Bad Münster 13.06.2020 Teil 1

Spezialforum zum Thema phytoparasitische Kleinpilze ( Rost, Brand, Mehltaupilze etc. ) und tierische Gallen an Wild.- und Nutzpflanzen. Forumsstart - 15.07.2006
bjoerns
alter Hase
Beiträge: 532
Registriert: Mo 3. Sep 2018, 21:21
Kamera: Canon EOS 600D
Canon EF-S 60mm f/2.8 Macro USM
Motic Panthera C
Kontaktdaten:

Bad Münster 13.06.2020 Teil 1

Ungelesener Beitrag von bjoerns »

Hallo zusammen,

und weiter geht es mit den Berichten aus Bad Münster. Am Samstag machte sich unsere Truppe vormittags gemeinsam auf zum Rotenfels bevor es dann am Nachmittag zur Burgruine Rheingrafenstein auf der anderen Seite der Nahe ging. Hier im ersten Teil soll es um die Vormittagsexkursion gehen.

1. Puccinia obscura ex Luzula forsteri
Bad Münster-0001.jpg
Bad Münster-0001.jpg (139.08 KiB) 3270 mal betrachtet
Originalwert Bild aufgenommen am/um:
2020:06:13 09:46:32
Bild aufgenommen am/um:
Sa 13. Jun 2020, 07:46
Brennweite:
60 mm
Belichtungszeit:
1/80 Sek
Blendenwert:
f/8
ISO:
3200
Weißabgleich:
Manuell
Blitz:
Blitz nicht ausgelöst, Erzwungener Blitzmodus
Kamera-Hersteller:
Canon
Kamera-Modell:
Canon EOS 600D
Belichtungsmodus:
Blendenvorwahl
Belichtungskorrektur:
1/1 EV
Belichtungsmessung:
Muster
Koordinaten:
N 49 49.18382 0/ E 7 50.036995 0
Bad Münster-0004.jpg
Bad Münster-0004.jpg (130.85 KiB) 3270 mal betrachtet
Originalwert Bild aufgenommen am/um:
2020:06:13 10:01:44
Bild aufgenommen am/um:
Sa 13. Jun 2020, 08:01
Brennweite:
60 mm
Belichtungszeit:
1/100 Sek
Blendenwert:
f/8
ISO:
3200
Weißabgleich:
Manuell
Blitz:
Blitz nicht ausgelöst, Erzwungener Blitzmodus
Kamera-Hersteller:
Canon
Kamera-Modell:
Canon EOS 600D
Belichtungsmodus:
Blendenvorwahl
Belichtungskorrektur:
-1/3 EV
Belichtungsmessung:
Muster
Koordinaten:
N 49 49.171983 0/ E 7 50.021867 0
Bad Münster-0005.jpg
Bad Münster-0005.jpg (195.7 KiB) 3270 mal betrachtet
Originalwert Bild aufgenommen am/um:
2020:06:13 10:01:51
Bild aufgenommen am/um:
Sa 13. Jun 2020, 08:01
Brennweite:
60 mm
Belichtungszeit:
1/100 Sek
Blendenwert:
f/8
ISO:
1600
Weißabgleich:
Manuell
Blitz:
Blitz nicht ausgelöst, Erzwungener Blitzmodus
Kamera-Hersteller:
Canon
Kamera-Modell:
Canon EOS 600D
Belichtungsmodus:
Blendenvorwahl
Belichtungskorrektur:
-1/3 EV
Belichtungsmessung:
Muster
Koordinaten:
N 49 49.171983 0/ E 7 50.021867 0
Bad Münster-0162.jpg
Bad Münster-0162.jpg (225.73 KiB) 3270 mal betrachtet
Originalwert Bild aufgenommen am/um:
2020:06:15 18:31:37
Bild aufgenommen am/um:
Mo 15. Jun 2020, 16:31
Brennweite:
50 mm
Belichtungszeit:
1/640 Sek
Blendenwert:
f/0
ISO:
100
Weißabgleich:
Manuell
Blitz:
Blitz nicht ausgelöst, Erzwungener Blitzmodus
Kamera-Hersteller:
Canon
Kamera-Modell:
Canon EOS 600D
Belichtungsmodus:
Blendenvorwahl
Belichtungskorrektur:
1/1 EV
Belichtungsmessung:
Muster
Bad Münster-0163.jpg
Bad Münster-0163.jpg (180.11 KiB) 3270 mal betrachtet
Originalwert Bild aufgenommen am/um:
2020:06:15 18:31:42
Bild aufgenommen am/um:
Mo 15. Jun 2020, 16:31
Brennweite:
50 mm
Belichtungszeit:
1/640 Sek
Blendenwert:
f/0
ISO:
100
Weißabgleich:
Manuell
Blitz:
Blitz nicht ausgelöst, Erzwungener Blitzmodus
Kamera-Hersteller:
Canon
Kamera-Modell:
Canon EOS 600D
Belichtungsmodus:
Blendenvorwahl
Belichtungskorrektur:
1/1 EV
Belichtungsmessung:
Muster
Bad Münster-0164.jpg
