Mischinfektion an Topinambur

Spezialforum zum Thema phytoparasitische Kleinpilze ( Rost, Brand, Mehltaupilze etc. ) und tierische Gallen an Wild.- und Nutzpflanzen. Forumsstart - 15.07.2006
Karl W
Neuling
Beiträge: 14
Registriert: Mi 4. Mai 2016, 21:56
Kamera: Olympus E 330 mit Makro

Mischinfektion an Topinambur

Ungelesener Beitrag von Karl W »

Liebe Phytofreunde,

Seit längerer Zeit schau ich befallene Pflanzen in der Nachbarschaft an und heute waren endlich ein paar gelbe und dunkle Pünktchen auf einem Blatt. Zunächst war noch alles klar. Konidien in Ketten keine Fibrosinkörper wiesen auf Schlüsselziffer 4 bei Klenke & Scholler.
Phyto an Tobinambur 1.jpg
Phyto an Tobinambur 1.jpg (59.61 KiB) 2842 mal betrachtet
Phyto an Tobinambur 2.jpg
Phyto an Tobinambur 2.jpg (75.82 KiB) 2842 mal betrachtet
Phyto an Tobinambur 3.jpg
Phyto an Tobinambur 3.jpg (81.35 KiB) 2842 mal betrachtet
Phyto an Tobinambur 4.jpg
Phyto an Tobinambur 4.jpg (80.39 KiB) 2842 mal betrachtet
Phyto an Tobinambur 5.jpg
Phyto an Tobinambur 5.jpg (68.26 KiB) 2842 mal betrachtet
Konidien in Ketten keine Fibrosinkörper wiesen auf Schlüsselziffer 4 bei Klenke & Scholler.
4 Konidien in meist langen Ketten, 25–45 × 15–27 μm. Fruchtkörper gut entwickelt. – Verbreitet...
4* Konidien in meist kurzen Ketten, 25–40 × 15–23 μm. Fruchtkörper selten gut entwickelt. – Selten...

Was lang und was kurz ist entzieht sich dem unerfahrenen Bestimmer oder ist hier gar nur die Fußzelle gemeint? Die Breite der Konidien teilweise über 24 mµ, vorhandene Fruchtkörper und die allgemein häufige Verbreitung sprachen für Golovinomyces ambrosiae, aber sicher bestimmt ist anders.

Zunächst also mal ran an die Fruchtkörper
Phyto an Tobinambur 6.jpg
Phyto an Tobinambur 6.jpg (37.48 KiB) 2842 mal betrachtet
Phyto an Tobinambur 7.jpg
Phyto an Tobinambur 7.jpg (65.79 KiB) 2842 mal betrachtet
Phyto an Tobinambur 8.jpg
Phyto an Tobinambur 8.jpg (74.63 KiB) 2842 mal betrachtet
Phyto an Tobinambur 9.jpg
Phyto an Tobinambur 9.jpg (47.6 KiB) 2842 mal betrachtet
Die Anhängsel waren schlecht zu beurteilen aber an einer anderen Stelle des Blattes sah ich unter der Stereolupe ein Grüppchen schwarzer Punkte die reifer zu sein schienen.
Phyto an Tobinambur b2.jpg
Phyto an Tobinambur b2.jpg (45.35 KiB) 2842 mal betrachtet
Wunderschön ausgebildete Anhängsel und als immer noch Anfänger kommt man ja nicht auf die Idee, dass das nicht mehr zu Golovinomyces passt.
Phyto an Tobinambur b5.jpg
Phyto an Tobinambur b5.jpg (51.93 KiB) 2842 mal betrachtet
Damit sollte doch eine endgültige Klärung leicht sein, bist zum leichten Druck auf das Deckglas :o
Phyto an Tobinambur b3.jpg
Phyto an Tobinambur b3.jpg (53.98 KiB) 2842 mal betrachtet
Phyto an Tobinambur b4.jpg
Phyto an Tobinambur b4.jpg (56.4 KiB) 2842 mal betrachtet

