Peronospora sanguisorbae an Wiesenknopf

Spezialforum zum Thema phytoparasitische Kleinpilze ( Rost, Brand, Mehltaupilze etc. ) und tierische Gallen an Wild.- und Nutzpflanzen. Forumsstart - 15.07.2006
Benutzeravatar
Julia
Forums Gott
Beiträge: 2342
Registriert: Mo 7. Aug 2006, 19:23
Kamera: Olympus FE 120 +Panasonic LX 7
Wohnort: Barkelsby, Frankfurt a. Main
Kontaktdaten:

Peronospora sanguisorbae an Wiesenknopf

Ungelesener Beitrag von Julia »

Hallo,

für heute morgen habe ich mal wieder einen Falschen Mehltaupilz vorbereitet der noch nicht im Forum vorgestellt wurde.

Gefunden habe ich ihn am 14.10.2011 in D, Bayern, Oberfranken, Bayreuth, Universitätsstraße, Unigelände, Ökologisch-Botanischer Garten, Bach; MTB: 6035/4, Höhe NN: 355 auf den Blättern vom Großen Wiesenknopf (Sanguisorba officinalis).

Es handelt sich hierbei um die recht seltene Peronospora sanguisorbae Gäum.

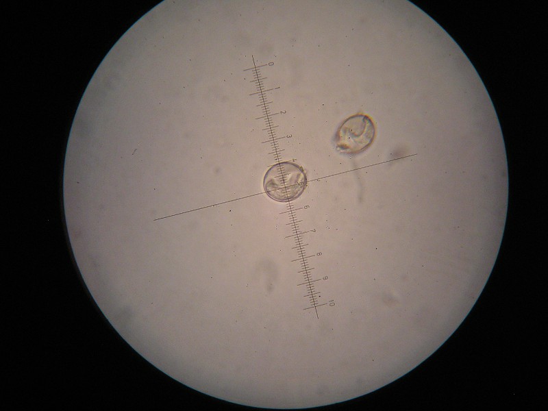
Er bildet unterseits an gelblichen bis rötlichen Flecken (im Alter bräunlich) einen gräulichen Rasen aus. Konidien 1 zellig, annährend kugelig, 17,7µm x 15,3µm.
ÖBG (1).JPG
ÖBG (1).JPG (164.49 KiB) 1165 mal betrachtet
Originalwert Bild aufgenommen am/um:
2011:10:14 13:57:23
Bild aufgenommen am/um:
Fr 14. Okt 2011, 11:57
Brennweite:
6.3 mm
Belichtungszeit:
1/160 Sek
Blendenwert:
f/2.8
ISO:
80
Weißabgleich:
Automatisch
Blitz:
Blitz nicht ausgelöst, Erzwungener Blitzmodus
Kamera-Hersteller:
OLYMPUS IMAGING CORP.
Kamera-Modell:
FE-120,X-700
Belichtungsmodus:
Kreativprogramm (optimiert auf größtmöglichen Schärfebereich)
Belichtungskorrektur:
0 EV
Belichtungsmessung:
Muster
ÖBG (3).JPG
ÖBG (3).JPG (144.95 KiB) 1165 mal betrachtet
Originalwert Bild aufgenommen am/um:
2011:10:14 13:57:31
Bild aufgenommen am/um:
Fr 14. Okt 2011, 11:57
Brennweite:
6.3 mm
Belichtungszeit:
1/200 Sek
Blendenwert:
f/2.8
ISO:
80
Weißabgleich:
Automatisch
Blitz:
Blitz nicht ausgelöst, Erzwungener Blitzmodus
Kamera-Hersteller:
OLYMPUS IMAGING CORP.
Kamera-Modell:
FE-120,X-700
Belichtungsmodus:
Kreativprogramm (optimiert auf größtmöglichen Schärfebereich)
Belichtungskorrektur:
0 EV
Belichtungsmessung:
Muster
ÖBG (7).JPG
ÖBG (7).JPG (92.93 KiB) 1165 mal betrachtet
Originalwert Bild aufgenommen am/um:
2011:10:14 13:58:10
Bild aufgenommen am/um:
Fr 14. Okt 2011, 11:58
Brennweite:
6.3 mm
Belichtungszeit:
1/200 Sek
Blendenwert:
f/2.8
ISO:
80
Weißabgleich:
Automatisch
Blitz:
Blitz nicht ausgelöst, Erzwungener Blitzmodus
Kamera-Hersteller:
OLYMPUS IMAGING CORP.
Kamera-Modell:
FE-120,X-700
Belichtungsmodus:
Kreativprogramm (optimiert auf größtmöglichen Schärfebereich)
Belichtungskorrektur:
0 EV
Belichtungsmessung:
Muster
ÖBG (8).JPG
ÖBG (8).JPG (152.97 KiB) 1165 mal betrachtet
Originalwert Bild aufgenommen am/um:
2011:10:14 13:58:21
Bild aufgenommen am/um:
Fr 14. Okt 2011, 11:58
Brennweite:
6.3 mm
Belichtungszeit:
1/125 Sek
Blendenwert:
f/2.8
ISO:
80
Weißabgleich:
Automatisch
Blitz:
Blitz nicht ausgelöst, Erzwungener Blitzmodus
Kamera-Hersteller:
OLYMPUS IMAGING CORP.
Kamera-Modell:
FE-120,X-700
Belichtungsmodus:
Kreativprogramm (optimiert auf größtmöglichen Schärfebereich)
Belichtungskorrektur:
0 EV
Belichtungsmessung:
Muster
