Peronospora polygoni-convolvuli an Windenknöterich

Spezialforum zum Thema phytoparasitische Kleinpilze ( Rost, Brand, Mehltaupilze etc. ) und tierische Gallen an Wild.- und Nutzpflanzen. Forumsstart - 15.07.2006
Benutzeravatar
Julia
Forums Gott
Beiträge: 2342
Registriert: Mo 7. Aug 2006, 19:23
Kamera: Olympus FE 120 +Panasonic LX 7
Wohnort: Barkelsby, Frankfurt a. Main
Kontaktdaten:

Peronospora polygoni-convolvuli an Windenknöterich

Ungelesener Beitrag von Julia »

Hallo ihr lieben,

kurze Verschnaufpause, die Uni macht mich nochmal fertig...

Bis einschließlich Freitag kann ich noch je einen Phyto vorstellen, dann bin ich erstmal 1 1/2 Wochen in Österreich von der Uni aus, Methoden der Vegetationskartierung anwenden (inwieweit ich da auf Kleinpilze achten kann ist fraglich...).

Diesen Falschen Mehltaupilz habe ich am 04.06.2012 in D, Thüringen, Lkr. Schmalkalden-Meiningen, nw Sondheim, Acker mit artenreicher Segetalflur; MTB: 5528/3, Höhe NN: 360m auf den Blättern von dem Acker-Flügelknöterich (Fallopia convolvulus) gefunden.

