogenem, zerschlitztem Saume. Die Mikromerkmale der Pseudoperidien erspare ich mir infolge fehlender Mikrobilder.
I-Aeziosporen stumpf polyedrisch bie ellipsoidisch, 19 - 30 µm lang, 17 -20 µm breit; Wand farblos, kaum 1 µm dick, dicht und feinwarzig, Warzenabstand kaum 1 µm; am oberen Ende etwas gröbere Warzen den feinen beigemischt.
Puccinia persistens Plowright 1889 ssp. persistens var. persistens s. Urban & Markova 1977 beginnt seine Entwicklung auf dem Haplonten ( Aezienwirt ) Thalictrum minus, der Kleinen Wiesenraute mit 0-Pyknien und I-Aezien und wechselt dann, wie Julia schon schrieb auf den Dikaryophyten ( Telienwirt ) Agropyron ( Elymus ) repens und Agropyron ( Elymus )caninum, um mit II-Uredien und III-Telien die Entwicklung abzuschließen.
Auf dem Dikaryophyten Elymus repens ( Gewöhnliche Quecke ) wurde der Rostpilz bereits durch Julia im II-Uredostadium und III-Teleutostadium vorgestellt, sodaß mit dem Fund auf dem Haplonten Thalictrum minus, der Kleinen Wiesenraute mit I-Aezien die gesamte Entwicklung jetzt hier dokumentiert ist.
Vielen Dank für die Vorstellung dieses neuen seltenen Rostpilzes, den ich bis dato auch noch nicht gesehen habe.
Herzliche Grüße Detlef
Literaturnachweise:
-Klenke, Friedemann: Berichte der Arbeitsgemeinschaft sächsicher Botaniker. Sammel- und Bestimmungshilfen für phytoparasitische Kleinpilze Sachsens
Verlag: Berichte der Arbeitsgemeinschaft sächsischer Botaniker Neue Folge Band 16 - Sonderheft Institut für Botanik der Tech. Universität Dresden
ISSN: 1434-1662
-Gäumann, Ernst: Die Rostpilze Mitteleuropas mit besonderer Berücksichtigung der Schweiz
Beiträge zur Kryptogamenflora der Schweiz Band XII mit 90 Tabellen und 1075 Abbildungen, 1407 Seiten
herausgegeben von einer Kommission der Schweiz. Naturforschenden Gesellschaft, Kommissionsverlag Büchler & Co. Bern 1959
-Brandenburger, Wolfgang: Parasitische Pilze an Gefäßpflanzen in Europa
Verlag: Gustav Fischer Verlag-Stuttgart-New York Erscheinungsdatum: 1985, 1248 Seiten
ISBN: 3-437-30433-X
-Poelt, Josef und Zwetko, Peter: Die Rostpilze Österreichs
Biosystematics and Ecology Series No. 12
2. revidierte und erweiterte Auflage des Catalogus Florae Austriae, III. Teil Heft1 Uredinales, 365 Seiten
Verlag: Verlag der Österreichischen Akademie der Wissenschaften 1997
Bandherausgeber: Wilfried Morawetz & Hans Winkler Institut für Botanik, Universtät Wien
ISBN:3-7001-2650-6
-Zwetko, Peter: Die Rostpilze Österreichs
Biosystematics and Ecology Series No. 16
Supplement und Wirt-Parasit-Verzeichnis zur 2. Auflage des Catalogus Florae Austriae,III. Teil Heft 1 Uredinales, 67 Seiten
Verlag: Verlag der Österreichischen Akademie der Wissenschaften 2000
Bandherausgeber: Friedrich Ehrendorfer, Institut für Botanik, Universtät Wien, A-1030 Wien
Serienherausgeber: Wilfried Morawetz & Hans Winkler Institut für Spezielle Botanik, Universtät Wien
ISBN:3-7001-2910-6
Detlef, der Freund der Phytoparasiten