Phacellium carneum an Wiesen-Platterbse

Spezialforum zum Thema phytoparasitische Kleinpilze ( Rost, Brand, Mehltaupilze etc. ) und tierische Gallen an Wild.- und Nutzpflanzen. Forumsstart - 15.07.2006
Benutzeravatar
Julia
Forums Gott
Beiträge: 2342
Registriert: Mo 7. Aug 2006, 19:23
Kamera: Olympus FE 120 +Panasonic LX 7
Wohnort: Barkelsby, Frankfurt a. Main
Kontaktdaten:

Phacellium carneum an Wiesen-Platterbse

Ungelesener Beitrag von Julia »

Hallo,

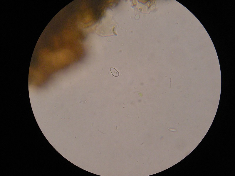
diesen Hyphomyceten habe ich am 29.05.2011 in D, Bayern, Unterfranken, Ldkr. Schweinfurt, zwischen Schwebheim und Grettstadt, Naturlehrpfad am Riedholz, Wiesen am Möörwiesensee; MTB: 6027/2/1, Höhe NN: 220 auf den Blättern der Wiesen-Platterbse (Lathyrus pratensis L.) gefunden.

Es handelt sich hierbei um Phacellium carneum (Oudem.) U. Braun

Typisch hierfür ist der leicht lachsfarbene Rasen und gebündelte Konidienträger (die konnte ich leider nicht fotografieren, die ragten aus den Spaltöffnungen und meine Kamera wollte die nicht scharf bekommen).
Die Konidien sind tropfenförmig, was man recht gut auf den Bildern sehen kann.

Konidien: 10µm x 5µm
Grettstadt (1).JPG
Grettstadt (1).JPG (141.98 KiB) 1397 mal betrachtet
Originalwert Bild aufgenommen am/um:
2011:05:29 18:17:34
Bild aufgenommen am/um:
So 29. Mai 2011, 16:17
Brennweite:
6.3 mm
Belichtungszeit:
1/800 Sek
Blendenwert:
f/2.8
ISO:
80
Weißabgleich:
Automatisch
Blitz:
Blitz nicht ausgelöst, Erzwungener Blitzmodus
Kamera-Hersteller:
OLYMPUS IMAGING CORP.
Kamera-Modell:
FE-120,X-700
Belichtungsmodus:
Kreativprogramm (optimiert auf größtmöglichen Schärfebereich)
Belichtungskorrektur:
0 EV
Belichtungsmessung:
Muster
Grettstadt (4).JPG
Grettstadt (4).JPG (140.79 KiB) 1396 mal betrachtet
Originalwert Bild aufgenommen am/um:
2011:05:29 18:18:14
Bild aufgenommen am/um:
So 29. Mai 2011, 16:18
Brennweite:
6.3 mm
Belichtungszeit:
1/400 Sek
Blendenwert:
f/4
ISO:
80
Weißabgleich:
Automatisch
Blitz:
Blitz nicht ausgelöst, Erzwungener Blitzmodus
Kamera-Hersteller:
OLYMPUS IMAGING CORP.
Kamera-Modell:
FE-120,X-700
Belichtungsmodus:
Kreativprogramm (optimiert auf größtmöglichen Schärfebereich)
Belichtungskorrektur:
0 EV
Belichtungsmessung:
Muster
Grettstadt (8).JPG
Grettstadt (8).JPG (94.54 KiB) 1396 mal betrachtet
Originalwert Bild aufgenommen am/um:
2011:05:29 18:18:57
Bild aufgenommen am/um:
So 29. Mai 2011, 16:18
Brennweite:
6.3 mm
Belichtungszeit:
1/800 Sek
Blendenwert:
f/2.8
ISO:
80
Weißabgleich:
Automatisch
Blitz:
Blitz nicht ausgelöst, Erzwungener Blitzmodus
Kamera-Hersteller:
OLYMPUS IMAGING CORP.
Kamera-Modell:
FE-120,X-700
Belichtungsmodus:
Kreativprogramm (optimiert auf größtmöglichen Schärfebereich)
Belichtungskorrektur:
0 EV
Belichtungsmessung:
Muster
Grettstadt (12).JPG
Grettstadt (12).JPG (68.49 KiB) 1398 mal betrachtet
Originalwert Bild aufgenommen am/um:
2011:05:31 18:28:44
Bild aufgenommen am/um:
Di 31. Mai 2011, 16:28
Brennweite:
6.3 mm
Belichtungszeit:
1/8 Sek
Blendenwert:
f/2.8
ISO:
320
Weißabgleich:
Automatisch
Blitz:
Blitz nicht ausgelöst, Erzwungener Blitzmodus
Kamera-Hersteller:
OLYMPUS IMAGING CORP.
Kamera-Modell:
FE-120,X-700
Belichtungsmodus:
Kreativprogramm (optimiert auf größtmöglichen Schärfebereich)
Belichtungskorrektur:
0 EV
Belichtungsmessung:
Muster
Grettstadt (20).JPG
Grettstadt (20).JPG (67.77 KiB) 1394 mal betrachtet
Originalwert Bild aufgenommen am/um:
2011:05:31 18:32:22
Bild aufgenommen am/um:
Di 31. Mai 2011, 16:32
Brennweite:
6.3 mm
Belichtungszeit:
1/6 Sek
Blendenwert:
f/2.8
ISO:
320
Weißabgleich:
Automatisch
Blitz:
Blitz nicht ausgelöst, Erzwungener Blitzmodus
Kamera-Hersteller:
OLYMPUS IMAGING CORP.
Kamera-Modell:
FE-120,X-700
Belichtungsmodus:
Kreativprogramm (optimiert auf größtmöglichen Schärfebereich)
Belichtungskorrektur:
0 EV
Belichtungsmessung:
Muster
Grettstadt (22).JPG
Grettstadt (22).JPG (63.57 KiB) 1394 mal betrachtet
Originalwert Bild aufgenommen am/um:
2011:05:31 18:33:18
Bild aufgenommen am/um:
Di 31. Mai 2011, 16:33
Brennweite:
6.3 mm
Belichtungszeit:
1/8 Sek
Blendenwert:
f/2.8
ISO:
320
Weißabgleich:
Automatisch
Blitz:
Blitz nicht ausgelöst, Erzwungener Blitzmodus
Kamera-Hersteller:
OLYMPUS IMAGING CORP.
Kamera-Modell:
FE-120,X-700
Belichtungsmodus:
Kreativprogramm (optimiert auf größtmöglichen Schärfebereich)
Belichtungskorrektur:
0 EV
Belichtungsmessung:
Muster
Grettstadt (24).JPG
Grettstadt (24).JPG (60.32 KiB) 1392 mal betrachtet
Originalwert Bild aufgenommen am/um:
2011:05:31 18:33:52
Bild aufgenommen am/um:
Di 31. Mai 2011, 16:33
Brennweite:
6.3 mm
Belichtungszeit:
1/8 Sek
Blendenwert:
f/2.8
ISO:
320
Weißabgleich:
Automatisch
Blitz:
Blitz nicht ausgelöst, Erzwungener Blitzmodus
Kamera-Hersteller:
OLYMPUS IMAGING CORP.
Kamera-Modell:
FE-120,X-700
Belichtungsmodus:
Kreativprogramm (optimiert auf größtmöglichen Schärfebereich)
Belichtungskorrektur:
0 EV
Belichtungsmessung:
Muster

Viel Erfolg bei der Nachsuche!

Liebe Grüße Julia
Antworten