Es handelt sich hierbei um Peronospora polygoni-convolvuli A. Gustavsson

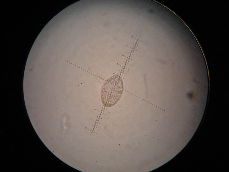
Befallsbild: Blattoberseits eine gelbliche flächige Verfärbung der Blätter. Blattunterseits ein grauer Rasen. Konidien: ellipsoid, 29,7µm x 19µm und grau/braun.
Sondheim (1).JPG
Sondheim (1).JPG (180.09 KiB) 1335 mal betrachtet
Originalwert Bild aufgenommen am/um:
2012:06:04 13:07:18
Bild aufgenommen am/um:
Mo 4. Jun 2012, 11:07
Brennweite:
6.3 mm
Belichtungszeit:
1/100 Sek
Blendenwert:
f/2.8
ISO:
80
Weißabgleich:
Automatisch
Blitz:
Blitz nicht ausgelöst, Erzwungener Blitzmodus
Kamera-Hersteller:
OLYMPUS IMAGING CORP.
Kamera-Modell:
FE-120,X-700
Belichtungsmodus:
Kreativprogramm (optimiert auf größtmöglichen Schärfebereich)
Belichtungskorrektur:
0 EV
Belichtungsmessung:
Muster
Sondheim (3).JPG
Sondheim (3).JPG (128.3 KiB) 1339 mal betrachtet
Originalwert Bild aufgenommen am/um:
2012:06:04 13:07:41
Bild aufgenommen am/um:
Mo 4. Jun 2012, 11:07
Brennweite:
6.3 mm
Belichtungszeit:
1/125 Sek
Blendenwert:
f/2.8
ISO:
80
Weißabgleich:
Automatisch
Blitz:
Blitz nicht ausgelöst, Erzwungener Blitzmodus
Kamera-Hersteller:
OLYMPUS IMAGING CORP.
Kamera-Modell:
FE-120,X-700
Belichtungsmodus:
Kreativprogramm (optimiert auf größtmöglichen Schärfebereich)
Belichtungskorrektur:
0 EV
Belichtungsmessung:
Muster
Sondheim (5).JPG
Sondheim (5).JPG (136.41 KiB) 1337 mal betrachtet
Originalwert Bild aufgenommen am/um:
2012:06:04 13:07:59
Bild aufgenommen am/um:
Mo 4. Jun 2012, 11:07
Brennweite:
6.3 mm
Belichtungszeit:
1/100 Sek
Blendenwert:
f/2.8
ISO:
80
Weißabgleich:
Automatisch
Blitz:
Blitz nicht ausgelöst, Erzwungener Blitzmodus
Kamera-Hersteller:
OLYMPUS IMAGING CORP.
Kamera-Modell:
FE-120,X-700
Belichtungsmodus:
Kreativprogramm (optimiert auf größtmöglichen Schärfebereich)
Belichtungskorrektur:
0 EV
Belichtungsmessung:
Muster
Sondheim (8).JPG
Sondheim (8).JPG (119.35 KiB) 1336 mal betrachtet
Originalwert Bild aufgenommen am/um:
2012:06:04 13:08:21
Bild aufgenommen am/um:
Mo 4. Jun 2012, 11:08
Brennweite:
6.3 mm
Belichtungszeit:
1/100 Sek
Blendenwert:
f/2.8
ISO:
80
Weißabgleich:
Automatisch
Blitz:
Blitz nicht ausgelöst, Erzwungener Blitzmodus
Kamera-Hersteller:
OLYMPUS IMAGING CORP.
Kamera-Modell:
FE-120,X-700
Belichtungsmodus:
Kreativprogramm (optimiert auf größtmöglichen Schärfebereich)
Belichtungskorrektur:
0 EV
Belichtungsmessung:
Muster
400er Sondheim (5).JPG
400er Sondheim (5).JPG (81.26 KiB) 1338 mal betrachtet
Originalwert Bild aufgenommen am/um:
2011:06:05 17:24:16
Bild aufgenommen am/um:
So 5. Jun 2011, 15:24
Brennweite:
6.3 mm
Belichtungszeit:
1/15 Sek
Blendenwert:
f/2.8
ISO:
320
Weißabgleich:
Automatisch
Blitz:
Blitz nicht ausgelöst, Erzwungener Blitzmodus
Kamera-Hersteller:
OLYMPUS IMAGING CORP.
Kamera-Modell:
FE-120,X-700
Belichtungsmodus:
Kreativprogramm (optimiert auf größtmöglichen Schärfebereich)
Belichtungskorrektur:
0 EV
Belichtungsmessung:
Muster
1000er Sondheim (2).JPG
1000er Sondheim (2).JPG (71.27 KiB) 1339 mal betrachtet
Originalwert Bild aufgenommen am/um:
2011:06:05 17:26:07
Bild aufgenommen am/um:
So 5. Jun 2011, 15:26
Brennweite:
6.3 mm
Belichtungszeit:
1/10 Sek
Blendenwert:
f/2.8
ISO:
320
Weißabgleich:
Automatisch
Blitz:
Blitz nicht ausgelöst, Erzwungener Blitzmodus
Kamera-Hersteller:
OLYMPUS IMAGING CORP.
Kamera-Modell:
FE-120,X-700
Belichtungsmodus:
Kreativprogramm (optimiert auf größtmöglichen Schärfebereich)
Belichtungskorrektur:
0 EV
Belichtungsmessung:
Muster
1000er Sondheim (8).JPG
1000er Sondheim (8).JPG (85.55 KiB) 1333 mal betrachtet
Originalwert Bild aufgenommen am/um:
2011:06:05 17:27:20
Bild aufgenommen am/um:
So 5. Jun 2011, 15:27
Brennweite:
6.3 mm
Belichtungszeit:
1/10 Sek
Blendenwert:
f/2.8
ISO:
320
Weißabgleich:
Automatisch
Blitz:
Blitz nicht ausgelöst, Erzwungener Blitzmodus
Kamera-Hersteller:
OLYMPUS IMAGING CORP.
Kamera-Modell:
FE-120,X-700
Belichtungsmodus:
Kreativprogramm (optimiert auf größtmöglichen Schärfebereich)
Belichtungskorrektur:
0 EV
Belichtungsmessung:
Muster
1000er Sondheim (10).JPG
1000er Sondheim (10).JPG (86.86 KiB) 1335 mal betrachtet
Originalwert Bild aufgenommen am/um:
2011:06:05 17:28:04
Bild aufgenommen am/um:
So 5. Jun 2011, 15:28
Brennweite:
6.3 mm
Belichtungszeit:
1/10 Sek
Blendenwert:
f/2.8
ISO:
320
Weißabgleich:
Automatisch
Blitz:
Blitz nicht ausgelöst, Erzwungener Blitzmodus
Kamera-Hersteller:
OLYMPUS IMAGING CORP.
Kamera-Modell:
FE-120,X-700
Belichtungsmodus:
Kreativprogramm (optimiert auf größtmöglichen Schärfebereich)
Belichtungskorrektur:
0 EV
Belichtungsmessung:
Muster
1000er Sondheim (12).JPG
1000er Sondheim (12).JPG (53.24 KiB) 1335 mal betrachtet
Originalwert Bild aufgenommen am/um:
2011:06:05 17:28:44
Bild aufgenommen am/um:
So 5. Jun 2011, 15:28
Brennweite:
8.8 mm
Belichtungszeit:
1/5 Sek
Blendenwert:
f/3.2
ISO:
320
Weißabgleich:
Automatisch
Blitz:
Blitz nicht ausgelöst, Erzwungener Blitzmodus
Kamera-Hersteller:
OLYMPUS IMAGING CORP.
Kamera-Modell:
FE-120,X-700
Belichtungsmodus:
Kreativprogramm (optimiert auf größtmöglichen Schärfebereich)
Belichtungskorrektur:
0 EV
Belichtungsmessung:
Muster
1000er Sondheim (16).JPG
1000er Sondheim (16).JPG (61.54 KiB) 1336 mal betrachtet
Originalwert Bild aufgenommen am/um:
2011:06:05 17:30:07
Bild aufgenommen am/um:
So 5. Jun 2011, 15:30
Brennweite:
6.3 mm
Belichtungszeit:
1/10 Sek
Blendenwert:
f/2.8
ISO:
320
Weißabgleich:
Automatisch
Blitz:
Blitz nicht ausgelöst, Erzwungener Blitzmodus
Kamera-Hersteller:
OLYMPUS IMAGING CORP.
Kamera-Modell:
FE-120,X-700
Belichtungsmodus:
Kreativprogramm (optimiert auf größtmöglichen Schärfebereich)
Belichtungskorrektur:
0 EV
Belichtungsmessung:
Muster