Bad Münster-0164.jpg (154.79 KiB) 3270 mal betrachtet
Originalwert Bild aufgenommen am/um:
2020:06:15 18:31:52
Bild aufgenommen am/um:
Mo 15. Jun 2020, 16:31
Brennweite:
50 mm
Belichtungszeit:
1/640 Sek
Blendenwert:
f/0
ISO:
100
Weißabgleich:
Manuell
Blitz:
Blitz nicht ausgelöst, Erzwungener Blitzmodus
Kamera-Hersteller:
Canon
Kamera-Modell:
Canon EOS 600D
Belichtungsmodus:
Blendenvorwahl
Belichtungskorrektur:
1/1 EV
Belichtungsmessung:
Muster
Bad Münster-0165.jpg
Bad Münster-0165.jpg (197.38 KiB) 3270 mal betrachtet
Originalwert Bild aufgenommen am/um:
2020:06:15 18:31:56
Bild aufgenommen am/um:
Mo 15. Jun 2020, 16:31
Brennweite:
50 mm
Belichtungszeit:
1/640 Sek
Blendenwert:
f/0
ISO:
100
Weißabgleich:
Manuell
Blitz:
Blitz nicht ausgelöst, Erzwungener Blitzmodus
Kamera-Hersteller:
Canon
Kamera-Modell:
Canon EOS 600D
Belichtungsmodus:
Blendenvorwahl
Belichtungskorrektur:
1/1 EV
Belichtungsmessung:
Muster
Bad Münster-0166.jpg
Bad Münster-0166.jpg (201.8 KiB) 3270 mal betrachtet
Originalwert Bild aufgenommen am/um:
2020:06:15 18:33:14
Bild aufgenommen am/um:
Mo 15. Jun 2020, 16:33
Brennweite:
50 mm
Belichtungszeit:
1/500 Sek
Blendenwert:
f/0
ISO:
100
Weißabgleich:
Manuell
Blitz:
Blitz nicht ausgelöst, Erzwungener Blitzmodus
Kamera-Hersteller:
Canon
Kamera-Modell:
Canon EOS 600D
Belichtungsmodus:
Blendenvorwahl
Belichtungskorrektur:
1/1 EV
Belichtungsmessung:
Muster
Bad Münster-0167.jpg
Bad Münster-0167.jpg (178.23 KiB) 3270 mal betrachtet
Originalwert Bild aufgenommen am/um:
2020:06:15 18:33:52
Bild aufgenommen am/um:
Mo 15. Jun 2020, 16:33
Brennweite:
50 mm
Belichtungszeit:
1/200 Sek
Blendenwert:
f/0
ISO:
100
Weißabgleich:
Manuell
Blitz:
Blitz nicht ausgelöst, Erzwungener Blitzmodus
Kamera-Hersteller:
Canon
Kamera-Modell:
Canon EOS 600D
Belichtungsmodus:
Blendenvorwahl
Belichtungskorrektur:
1/1 EV
Belichtungsmessung:
Muster
Bad Münster-0168.jpg
Bad Münster-0168.jpg (191.36 KiB) 3270 mal betrachtet
Originalwert Bild aufgenommen am/um:
2020:06:15 18:34:02
Bild aufgenommen am/um:
Mo 15. Jun 2020, 16:34
Brennweite:
50 mm
Belichtungszeit:
1/250 Sek
Blendenwert:
f/0
ISO:
100
Weißabgleich:
Manuell
Blitz:
Blitz nicht ausgelöst, Erzwungener Blitzmodus
Kamera-Hersteller:
Canon
Kamera-Modell:
Canon EOS 600D
Belichtungsmodus:
Blendenvorwahl
Belichtungskorrektur:
1/1 EV
Belichtungsmessung:
Muster
Bad Münster-0169.jpg
Bad Münster-0169.jpg (188.74 KiB) 3270 mal betrachtet
Originalwert Bild aufgenommen am/um:
2020:06:15 18:34:10
Bild aufgenommen am/um:
Mo 15. Jun 2020, 16:34
Brennweite:
50 mm
Belichtungszeit:
1/250 Sek
Blendenwert:
f/0
ISO:
100
Weißabgleich:
Manuell
Blitz:
Blitz nicht ausgelöst, Erzwungener Blitzmodus
Kamera-Hersteller:
Canon
Kamera-Modell:
Canon EOS 600D
Belichtungsmodus:
Blendenvorwahl
Belichtungskorrektur:
1/1 EV
Belichtungsmessung:
Muster
Bad Münster-0170.jpg
Bad Münster-0170.jpg (196.15 KiB) 3270 mal betrachtet
Originalwert Bild aufgenommen am/um:
2020:06:15 18:34:25
Bild aufgenommen am/um:
Mo 15. Jun 2020, 16:34
Brennweite:
50 mm
Belichtungszeit:
1/200 Sek
Blendenwert:
f/0
ISO:
100
Weißabgleich:
Manuell
Blitz:
Blitz nicht ausgelöst, Erzwungener Blitzmodus
Kamera-Hersteller:
Canon
Kamera-Modell:
Canon EOS 600D
Belichtungsmodus:
Blendenvorwahl
Belichtungskorrektur:
1/1 EV
Belichtungsmessung:
Muster
Bad Münster-0171.jpg