ÖBG (10).JPG
ÖBG (10).JPG (141.14 KiB) 1164 mal betrachtet
Originalwert Bild aufgenommen am/um:
2011:10:14 13:58:43
Bild aufgenommen am/um:
Fr 14. Okt 2011, 11:58
Brennweite:
6.3 mm
Belichtungszeit:
1/100 Sek
Blendenwert:
f/2.8
ISO:
80
Weißabgleich:
Automatisch
Blitz:
Blitz nicht ausgelöst, Erzwungener Blitzmodus
Kamera-Hersteller:
OLYMPUS IMAGING CORP.
Kamera-Modell:
FE-120,X-700
Belichtungsmodus:
Kreativprogramm (optimiert auf größtmöglichen Schärfebereich)
Belichtungskorrektur:
0 EV
Belichtungsmessung:
Muster
400er ÖBG (1).JPG
400er ÖBG (1).JPG (76.1 KiB) 1164 mal betrachtet
Originalwert Bild aufgenommen am/um:
2011:10:14 20:37:30
Bild aufgenommen am/um:
Fr 14. Okt 2011, 18:37
Brennweite:
6.3 mm
Belichtungszeit:
1/13 Sek
Blendenwert:
f/2.8
ISO:
320
Weißabgleich:
Automatisch
Blitz:
Blitz nicht ausgelöst, Erzwungener Blitzmodus
Kamera-Hersteller:
OLYMPUS IMAGING CORP.
Kamera-Modell:
FE-120,X-700
Belichtungsmodus:
Kreativprogramm (optimiert auf größtmöglichen Schärfebereich)
Belichtungskorrektur:
0 EV
Belichtungsmessung:
Muster
1000er ÖBG (3).JPG
1000er ÖBG (3).JPG (53.79 KiB) 1164 mal betrachtet
Originalwert Bild aufgenommen am/um:
2011:10:14 20:39:21
Bild aufgenommen am/um:
Fr 14. Okt 2011, 18:39
Brennweite:
9.9 mm
Belichtungszeit:
1/4 Sek
Blendenwert:
f/3.4
ISO:
320
Weißabgleich:
Automatisch
Blitz:
Blitz nicht ausgelöst, Erzwungener Blitzmodus
Kamera-Hersteller:
OLYMPUS IMAGING CORP.
Kamera-Modell:
FE-120,X-700
Belichtungsmodus:
Kreativprogramm (optimiert auf größtmöglichen Schärfebereich)
Belichtungskorrektur:
0 EV
Belichtungsmessung:
Muster
1000er ÖBG (9).JPG
1000er ÖBG (9).JPG (60.62 KiB) 1164 mal betrachtet
Originalwert Bild aufgenommen am/um:
2011:10:14 20:40:37
Bild aufgenommen am/um:
Fr 14. Okt 2011, 18:40
Brennweite:
7.7 mm
Belichtungszeit:
1/6 Sek
Blendenwert:
f/3
ISO:
320
Weißabgleich:
Automatisch
Blitz:
Blitz nicht ausgelöst, Erzwungener Blitzmodus
Kamera-Hersteller:
OLYMPUS IMAGING CORP.
Kamera-Modell:
FE-120,X-700
Belichtungsmodus:
Kreativprogramm (optimiert auf größtmöglichen Schärfebereich)
Belichtungskorrektur:
0 EV
Belichtungsmessung:
Muster
1000er ÖBG (13).JPG
1000er ÖBG (13).JPG (64.62 KiB) 1163 mal betrachtet
Originalwert Bild aufgenommen am/um:
2011:10:14 20:41:37
Bild aufgenommen am/um:
Fr 14. Okt 2011, 18:41
Brennweite:
6.3 mm
Belichtungszeit:
1/8 Sek
Blendenwert:
f/2.8
ISO:
320
Weißabgleich:
Automatisch
Blitz:
Blitz nicht ausgelöst, Erzwungener Blitzmodus
Kamera-Hersteller:
OLYMPUS IMAGING CORP.
Kamera-Modell:
FE-120,X-700
Belichtungsmodus:
Kreativprogramm (optimiert auf größtmöglichen Schärfebereich)
Belichtungskorrektur:
0 EV
Belichtungsmessung:
Muster
1000er ÖBG (15).JPG
1000er ÖBG (15).JPG (64.52 KiB) 1165 mal betrachtet
Originalwert Bild aufgenommen am/um:
2011:10:14 20:43:08
Bild aufgenommen am/um:
Fr 14. Okt 2011, 18:43
Brennweite:
6.3 mm
Belichtungszeit:
1/8 Sek
Blendenwert:
f/2.8
ISO:
320
Weißabgleich:
Automatisch
Blitz:
Blitz nicht ausgelöst, Erzwungener Blitzmodus
Kamera-Hersteller:
OLYMPUS IMAGING CORP.
Kamera-Modell:
FE-120,X-700
Belichtungsmodus:
Kreativprogramm (optimiert auf größtmöglichen Schärfebereich)
Belichtungskorrektur:
0 EV
Belichtungsmessung:
Muster

