Peronospora conferta an Gewöhnlichem Hornkraut

Spezialforum zum Thema phytoparasitische Kleinpilze ( Rost, Brand, Mehltaupilze etc. ) und tierische Gallen an Wild.- und Nutzpflanzen. Forumsstart - 15.07.2006
Benutzeravatar
Julia
Forums Gott
Beiträge: 2342
Registriert: Mo 7. Aug 2006, 19:23
Kamera: Olympus FE 120 +Panasonic LX 7
Wohnort: Barkelsby, Frankfurt a. Main
Kontaktdaten:

Peronospora conferta an Gewöhnlichem Hornkraut

Ungelesener Beitrag von Julia »

Hallo,

für heute morgen habe ich mal wieder einen Falschen Mehltaupilz (die immer mehr in mein Interesse rücken) aus meinem Fundus gekramt.

Gefunden am 02.06.2012 in D, Thüringen, Lkr. Sonneberg, Neuhaus am Rennsteig, B 281, nahe Gaststätte Rennsteigbaude, montaner Fichtenwald, Wegrand; MTB: 5432/4/3, Höhe NN: 830m auf den Blättern von dem Gewöhnlichen Hornkraut (Cerastium holosteoides).

Es handelt sich hierbei um Peronospora conferta (Unger) Unger

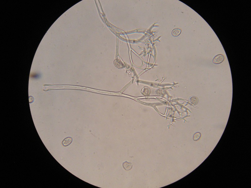
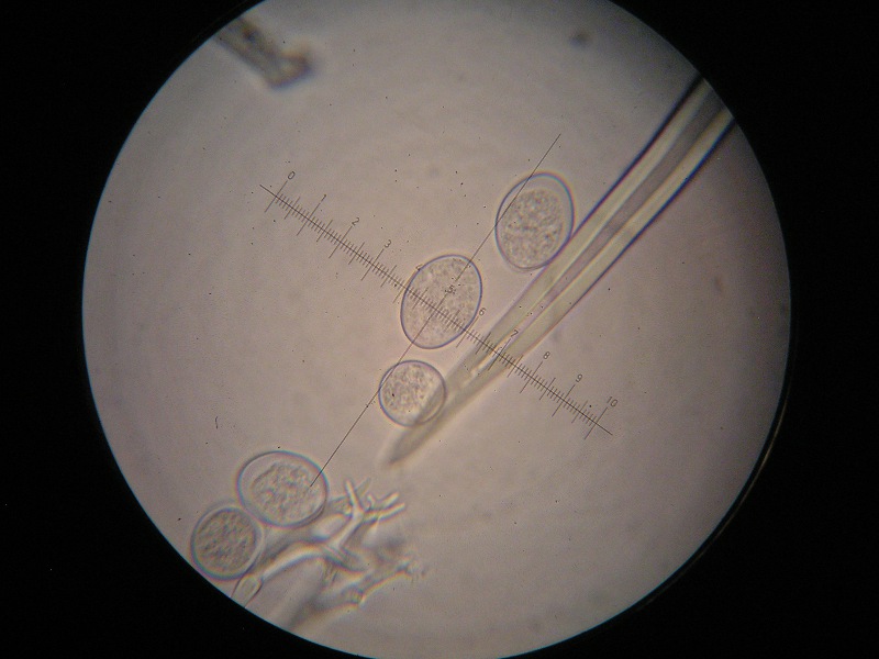
Befallsbild: Hier komplette Triebe gelblich verfärbt, etwas gestreckt. Unterseits der Blätter ein gelbgrauer Rasen zu sehen. Konidien: 25µm x 18µm.
Rennhaus (9).JPG
Rennhaus (9).JPG (136.6 KiB) 1421 mal betrachtet
Originalwert Bild aufgenommen am/um:
2012:06:02 15:50:35
Bild aufgenommen am/um:
Sa 2. Jun 2012, 13:50
Brennweite:
6.3 mm
Belichtungszeit:
1/80 Sek
Blendenwert:
f/2.8
ISO:
80
Weißabgleich:
Automatisch
Blitz:
Blitz nicht ausgelöst, Erzwungener Blitzmodus
Kamera-Hersteller:
OLYMPUS IMAGING CORP.
Kamera-Modell:
FE-120,X-700
Belichtungsmodus:
Kreativprogramm (optimiert auf größtmöglichen Schärfebereich)
Belichtungskorrektur:
0 EV
Belichtungsmessung:
Muster
Rennhaus (11).JPG
Rennhaus (11).JPG (94.89 KiB) 1421 mal betrachtet
Originalwert Bild aufgenommen am/um:
2012:06:02 15:52:15
Bild aufgenommen am/um:
Sa 2. Jun 2012, 13:52
Brennweite:
6.3 mm
Belichtungszeit:
1/100 Sek
Blendenwert:
f/2.8
ISO:
80
Weißabgleich:
Automatisch
Blitz:
Blitz nicht ausgelöst, Erzwungener Blitzmodus
Kamera-Hersteller:
OLYMPUS IMAGING CORP.
Kamera-Modell:
FE-120,X-700
Belichtungsmodus:
Kreativprogramm (optimiert auf größtmöglichen Schärfebereich)
Belichtungskorrektur:
0 EV
Belichtungsmessung:
Muster
Rennhaus (12).JPG
Rennhaus (12).JPG (144.55 KiB) 1422 mal betrachtet
Originalwert Bild aufgenommen am/um:
2012:06:02 15:52:19
Bild aufgenommen am/um:
Sa 2. Jun 2012, 13:52
Brennweite:
6.3 mm
Belichtungszeit:
1/125 Sek
Blendenwert:
f/2.8
ISO:
80
Weißabgleich:
Automatisch
Blitz:
Blitz nicht ausgelöst, Erzwungener Blitzmodus
Kamera-Hersteller:
OLYMPUS IMAGING CORP.
Kamera-Modell:
FE-120,X-700
Belichtungsmodus:
Kreativprogramm (optimiert auf größtmöglichen Schärfebereich)
Belichtungskorrektur:
0 EV
Belichtungsmessung:
Muster
400er Rennhaus (1).JPG
400er Rennhaus (1).JPG (73.22 KiB) 1418 mal betrachtet
Originalwert Bild aufgenommen am/um:
2011:06:03 17:20:37
Bild aufgenommen am/um:
Fr 3. Jun 2011, 15:20
Brennweite:
6.3 mm
Belichtungszeit:
1/10 Sek
Blendenwert:
f/2.8
ISO:
320
Weißabgleich:
Automatisch
Blitz:
Blitz nicht ausgelöst, Erzwungener Blitzmodus
Kamera-Hersteller:
OLYMPUS IMAGING CORP.
Kamera-Modell:
FE-120,X-700
Belichtungsmodus:
Kreativprogramm (optimiert auf größtmöglichen Schärfebereich)
Belichtungskorrektur:
0 EV
Belichtungsmessung:
Muster
1000er Rennhaus (15).JPG
1000er Rennhaus (15).JPG (100.76 KiB) 1419 mal betrachtet
Originalwert Bild aufgenommen am/um:
2011:06:03 17:26:11
Bild aufgenommen am/um:
Fr 3. Jun 2011, 15:26
Brennweite:
6.3 mm
Belichtungszeit:
1/6 Sek
Blendenwert:
f/2.8
ISO:
320
Weißabgleich:
Automatisch
Blitz:
Blitz nicht ausgelöst, Erzwungener Blitzmodus
Kamera-Hersteller:
OLYMPUS IMAGING CORP.
Kamera-Modell:
FE-120,X-700
Belichtungsmodus:
Kreativprogramm (optimiert auf größtmöglichen Schärfebereich)
Belichtungskorrektur:
0 EV
Belichtungsmessung:
Muster
1000er Rennhaus (18).JPG
1000er Rennhaus (18).JPG (81.01 KiB) 1422 mal betrachtet
Originalwert Bild aufgenommen am/um:
2011:06:03 17:27:16
Bild aufgenommen am/um:
Fr 3. Jun 2011, 15:27
Brennweite:
6.3 mm
Belichtungszeit:
1/6 Sek
Blendenwert:
f/2.8
ISO:
320
Weißabgleich:
Automatisch
Blitz:
Blitz nicht ausgelöst, Erzwungener Blitzmodus
Kamera-Hersteller:
OLYMPUS IMAGING CORP.
Kamera-Modell:
FE-120,X-700
Belichtungsmodus:
Kreativprogramm (optimiert auf größtmöglichen Schärfebereich)
Belichtungskorrektur:
0 EV
Belichtungsmessung:
Muster
Viel Erfolg bei der Nachsuche!