Bad Münster-0171.jpg (173.99 KiB) 3270 mal betrachtet
Originalwert Bild aufgenommen am/um:
2020:06:15 18:34:32
Bild aufgenommen am/um:
Mo 15. Jun 2020, 16:34
Brennweite:
50 mm
Belichtungszeit:
1/200 Sek
Blendenwert:
f/0
ISO:
100
Weißabgleich:
Manuell
Blitz:
Blitz nicht ausgelöst, Erzwungener Blitzmodus
Kamera-Hersteller:
Canon
Kamera-Modell:
Canon EOS 600D
Belichtungsmodus:
Blendenvorwahl
Belichtungskorrektur:
1/1 EV
Belichtungsmessung:
Muster
Bad Münster-0172.jpg
Bad Münster-0172.jpg (199.6 KiB) 3270 mal betrachtet
Originalwert Bild aufgenommen am/um:
2020:06:15 18:34:48
Bild aufgenommen am/um:
Mo 15. Jun 2020, 16:34
Brennweite:
50 mm
Belichtungszeit:
1/250 Sek
Blendenwert:
f/0
ISO:
100
Weißabgleich:
Manuell
Blitz:
Blitz nicht ausgelöst, Erzwungener Blitzmodus
Kamera-Hersteller:
Canon
Kamera-Modell:
Canon EOS 600D
Belichtungsmodus:
Blendenvorwahl
Belichtungskorrektur:
1/1 EV
Belichtungsmessung:
Muster
Bad Münster-0173.jpg
Bad Münster-0173.jpg (165.54 KiB) 3270 mal betrachtet
Originalwert Bild aufgenommen am/um:
2020:06:15 18:34:53
Bild aufgenommen am/um:
Mo 15. Jun 2020, 16:34
Brennweite:
50 mm
Belichtungszeit:
1/250 Sek
Blendenwert:
f/0
ISO:
100
Weißabgleich:
Manuell
Blitz:
Blitz nicht ausgelöst, Erzwungener Blitzmodus
Kamera-Hersteller:
Canon
Kamera-Modell:
Canon EOS 600D
Belichtungsmodus:
Blendenvorwahl
Belichtungskorrektur:
1/1 EV
Belichtungsmessung:
Muster
Bad Münster-0174.jpg
Bad Münster-0174.jpg (161.44 KiB) 3270 mal betrachtet
Originalwert Bild aufgenommen am/um:
2020:06:15 18:35:01
Bild aufgenommen am/um:
Mo 15. Jun 2020, 16:35
Brennweite:
50 mm
Belichtungszeit:
1/250 Sek
Blendenwert:
f/0
ISO:
100
Weißabgleich:
Manuell
Blitz:
Blitz nicht ausgelöst, Erzwungener Blitzmodus
Kamera-Hersteller:
Canon
Kamera-Modell:
Canon EOS 600D
Belichtungsmodus:
Blendenvorwahl
Belichtungskorrektur:
1/1 EV
Belichtungsmessung:
Muster
Bad Münster-0175.jpg
Bad Münster-0175.jpg (203.2 KiB) 3270 mal betrachtet
Originalwert Bild aufgenommen am/um:
2020:06:15 18:35:09
Bild aufgenommen am/um:
Mo 15. Jun 2020, 16:35
Brennweite:
50 mm
Belichtungszeit:
1/250 Sek
Blendenwert:
f/0
ISO:
100
Weißabgleich:
Manuell
Blitz:
Blitz nicht ausgelöst, Erzwungener Blitzmodus
Kamera-Hersteller:
Canon
Kamera-Modell:
Canon EOS 600D
Belichtungsmodus:
Blendenvorwahl
Belichtungskorrektur:
1/1 EV
Belichtungsmessung:
Muster
2. Ustilago salweyii ex Holcus mollis
Bad Münster-0002.jpg
Bad Münster-0002.jpg (142.08 KiB) 3270 mal betrachtet
Originalwert Bild aufgenommen am/um:
2020:06:13 09:50:33
Bild aufgenommen am/um:
Sa 13. Jun 2020, 07:50
Brennweite:
60 mm
Belichtungszeit:
1/80 Sek
Blendenwert:
f/8
ISO:
2000
Weißabgleich:
Manuell
Blitz:
Blitz nicht ausgelöst, Erzwungener Blitzmodus
Kamera-Hersteller:
Canon
Kamera-Modell:
Canon EOS 600D
Belichtungsmodus:
Blendenvorwahl
Belichtungskorrektur:
1/1 EV
Belichtungsmessung:
Muster
Koordinaten:
N 49 49.176137 0/ E 7 50.030558 0
3. Epichloë typhina ex Dactylis glomerata
Bad Münster-0003.jpg
Bad Münster-0003.jpg (102.09 KiB) 3270 mal betrachtet
Originalwert Bild aufgenommen am/um:
2020:06:13 09:54:45
Bild aufgenommen am/um:
Sa 13. Jun 2020, 07:54
Brennweite:
60 mm
Belichtungszeit:
1/100 Sek
Blendenwert:
f/8
ISO:
800
Weißabgleich:
Manuell
Blitz:
Blitz nicht ausgelöst, Erzwungener Blitzmodus
Kamera-Hersteller:
Canon