Viel Erfolg bei der Nachsuche! So selten ist der gar nicht. Mittlerweile schon 3 mal gefuden.

Liebe Grüße Jule
Benutzeravatar
Dedimyk
Forums Gott
Beiträge: 2943
Registriert: Sa 26. Nov 2005, 13:47
Wohnort: Gifhorn - Südostniedersachsen

Re: Peronospora polygoni-convolvuli an Windenknöterich

Ungelesener Beitrag von Dedimyk »

Hallo Julia und alle Phytoparasitenfreunde,
Julia hat geschrieben:Hallo ihr lieben,
Diesen Falschen Mehltaupilz habe ich am 04.06.2012 in D, Thüringen, Lkr. Schmalkalden-Meiningen, nw Sondheim, Acker mit artenreicher Segetalflur; MTB: 5528/3, Höhe NN: 360m auf den Blättern von dem Acker-Flügelknöterich (Fallopia convolvulus) gefunden.
Es handelt sich hierbei um Peronospora polygoni-convolvuli A. Gustavsson
Befallsbild: Blattoberseits eine gelbliche flächige Verfärbung der Blätter. Blattunterseits ein grauer Rasen. Konidien: ellipsoid, 29,7µm x 19µm und grau/braun.
Viel Erfolg bei der Nachsuche! So selten ist der gar nicht. Mittlerweile schon 3 mal gefuden.
Liebe Grüße Jule
Sehr schöner Fund des meiner Ansicht nach doch seltenen Falschen Mehltaupilzes Peronospora polygoni-convolvuli A. Gustavsson 1959 auf Fallopia convolvulus, dem Acker-Flügelknöterich, wenn Du auch schreibst, daß Du ihn schon 3 mal gefunden hast.
Ich suche ihn schon seit einigen Jahren, bisher vergebens.

Die Bestimmung ist insoweit recht einfach, da es nur diese 1 Art auf dem Wirt gibt.
Mit Peronospora polygoni-convolvuli A. Gustavsson 1959 wird wieder eine neue Art bildlich in unsere Datenbank fungiworld.com belegt.

Für Deine Österreich -Exkursion im Studium wünsche ich Dir viel Erfolg und vielleicht gelingt doch der eine oder andere Fund von Phytoparasiten, wie ich Dich kenne, gelle. :lol:

Vielen Dank für die wieder anschauliche Präsentation.

Herzliche Grüße Detlef

Literaturhinweise:
-Brandenburger, Wolfgang: Parasitische Pilze an Gefäßpflanzen in Europa
Verlag: Gustav Fischer Verlag-Stuttgart-New York Erscheinungsdatum: 1985, 1248 Seiten
ISBN: 3-437-30433-X

-Klenke, Friedemann: Berichte der Arbeitsgemeinschaft sächsicher Botaniker. Sammel- und Bestimmungshilfen für phytoparasitische Kleinpilze Sachsens
Verlag: Berichte der Arbeitsgemeinschaft sächsischer Botaniker Neue Folge Band 16 - Sonderheft Institut für Botanik der Tech. Universität Dresden 1998
ISSN: 1434-1662

-Brandenburger & Hagedorn ( BBA Band 405)

-Ellis, Martin,B. und Ellis, J.Pamela:Microfungi on Landplants, 888Seiten
The Richmond Publishing Co. Ltd.P.O.Box 963, Slough SL2 3RS England
ISBN: 085546 245 0 Paperback
ISBN: 085546 246 9 Hardback
Detlef, der Freund der Phytoparasiten
Antworten