Viel Erfolg bei der Nachsuche!

Liebe Grüße Jule
Benutzeravatar
Dedimyk
Forums Gott
Beiträge: 2943
Registriert: Sa 26. Nov 2005, 13:47
Wohnort: Gifhorn - Südostniedersachsen

Re: Peronospora sanguisorbae an Wiesenknopf

Ungelesener Beitrag von Dedimyk »

Hallo Julia und alle Phytoparasitenfreunde,
Julia hat geschrieben:Hallo,
für heute morgen habe ich mal wieder einen Falschen Mehltaupilz vorbereitet der noch nicht im Forum vorgestellt wurde.
Gefunden habe ich ihn am 14.10.2011 in D, Bayern, Oberfranken, Bayreuth, Universitätsstraße, Unigelände, Ökologisch-Botanischer Garten, Bach; MTB: 6035/4, Höhe NN: 355 auf den Blättern vom Großen Wiesenknopf (Sanguisorba officinalis).
Es handelt sich hierbei um die recht seltene Peronospora sanguisorbae Gäum.
Er bildet unterseits an gelblichen bis rötlichen Flecken (im Alter bräunlich) einen gräulichen Rasen aus. Konidien 1 zellig, annährend kugelig, 17,7µm x 15,3µm.
Viel Erfolg bei der Nachsuche!
Liebe Grüße Jule
Das scheint ja ein ähnliches Traum - Biotop zu werden in Bayreuth wie seinerzeit der Berggarten in Hannover, wenn ich die letzten Funde betrachte, das läßt noch auf viele schöne und interessante Beiträge hoffen. :freu

Der Fund des seltenen "Falschen" Mehltaupilzes Peronospora sanguisorbae Gäumann 1923 auf Sanguisorba officinalis, dem Großen Wiesenknopf ist ein echtes Highlight und bereichert unsere Datenbank fungiworld.com entsprechend, denn ich stelle die Bilder gleich ein.:su:

Vielen Dank für die wieder ausgezeichnete Vorstellung des seltenen "Falschen" Mehltaupilzes Peronospora sanguisorbae Gäumann 1923 auf Sanguisorba officinalis, dem Großen Wiesenknopf.

Herzliche Grüße Detlef

Literaturhinweise:
-Brandenburger, Wolfgang: Parasitische Pilze an Gefäßpflanzen in Europa
Verlag: Gustav Fischer Verlag-Stuttgart-New York Erscheinungsdatum: 1985, 1248 Seiten
ISBN: 3-437-30433-X

-Klenke, Friedemann: Berichte der Arbeitsgemeinschaft sächsicher Botaniker. Sammel- und Bestimmungshilfen für phytoparasitische Kleinpilze Sachsens
Verlag: Berichte der Arbeitsgemeinschaft sächsischer Botaniker Neue Folge Band 16 - Sonderheft Institut für Botanik der Tech. Universität Dresden
ISSN: 1434-1662

-Brandenburger & Hagedorn ( BBA Band 405)

-Ellis, Martin,B. und Ellis, J.Pamela:Microfungi on Landplants, 888Seiten
The Richmond Publishing Co. Ltd.P.O.Box 963, Slough SL2 3RS England
ISBN: 085546 245 0 Paperback
ISBN: 085546 246 9 Hardback
Detlef, der Freund der Phytoparasiten
Antworten