Kamera-Modell:
Canon EOS 600D
Belichtungsmodus:
Blendenvorwahl
Belichtungskorrektur:
1/1 EV
Belichtungsmessung:
Muster
Koordinaten:
N 49 49.172606 0/ E 7 50.022833 0
4. Puccinia coaetanea ex Galium glaucum
Bad Münster-0008.jpg
Bad Münster-0008.jpg (104.37 KiB) 3270 mal betrachtet
Originalwert Bild aufgenommen am/um:
2020:06:13 10:18:08
Bild aufgenommen am/um:
Sa 13. Jun 2020, 08:18
Brennweite:
60 mm
Belichtungszeit:
1/80 Sek
Blendenwert:
f/8
ISO:
400
Weißabgleich:
Manuell
Blitz:
Blitz nicht ausgelöst, Erzwungener Blitzmodus
Kamera-Hersteller:
Canon
Kamera-Modell:
Canon EOS 600D
Belichtungsmodus:
Blendenvorwahl
Belichtungskorrektur:
-1/3 EV
Belichtungsmessung:
Muster
Koordinaten:
N 49 49.060396 0/ E 7 49.895161 0
Bad Münster-0009.jpg
Bad Münster-0009.jpg (100.74 KiB) 3270 mal betrachtet
Originalwert Bild aufgenommen am/um:
2020:06:13 10:18:47
Bild aufgenommen am/um:
Sa 13. Jun 2020, 08:18
Brennweite:
60 mm
Belichtungszeit:
1/100 Sek
Blendenwert:
f/8
ISO:
500
Weißabgleich:
Manuell
Blitz:
Blitz nicht ausgelöst, Erzwungener Blitzmodus
Kamera-Hersteller:
Canon
Kamera-Modell:
Canon EOS 600D
Belichtungsmodus:
Blendenvorwahl
Belichtungskorrektur:
-1/3 EV
Belichtungsmessung:
Muster
Koordinaten:
N 49 49.060396 0/ E 7 49.895161 0
Bad Münster-0194.jpg
Bad Münster-0194.jpg (140.13 KiB) 3270 mal betrachtet
Originalwert Bild aufgenommen am/um:
2020:06:15 21:25:46
Bild aufgenommen am/um:
Mo 15. Jun 2020, 19:25
Brennweite:
50 mm
Belichtungszeit:
1/500 Sek
Blendenwert:
f/0
ISO:
100
Weißabgleich:
Manuell
Blitz:
Blitz nicht ausgelöst, Erzwungener Blitzmodus
Kamera-Hersteller:
Canon
Kamera-Modell:
Canon EOS 600D
Belichtungsmodus:
Blendenvorwahl
Belichtungskorrektur:
1/1 EV
Belichtungsmessung:
Muster
Bad Münster-0195.jpg
Bad Münster-0195.jpg (138.31 KiB) 3270 mal betrachtet
Originalwert Bild aufgenommen am/um:
2020:06:15 21:25:54
Bild aufgenommen am/um:
Mo 15. Jun 2020, 19:25
Brennweite:
50 mm
Belichtungszeit:
1/500 Sek
Blendenwert:
f/0
ISO:
100
Weißabgleich:
Manuell
Blitz:
Blitz nicht ausgelöst, Erzwungener Blitzmodus
Kamera-Hersteller:
Canon
Kamera-Modell:
Canon EOS 600D
Belichtungsmodus:
Blendenvorwahl
Belichtungskorrektur:
1/1 EV
Belichtungsmessung:
Muster
Bad Münster-0196.jpg
Bad Münster-0196.jpg (189.39 KiB) 3270 mal betrachtet
Originalwert Bild aufgenommen am/um:
2020:06:15 21:26:06
Bild aufgenommen am/um:
Mo 15. Jun 2020, 19:26
Brennweite:
50 mm
Belichtungszeit:
1/400 Sek
Blendenwert:
f/0
ISO:
100
Weißabgleich:
Manuell
Blitz:
Blitz nicht ausgelöst, Erzwungener Blitzmodus
Kamera-Hersteller:
Canon
Kamera-Modell:
Canon EOS 600D
Belichtungsmodus:
Blendenvorwahl
Belichtungskorrektur:
1/1 EV
Belichtungsmessung:
Muster
Bad Münster-0197.jpg
Bad Münster-0197.jpg (133.62 KiB) 3270 mal betrachtet
Originalwert Bild aufgenommen am/um:
2020:06:15 21:27:14
Bild aufgenommen am/um:
Mo 15. Jun 2020, 19:27
Brennweite:
50 mm
Belichtungszeit:
1/250 Sek
Blendenwert:
f/0
ISO:
100
Weißabgleich:
Manuell
Blitz:
Blitz nicht ausgelöst, Erzwungener Blitzmodus
Kamera-Hersteller:
Canon
Kamera-Modell:
Canon EOS 600D
Belichtungsmodus:
Blendenvorwahl
Belichtungskorrektur:
1/1 EV
Belichtungsmessung:
Muster
Bad Münster-0198.jpg
Bad Münster-0198.jpg (124.6 KiB) 3270 mal betrachtet
Originalwert Bild aufgenommen am/um:
2020:06:15 21:27:21
Bild aufgenommen am/um:
