Protomyces pachydermus an Löwenzahn

Spezialforum zum Thema phytoparasitische Kleinpilze ( Rost, Brand, Mehltaupilze etc. ) und tierische Gallen an Wild.- und Nutzpflanzen. Forumsstart - 15.07.2006
Benutzeravatar
Julia
Forums Gott
Beiträge: 2342
Registriert: Mo 7. Aug 2006, 19:23
Kamera: Olympus FE 120 +Panasonic LX 7
Wohnort: Barkelsby, Frankfurt a. Main
Kontaktdaten:

Protomyces pachydermus an Löwenzahn

Ungelesener Beitrag von Julia »

Hallo und guten morgen ihr Lieben,

für heute morgen habe ich endlich mal wieder einen Vertreter der Protomycetales mitgebracht.

Gefunden am 21.08.2012 in D, Bayern, Oberpfalz, NP Bayerischer Wald, Lkr. Freyung-Grafenau, Sankt Oswald, Klosterallee, Weg zum Badeweiher; MTB: 7146/2, Höhe NN: 785m auf den Blättern vom Löwenzahn (Taraxacum sect. Ruderalia).

Es handelt sich hierbei um Protomyces pachydermus Thüm. s.str., welcher zerstreut gefunden werden kann.

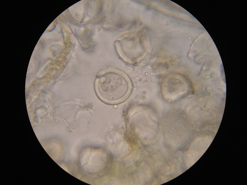
Befallsbild: Am Stiel und an den Mittelnerven von Blättern befinden sich glasige bis grünliche, längliche bis rundliche Anschwellungen. Ascogene Zellen hyalin bis hellgelb, 32-35µm x 30-32µm.
SanktOswald (1).JPG
SanktOswald (1).JPG (171.59 KiB) 1828 mal betrachtet
Originalwert Bild aufgenommen am/um:
2012:08:21 16:20:27
Bild aufgenommen am/um:
Di 21. Aug 2012, 14:20
Brennweite:
6.3 mm
Belichtungszeit:
1/160 Sek
Blendenwert:
f/2.8
ISO:
80
Weißabgleich:
Automatisch
Blitz:
Blitz nicht ausgelöst, Erzwungener Blitzmodus
Kamera-Hersteller:
OLYMPUS IMAGING CORP.
Kamera-Modell:
FE-120,X-700
Belichtungsmodus:
Kreativprogramm (optimiert auf größtmöglichen Schärfebereich)
Belichtungskorrektur:
0 EV
Belichtungsmessung:
Muster
SanktOswald (3).JPG
SanktOswald (3).JPG (104.1 KiB) 1823 mal betrachtet
Originalwert Bild aufgenommen am/um:
2012:08:21 16:20:39
Bild aufgenommen am/um:
Di 21. Aug 2012, 14:20
Brennweite:
6.3 mm
Belichtungszeit:
1/320 Sek
Blendenwert:
f/2.8
ISO:
80
Weißabgleich:
Automatisch
Blitz:
Blitz nicht ausgelöst, Erzwungener Blitzmodus
Kamera-Hersteller:
OLYMPUS IMAGING CORP.
Kamera-Modell:
FE-120,X-700
Belichtungsmodus:
Kreativprogramm (optimiert auf größtmöglichen Schärfebereich)
Belichtungskorrektur:
0 EV
Belichtungsmessung:
Muster
SanktOswald (8).JPG
SanktOswald (8).JPG (95.41 KiB) 1826 mal betrachtet
Originalwert Bild aufgenommen am/um:
2012:08:21 16:21:20
Bild aufgenommen am/um:
Di 21. Aug 2012, 14:21
Brennweite:
6.3 mm
Belichtungszeit:
1/320 Sek
Blendenwert:
f/2.8
ISO:
80
Weißabgleich:
Automatisch
Blitz:
Blitz nicht ausgelöst, Erzwungener Blitzmodus
Kamera-Hersteller:
OLYMPUS IMAGING CORP.
Kamera-Modell:
FE-120,X-700
Belichtungsmodus:
Kreativprogramm (optimiert auf größtmöglichen Schärfebereich)
Belichtungskorrektur:
0 EV
Belichtungsmessung:
Muster
1000er SanktOsw (1).JPG
1000er SanktOsw (1).JPG (84.45 KiB) 1827 mal betrachtet
Originalwert Bild aufgenommen am/um:
0000:00:00 00:00:00
Bild aufgenommen am/um:
Mo 29. Nov 1999, 23:00
Brennweite:
6.3 mm
Belichtungszeit:
1/8 Sek
Blendenwert:
f/2.8
ISO:
320
Weißabgleich:
Automatisch
Blitz:
Blitz nicht ausgelöst, Erzwungener Blitzmodus
Kamera-Hersteller:
OLYMPUS IMAGING CORP.
Kamera-Modell:
FE-120,X-700
Belichtungsmodus:
Kreativprogramm (optimiert auf größtmöglichen Schärfebereich)
Belichtungskorrektur:
0 EV
Belichtungsmessung:
Muster
1000er SanktOsw (8).JPG
1000er SanktOsw (8).JPG (89.34 KiB) 1822 mal betrachtet
Originalwert Bild aufgenommen am/um:
0000:00:00 00:00:00
Bild aufgenommen am/um:
Mo 29. Nov 1999, 23:00
Brennweite:
6.3 mm
Belichtungszeit:
1/8 Sek
Blendenwert:
f/2.8
ISO:
320
Weißabgleich:
Automatisch
Blitz:
Blitz nicht ausgelöst, Erzwungener Blitzmodus
Kamera-Hersteller:
OLYMPUS IMAGING CORP.
Kamera-Modell:
FE-120,X-700
Belichtungsmodus:
Kreativprogramm (optimiert auf größtmöglichen Schärfebereich)
Belichtungskorrektur:
0 EV
Belichtungsmessung:
Muster
1000er SanktOsw (13).JPG
1000er SanktOsw (13).JPG (89.56 KiB) 1823 mal betrachtet
Originalwert Bild aufgenommen am/um:
0000:00:00 00:00:00
Bild aufgenommen am/um:
Mo 29. Nov 1999, 23:00
Brennweite:
9.9 mm
Belichtungszeit:
1/4 Sek
Blendenwert:
f/3.4
ISO:
320
Weißabgleich:
Automatisch
Blitz:
Blitz nicht ausgelöst, Erzwungener Blitzmodus
Kamera-Hersteller:
OLYMPUS IMAGING CORP.
Kamera-Modell:
FE-120,X-700
Belichtungsmodus:
Kreativprogramm (optimiert auf größtmöglichen Schärfebereich)
Belichtungskorrektur:
0 EV
Belichtungsmessung:
Muster