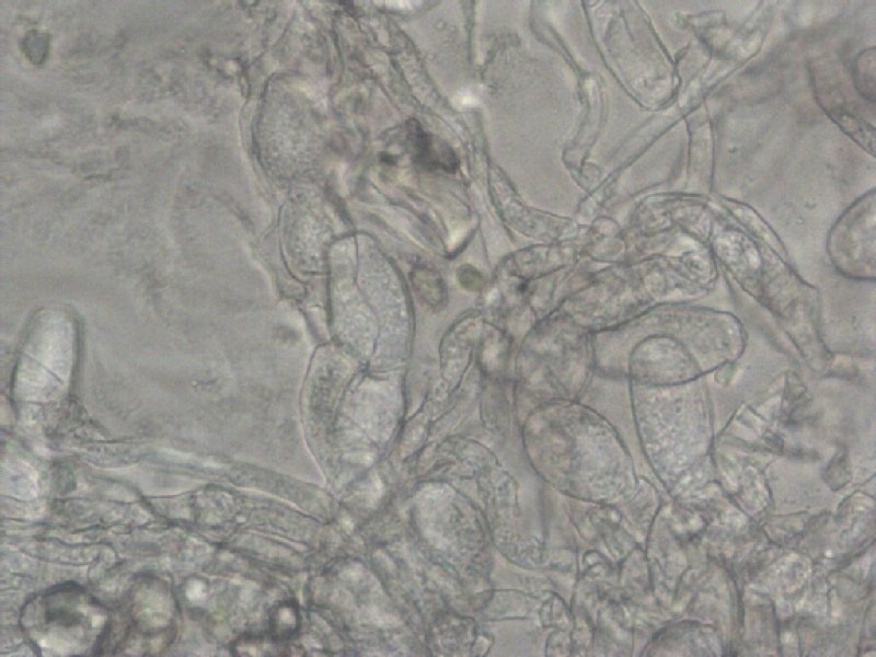
Nur ein Ascus mit ca. 8 Sporen, da war doch noch was
3 (1) Myzel jung farblos, reif braun. Konidien frisch mit Fibrosinkörpern

Braune Spuren im Myzel konnte ich nicht wirklich ausmachen und habe mal etwas von der Stelle entnommen, an der die dunkleren Fruchtkörper saßen.
Phyto an Tobinambur b6.jpg
Phyto an Tobinambur b6.jpg (78.47 KiB) 2842 mal betrachtet
Phyto an Tobinambur b7.jpg
Phyto an Tobinambur b7.jpg (67.74 KiB) 2842 mal betrachtet
sieht sicherlich anders aus als oben in den Bildern aber Fibrosinkörper kenne ich anders.

Jetzt sind die Experten gefragt, ob ich Podosphaera xanthii gefunden habe

LG Karl
Benutzeravatar
Julia
Forums Gott
Beiträge: 2342
Registriert: Mo 7. Aug 2006, 19:23
Kamera: Olympus FE 120 +Panasonic LX 7
Wohnort: Barkelsby, Frankfurt a. Main
Kontaktdaten:

Re: Mischinfektion an Topinambur

Ungelesener Beitrag von Julia »

Lieber Karl,

also, so ohne Makrofotos vom Befall ist es für mich erstmal schwer nachzuvollziehen was hier los ist. Also, wenn das Blatt wirklich Topinambur ist, wovon ich jetzt erstmal ausgehe, dann zeigen die ersten Fotos mit den zahlreichen Asci eindeutig eine Golovinomyces Art, das ist ja das Gattungsspezifische Merkmal dass die zahlreiche Asci haben. Die Konidien in kurzen Ketten bedeutet 1-2 Glieder (nach der Fußzelle). Auf dem einen Foto sehe ich auf jedenfall schonmal 4.
Also hätte ich keine Bauchschmerzen mit Golovinomyces ambrosiae.

Komplizierter ist der zweite Fall. Also, das ist sicherlich nicht Podosphaera xanthii, die hat keine dichotom verzweigten Anhängsel. Und da fängt jetzt das Problem an. Ich kann mir darauf keinen Reim machen, nur dass etwas verweht wurde? Du meinstes ja dass es bei den Nachbarn sei und Du nicht mal eben was Neues besorgen kannst. Es würde mich natürlich sehr interessieren was das nun genau ist...

Liebe Grüße,
Jule
Karl W
Neuling
Beiträge: 14
Registriert: Mi 4. Mai 2016, 21:56
Kamera: Olympus E 330 mit Makro

Re: Mischinfektion an Topinambur

Ungelesener Beitrag von Karl W »

Liebe Jule,

danke für Deine Antwort. Die Erklärung mit den Ketten ist sehr hilfreich auch für zukünftige Bestimmungen und G. ambrosiae ist klar. Das Myzel auf dem Blatt sah absolut einheitlich aus und nur die Gruppe von Frk. fiel durch etwas geringere Größe und dunklere Farbe auf. Das die Fruchtkörper angeweht sind kann ich mir nicht vorstellen, da sie fest im Myzel verankert waren und auch noch einige Frk. einzeln eingesenkt im Myzel vorhanden waren, wie der Einzelfruchtkörper mit einem Ascus im Bild oben. Topinambur ist sicher, da Du mir bei Deinem Besuch den Wirt an dieser Stelle genannt hattest :)
Ich werde die Pflanzen und den Befall im Auge behalten.

LG Karl
Antworten