Mo 15. Jun 2020, 19:27
Brennweite:
50 mm
Belichtungszeit:
1/250 Sek
Blendenwert:
f/0
ISO:
100
Weißabgleich:
Manuell
Blitz:
Blitz nicht ausgelöst, Erzwungener Blitzmodus
Kamera-Hersteller:
Canon
Kamera-Modell:
Canon EOS 600D
Belichtungsmodus:
Blendenvorwahl
Belichtungskorrektur:
1/1 EV
Belichtungsmessung:
Muster
Bad Münster-0199.jpg
Bad Münster-0199.jpg (149.7 KiB) 3270 mal betrachtet
Originalwert Bild aufgenommen am/um:
2020:06:15 21:27:48
Bild aufgenommen am/um:
Mo 15. Jun 2020, 19:27
Brennweite:
50 mm
Belichtungszeit:
1/200 Sek
Blendenwert:
f/0
ISO:
100
Weißabgleich:
Manuell
Blitz:
Blitz nicht ausgelöst, Erzwungener Blitzmodus
Kamera-Hersteller:
Canon
Kamera-Modell:
Canon EOS 600D
Belichtungsmodus:
Blendenvorwahl
Belichtungskorrektur:
1/1 EV
Belichtungsmessung:
Muster
Bad Münster-0200.jpg
Bad Münster-0200.jpg (197.55 KiB) 3270 mal betrachtet
Originalwert Bild aufgenommen am/um:
2020:06:15 21:27:59
Bild aufgenommen am/um:
Mo 15. Jun 2020, 19:27
Brennweite:
50 mm
Belichtungszeit:
1/200 Sek
Blendenwert:
f/0
ISO:
100
Weißabgleich:
Manuell
Blitz:
Blitz nicht ausgelöst, Erzwungener Blitzmodus
Kamera-Hersteller:
Canon
Kamera-Modell:
Canon EOS 600D
Belichtungsmodus:
Blendenvorwahl
Belichtungskorrektur:
1/1 EV
Belichtungsmessung:
Muster
Bad Münster-0201.jpg
Bad Münster-0201.jpg (191.47 KiB) 3270 mal betrachtet
Originalwert Bild aufgenommen am/um:
2020:06:15 21:28:22
Bild aufgenommen am/um:
Mo 15. Jun 2020, 19:28
Brennweite:
50 mm
Belichtungszeit:
1/200 Sek
Blendenwert:
f/0
ISO:
100
Weißabgleich:
Manuell
Blitz:
Blitz nicht ausgelöst, Erzwungener Blitzmodus
Kamera-Hersteller:
Canon
Kamera-Modell:
Canon EOS 600D
Belichtungsmodus:
Blendenvorwahl
Belichtungskorrektur:
1/1 EV
Belichtungsmessung:
Muster
Teil 2 folgt sofort
bjoerns
alter Hase
Beiträge: 532
Registriert: Mo 3. Sep 2018, 21:21
Kamera: Canon EOS 600D
Canon EF-S 60mm f/2.8 Macro USM
Motic Panthera C
Kontaktdaten:

Re: Bad Münster 13.06.2020 Teil 1

Ungelesener Beitrag von bjoerns »

5. Puccinia linosyridis-caricis ex Galatella linosyris
Bad Münster-0010.jpg
Bad Münster-0010.jpg (97.38 KiB) 3269 mal betrachtet
Originalwert Bild aufgenommen am/um:
2020:06:13 10:19:23
Bild aufgenommen am/um:
Sa 13. Jun 2020, 08:19
Brennweite:
60 mm
Belichtungszeit:
1/80 Sek
Blendenwert:
f/8
ISO:
800
Weißabgleich:
Manuell
Blitz:
Blitz nicht ausgelöst, Erzwungener Blitzmodus
Kamera-Hersteller:
Canon
Kamera-Modell:
Canon EOS 600D
Belichtungsmodus:
Blendenvorwahl
Belichtungskorrektur:
-1/3 EV
Belichtungsmessung:
Muster
Koordinaten:
N 49 49.059981 0/ E 7 49.895482 0
Bad Münster-0014.jpg
Bad Münster-0014.jpg (93.55 KiB) 3269 mal betrachtet
Originalwert Bild aufgenommen am/um:
2020:06:13 10:56:01
Bild aufgenommen am/um:
Sa 13. Jun 2020, 08:56
Brennweite:
60 mm
Belichtungszeit:
1/80 Sek
Blendenwert:
f/8
ISO:
1000
Weißabgleich:
Manuell
Blitz:
Blitz nicht ausgelöst, Erzwungener Blitzmodus
Kamera-Hersteller:
Canon
Kamera-Modell:
Canon EOS 600D
Belichtungsmodus:
Blendenvorwahl
Belichtungskorrektur:
-1/3 EV
Belichtungsmessung:
Muster
Koordinaten:
N 49 49.059981 0/ E 7 49.9193 0
6. Puccinia allii ex Allium sphaerocephalon
Bad Münster-0017.jpg
Bad Münster-0017.jpg (109.63 KiB) 3269 mal betrachtet
Originalwert Bild aufgenommen am/um:
2020:06:13 11:20:36
Bild aufgenommen am/um:
Sa 13. Jun 2020, 09:20
Brennweite:
60 mm
Belichtungszeit:
1/100 Sek
Blendenwert:
f/8
ISO:
800
Weißabgleich:
Manuell
Blitz:
Blitz nicht ausgelöst, Erzwungener Blitzmodus
Kamera-Hersteller:
Canon
Kamera-Modell:
Canon EOS 600D
Belichtungsmodus:
Blendenvorwahl
Belichtungskorrektur:
-1/3 EV
Belichtungsmessung:
Muster
Koordinaten:
N 49 49.076387 0/ E 7 50.021332 0
Bad Münster-0018.jpg
Bad Münster-0018.jpg (88.29 KiB) 3269 mal betrachtet
Originalwert Bild aufgenommen am/um:
2020:06:13 11:20:44
Bild aufgenommen am/um:
Sa 13. Jun 2020, 09:20
Brennweite:
60 mm
Belichtungszeit:
1/80 Sek
Blendenwert:
f/8
ISO:
500
Weißabgleich:
Manuell
Blitz:
Blitz nicht ausgelöst, Erzwungener Blitzmodus
Kamera-Hersteller:
Canon
Kamera-Modell:
Canon EOS 600D
Belichtungsmodus:
Blendenvorwahl
Belichtungskorrektur:
-1/3 EV
Belichtungsmessung:
Muster
Koordinaten:
N 49 49.076387 0/ E 7 50.021332 0
7. Puccinia centaureae ex Centaurea stoebe
Bad Münster-0019.jpg
Bad Münster-0019.jpg (145.87 KiB) 3269 mal betrachtet
Originalwert Bild aufgenommen am/um:
2020:06:13 11:24:36
Bild aufgenommen am/um:
Sa 13. Jun 2020, 09:24
Brennweite:
60 mm
Belichtungszeit:
1/100 Sek
Blendenwert:
f/8
ISO:
640
Weißabgleich:
Manuell
Blitz:
Blitz nicht ausgelöst, Erzwungener Blitzmodus
Kamera-Hersteller:
Canon
Kamera-Modell:
Canon EOS 600D
Belichtungsmodus:
Blendenvorwahl
Belichtungskorrektur:
-1/3 EV
Belichtungsmessung:
Muster
Koordinaten:
N 49 49.074726 0/ E 7 50.023907 0
Bad Münster-0020.jpg
Bad Münster-0020.jpg (218.1 KiB) 3269 mal betrachtet
Originalwert Bild aufgenommen am/um:
2020:06:13 11:27:48
Bild aufgenommen am/um:
Sa 13. Jun 2020, 09:27
Brennweite:
60 mm
Belichtungszeit:
1/100 Sek
Blendenwert:
f/8
ISO:
800
Weißabgleich:
Manuell
Blitz:
Blitz nicht ausgelöst, Erzwungener Blitzmodus
Kamera-Hersteller:
Canon
Kamera-Modell:
Canon EOS 600D
Belichtungsmodus:
Blendenvorwahl
Belichtungskorrektur:
-1/3 EV
Belichtungsmessung:
Muster
Koordinaten:
N 49 49.074933 0/ E 7 50.021975 0
Bad Münster-0192.jpg
Bad Münster-0192.jpg (92.73 KiB) 3269 mal betrachtet
Originalwert Bild aufgenommen am/um:
2020:06:15 21:12:55
Bild aufgenommen am/um:
Mo 15. Jun 2020, 19:12
Brennweite:
50 mm
Belichtungszeit:
1/250 Sek
Blendenwert:
f/0
ISO:
100
Weißabgleich:
Manuell
Blitz:
Blitz nicht ausgelöst, Erzwungener Blitzmodus
Kamera-Hersteller:
Canon
Kamera-Modell:
Canon EOS 600D
Belichtungsmodus:
Blendenvorwahl
Belichtungskorrektur:
1/1 EV
Belichtungsmessung:
Muster
Bad Münster-0193.jpg
Bad Münster-0193.jpg (80.68 KiB) 3269 mal betrachtet
Originalwert Bild aufgenommen am/um:
2020:06:15 21:13:05
Bild aufgenommen am/um:
Mo 15. Jun 2020, 19:13
Brennweite:
50 mm
Belichtungszeit:
1/250 Sek
Blendenwert:
f/0
ISO:
100
Weißabgleich:
Manuell
Blitz:
Blitz nicht ausgelöst, Erzwungener Blitzmodus
Kamera-Hersteller:
Canon
Kamera-Modell:
Canon EOS 600D
Belichtungsmodus:
Blendenvorwahl
Belichtungskorrektur:
1/1 EV
Belichtungsmessung:
Muster
8. Epichloe sp. ex Phleum phleoides
Bad Münster-0021.jpg
Bad Münster-0021.jpg (163.51 KiB) 3269 mal betrachtet
Originalwert Bild aufgenommen am/um:
2020:06:13 11:31:56
Bild aufgenommen am/um:
Sa 13. Jun 2020, 09:31
Brennweite:
60 mm
Belichtungszeit:
1/100 Sek
Blendenwert:
f/8
ISO:
400
Weißabgleich:
Manuell
Blitz:
Blitz nicht ausgelöst, Erzwungener Blitzmodus
Kamera-Hersteller:
Canon
Kamera-Modell:
Canon EOS 600D