Viel Erfolg bei der Nachsuche im nächsten Jahr!

Liebe Grüße Jule
Benutzeravatar
Dedimyk
Forums Gott
Beiträge: 2943
Registriert: Sa 26. Nov 2005, 13:47
Wohnort: Gifhorn - Südostniedersachsen

Re: Protomyces pachydermus an Löwenzahn

Ungelesener Beitrag von Dedimyk »

Hallo julia und alle Phytoparasitenfreunde,
Julia hat geschrieben:Hallo und guten morgen ihr Lieben,
für heute morgen habe ich endlich mal wieder einen Vertreter der Protomycetales mitgebracht.
Gefunden am 21.08.2012 in D, Bayern, Oberpfalz, NP Bayerischer Wald, Lkr. Freyung-Grafenau, Sankt Oswald, Klosterallee, Weg zum Badeweiher; MTB: 7146/2, Höhe NN: 785m auf den Blättern vom Löwenzahn (Taraxacum sect. Ruderalia).
Es handelt sich hierbei um Protomyces pachydermus Thüm. s.str., welcher zerstreut gefunden werden kann.
Befallsbild: Am Stiel und an den Mittelnerven von Blättern befinden sich glasige bis grünliche, längliche bis rundliche Anschwellungen. Ascogene Zellen hyalin bis hellgelb, 32-35µm x 30-32µm.
Viel Erfolg bei der Nachsuche im nächsten Jahr!
Liebe Grüße Jule
Welche Freude, endlich wieder einmal einen Vertreter der Taphrinales ( Wucherlinge, Narrentaschen etc. ), denn die Familie Protomycetaceae Gray 1821, deren Art Protomyces pachydermus Thümen 1874 auf Taraxacum sect. Ruderalia, dem Löwenzahn Du uns heute vorstellst :wo: :freu gehört ja in diesen Komplex:

Position in classification:
Protomycetaceae, Taphrinales, Taphrinomycetidae, Taphrinomycetes, Taphrinomycotina, Ascomycota, Fungi

In die Familie Protomycetaceae Gray 1821 gehören die folgenden Gattungen:

Buerenia M.S. Reddy & C.L. Kramer 1975 mit 2 Arten
Protomyces Fries 1815 mit 10 Arten
Protomycopsis Magnus 1905 mit 8 Arten
Taphridium Lagerheim & Juel 1902 mit 1 Art
Volkartia Maire 1909 mit 1 Art


Protomyces pachydermus Thümen 1874 wird auf diversen Wirten wie Taraxacum, Cirsium, Crepis, Hypochoeris etc. gefunden.

In die Datenbank fungiworld.com habe ich 10 Arten der Gattung Protomyces Fries 1815 eingestellt, gemäß unserer Prämissen Europa bis an die Grenzen Asiens und Afrika sowie überseeische Wirte,die bei uns vorkommen und wo mit einem Phytoparsitenbefall gerechnet werden kann.
Der Fund von Protomyces pachydermus Thümen 1874 bedeutet nach Protomyces buerenianus Buhr 1949 auf Galinsoga parviflora ( Kleines Knopfkraut ) und Protomyces macrosporus Unger 1833 auf Aegopodium podagraria - Stängel ( Giersch ) bereits den 3. bildlichen Nachweis dieser Gattung, alles natürlich von unsrerer "Phytoparasitenkönigin" Julia, genauso wie Volkartia rhaetica (Volkart 1903) Maire 1909 auf Crepis mollis ( Weicher Pippau ), der einzigen Art dieser Gattung. :freu :wo:

Vielen Dank für die wieder perfekte Präsentation dieses interessanten nicht alltäglichen Phytoparasiten.

Herzliche Grüße Detlef


Literaturhinweise:
-Brandenburger, Wolfgang: Parasitische Pilze an Gefäßpflanzen in Europa
Verlag: Gustav Fischer Verlag-Stuttgart-New York Erscheinungsdatum: 1985, 1248 Seiten
ISBN: 3-437-30433-X

-Ellis, Martin,B. und Ellis, J.Pamela:Microfungi on Landplants, 888Seiten
The Richmond Publishing Co. Ltd.P.O.Box 963, Slough SL2 3RS England
ISBN: 085546 245 0 Paperback
ISBN: 085546 246 9 Hardback
Detlef, der Freund der Phytoparasiten
Antworten