Liebe Grüße Jule
Benutzeravatar
Dedimyk
Forums Gott
Beiträge: 2943
Registriert: Sa 26. Nov 2005, 13:47
Wohnort: Gifhorn - Südostniedersachsen

Re: Peronospora conferta an Gewöhnlichem Hornkraut

Ungelesener Beitrag von Dedimyk »

Hallo Julia und alle Phytoparasitenfreunde,
Julia hat geschrieben:Hallo,
für heute morgen habe ich mal wieder einen Falschen Mehltaupilz (die immer mehr in mein Interesse rücken) aus meinem Fundus gekramt.
Gefunden am 02.06.2012 in D, Thüringen, Lkr. Sonneberg, Neuhaus am Rennsteig, B 281, nahe Gaststätte Rennsteigbaude, montaner Fichtenwald, Wegrand; MTB: 5432/4/3, Höhe NN: 830m auf den Blättern von dem Gewöhnlichen Hornkraut (Cerastium holosteoides).
Es handelt sich hierbei um Peronospora conferta (Unger) Unger
Befallsbild: Hier komplette Triebe gelblich verfärbt, etwas gestreckt. Unterseits der Blätter ein gelbgrauer Rasen zu sehen. Konidien: 25µm x 18µm.
Viel Erfolg bei der Nachsuche!
Liebe Grüße Jule
Wieder mal ein neuer "Falscher Mehltaupilz" für unsere Datenbank fungiworld.com mit Peronospora conferta ( Unger ) Unger 1847 auf Cerastium holosteoides, dem Gewöhnlichen Hornkraut.

Auf den Hornkräutern Cerastium werden zwar insgesamt 5 verschiedene überwiegend seltene "Falsche Mehltaupilze" gefunden, doch die sind wirtsspezifisch so hochspezialisiert, daß man mit dem Durchschlüsseln nach Klenke bereits bei der zutreffenden Art landet und die Befalls,- und Mikrobilder bestätigen dann die Bestimmung.

Vielen Dank für die wieder ausgezeichnete Präsentation dieses neuen "Falschen Mehltaupilzes, dessen Bilder ich natürlich umgehend in die Datenbank fungiworld.com übernehmen werde. :tup:

Herzliche Grüße Detlef

Literaturhinweise:
-Brandenburger, Wolfgang: Parasitische Pilze an Gefäßpflanzen in Europa
Verlag: Gustav Fischer Verlag-Stuttgart-New York Erscheinungsdatum: 1985, 1248 Seiten
ISBN: 3-437-30433-X

-Klenke, Friedemann: Berichte der Arbeitsgemeinschaft sächsicher Botaniker. Sammel- und Bestimmungshilfen für phytoparasitische Kleinpilze Sachsens
Verlag: Berichte der Arbeitsgemeinschaft sächsischer Botaniker Neue Folge Band 16 - Sonderheft Institut für Botanik der Tech. Universität Dresden 1998
ISSN: 1434-1662

-Brandenburger & Hagedorn ( BBA Band 405)

-Ellis, Martin,B. und Ellis, J.Pamela:Microfungi on Landplants, 888Seiten
The Richmond Publishing Co. Ltd.P.O.Box 963, Slough SL2 3RS England
ISBN: 085546 245 0 Paperback
ISBN: 085546 246 9 Hardback
Detlef, der Freund der Phytoparasiten
Antworten