Belichtungsmodus:
Blendenvorwahl
Belichtungskorrektur:
-1/3 EV
Belichtungsmessung:
Muster
Koordinaten:
N 49 49.075193 0/ E 7 50.026079 0
Bad Münster-0022.jpg
Bad Münster-0022.jpg (75.6 KiB) 3269 mal betrachtet
Originalwert Bild aufgenommen am/um:
2020:06:13 11:32:14
Bild aufgenommen am/um:
Sa 13. Jun 2020, 09:32
Brennweite:
60 mm
Belichtungszeit:
1/80 Sek
Blendenwert:
f/8
ISO:
500
Weißabgleich:
Manuell
Blitz:
Blitz nicht ausgelöst, Erzwungener Blitzmodus
Kamera-Hersteller:
Canon
Kamera-Modell:
Canon EOS 600D
Belichtungsmodus:
Blendenvorwahl
Belichtungskorrektur:
-1/3 EV
Belichtungsmessung:
Muster
Koordinaten:
N 49 49.075193 0/ E 7 50.026079 0
Bad Münster-0023.jpg
Bad Münster-0023.jpg (118.87 KiB) 3269 mal betrachtet
Originalwert Bild aufgenommen am/um:
2020:06:13 11:33:36
Bild aufgenommen am/um:
Sa 13. Jun 2020, 09:33
Brennweite:
60 mm
Belichtungszeit:
1/80 Sek
Blendenwert:
f/8
ISO:
500
Weißabgleich:
Manuell
Blitz:
Blitz nicht ausgelöst, Erzwungener Blitzmodus
Kamera-Hersteller:
Canon
Kamera-Modell:
Canon EOS 600D
Belichtungsmodus:
Blendenvorwahl
Belichtungskorrektur:
-1/3 EV
Belichtungsmessung:
Muster
Koordinaten:
N 49 49.075193 0/ E 7 50.026079 0
9. Uromyces graminis ex Melica transsilvanica
Bad Münster-0030.jpg
Bad Münster-0030.jpg (115.57 KiB) 3269 mal betrachtet
Originalwert Bild aufgenommen am/um:
2020:06:13 11:41:00
Bild aufgenommen am/um:
Sa 13. Jun 2020, 09:41
Brennweite:
60 mm
Belichtungszeit:
1/80 Sek
Blendenwert:
f/8
ISO:
640
Weißabgleich:
Manuell
Blitz:
Blitz nicht ausgelöst, Erzwungener Blitzmodus
Kamera-Hersteller:
Canon
Kamera-Modell:
Canon EOS 600D
Belichtungsmodus:
Blendenvorwahl
Belichtungskorrektur:
-1/3 EV
Belichtungsmessung:
Muster
Koordinaten:
N 49 49.06861 0/ E 7 50.040364 0
10. Puccinia graminis ex Lolium perenne
Bad Münster-0031.jpg
Bad Münster-0031.jpg (295.9 KiB) 3269 mal betrachtet
Originalwert Bild aufgenommen am/um:
2020:06:13 11:42:13
Bild aufgenommen am/um:
Sa 13. Jun 2020, 09:42
Brennweite:
60 mm
Belichtungszeit:
1/80 Sek
Blendenwert:
f/8
ISO:
800
Weißabgleich:
Manuell
Blitz:
Blitz nicht ausgelöst, Erzwungener Blitzmodus
Kamera-Hersteller:
Canon
Kamera-Modell:
Canon EOS 600D
Belichtungsmodus:
Blendenvorwahl
Belichtungskorrektur:
-1/3 EV
Belichtungsmessung:
Muster
Koordinaten:
N 49 49.067231 0/ E 7 50.041743 0
Bad Münster-0032.jpg
Bad Münster-0032.jpg (106.54 KiB) 3269 mal betrachtet
Originalwert Bild aufgenommen am/um:
2020:06:13 11:43:03
Bild aufgenommen am/um:
Sa 13. Jun 2020, 09:43
Brennweite:
60 mm
Belichtungszeit:
1/100 Sek
Blendenwert:
f/8
ISO:
1250
Weißabgleich:
Manuell
Blitz:
Blitz nicht ausgelöst, Erzwungener Blitzmodus
Kamera-Hersteller:
Canon
Kamera-Modell:
Canon EOS 600D
Belichtungsmodus:
Blendenvorwahl
Belichtungskorrektur:
-1/3 EV
Belichtungsmessung:
Muster
Koordinaten:
N 49 49.067231 0/ E 7 50.041743 0
Bad Münster-0035.jpg
Bad Münster-0035.jpg (94.2 KiB) 3269 mal betrachtet
Originalwert Bild aufgenommen am/um:
2020:06:13 11:43:32
Bild aufgenommen am/um:
Sa 13. Jun 2020, 09:43
Brennweite:
60 mm
Belichtungszeit:
1/80 Sek
Blendenwert:
f/8
ISO:
800
Weißabgleich:
Manuell
Blitz:
Blitz nicht ausgelöst, Erzwungener Blitzmodus
Kamera-Hersteller:
Canon
Kamera-Modell:
Canon EOS 600D
Belichtungsmodus:
Blendenvorwahl
Belichtungskorrektur:
-1/3 EV
Belichtungsmessung:
Muster
Koordinaten:
N 49 49.067231 0/ E 7 50.041743 0
Bad Münster-0156.jpg
Bad Münster-0156.jpg (293.7 KiB) 3269 mal betrachtet
Originalwert Bild aufgenommen am/um:
2020:06:15 18:21:16
Bild aufgenommen am/um:
Mo 15. Jun 2020, 16:21
Brennweite:
50 mm
Belichtungszeit:
1/500 Sek
Blendenwert:
f/0
ISO:
100
Weißabgleich:
Manuell
Blitz:
Blitz nicht ausgelöst, Erzwungener Blitzmodus
Kamera-Hersteller:
Canon
Kamera-Modell:
Canon EOS 600D
Belichtungsmodus:
Blendenvorwahl
Belichtungskorrektur:
1/1 EV
Belichtungsmessung:
Muster
Bad Münster-0157.jpg
Bad Münster-0157.jpg (261.17 KiB) 3269 mal betrachtet
Originalwert Bild aufgenommen am/um:
2020:06:15 18:21:22
Bild aufgenommen am/um:
Mo 15. Jun 2020, 16:21
Brennweite:
50 mm
Belichtungszeit:
1/500 Sek
Blendenwert:
f/0
ISO:
100
Weißabgleich:
Manuell
Blitz:
Blitz nicht ausgelöst, Erzwungener Blitzmodus
Kamera-Hersteller:
Canon
Kamera-Modell:
Canon EOS 600D
Belichtungsmodus:
Blendenvorwahl
Belichtungskorrektur:
1/1 EV
Belichtungsmessung:
Muster
Bad Münster-0158.jpg
Bad Münster-0158.jpg (217.5 KiB) 3269 mal betrachtet
Originalwert Bild aufgenommen am/um:
2020:06:15 18:21:57
Bild aufgenommen am/um:
Mo 15. Jun 2020, 16:21
Brennweite:
50 mm
Belichtungszeit:
1/250 Sek
Blendenwert:
f/0
ISO:
100
Weißabgleich:
Manuell
Blitz:
Blitz nicht ausgelöst, Erzwungener Blitzmodus
Kamera-Hersteller:
Canon
Kamera-Modell:
Canon EOS 600D
Belichtungsmodus:
Blendenvorwahl
Belichtungskorrektur:
1/1 EV
Belichtungsmessung:
Muster
Bad Münster-0159.jpg
Bad Münster-0159.jpg (187.33 KiB) 3269 mal betrachtet
Originalwert Bild aufgenommen am/um:
2020:06:15 18:22:03
Bild aufgenommen am/um:
Mo 15. Jun 2020, 16:22
Brennweite:
50 mm
Belichtungszeit:
1/250 Sek
Blendenwert:
f/0
ISO:
100
Weißabgleich:
Manuell
Blitz:
Blitz nicht ausgelöst, Erzwungener Blitzmodus
Kamera-Hersteller:
Canon
Kamera-Modell:
Canon EOS 600D
Belichtungsmodus:
Blendenvorwahl
Belichtungskorrektur:
1/1 EV
Belichtungsmessung:
Muster
Bad Münster-0160.jpg
Bad Münster-0160.jpg (207.21 KiB) 3269 mal betrachtet
Originalwert Bild aufgenommen am/um:
2020:06:15 18:22:11
Bild aufgenommen am/um:
Mo 15. Jun 2020, 16:22
Brennweite:
50 mm
Belichtungszeit:
1/250 Sek
Blendenwert:
f/0
ISO:
100
Weißabgleich:
Manuell
Blitz:
Blitz nicht ausgelöst, Erzwungener Blitzmodus
Kamera-Hersteller:
Canon
Kamera-Modell:
Canon EOS 600D
Belichtungsmodus:
Blendenvorwahl
Belichtungskorrektur:
1/1 EV
Belichtungsmessung:
Muster
Bad Münster-0161.jpg
Bad Münster-0161.jpg (180.87 KiB) 3269 mal betrachtet
Originalwert Bild aufgenommen am/um:
2020:06:15 18:22:18
Bild aufgenommen am/um:
Mo 15. Jun 2020, 16:22
Brennweite:
50 mm
Belichtungszeit:
1/250 Sek
Blendenwert:
f/0
ISO:
100
Weißabgleich:
Manuell
Blitz:
Blitz nicht ausgelöst, Erzwungener Blitzmodus
Kamera-Hersteller:
Canon
Kamera-Modell:
Canon EOS 600D
Belichtungsmodus:
Blendenvorwahl
Belichtungskorrektur:
1/1 EV
Belichtungsmessung:
Muster
11. Ustilago bromivora ex Bromus sterilis
Bad Münster-0036.jpg
Bad Münster-0036.jpg (168.98 KiB) 3269 mal betrachtet
Originalwert Bild aufgenommen am/um:
2020:06:13 11:45:50
Bild aufgenommen am/um:
Sa 13. Jun 2020, 09:45
Brennweite:
60 mm
Belichtungszeit:
1/80 Sek
Blendenwert:
f/8
ISO:
400
Weißabgleich:
Manuell
Blitz:
Blitz nicht ausgelöst, Erzwungener Blitzmodus
Kamera-Hersteller:
Canon
Kamera-Modell:
Canon EOS 600D
Belichtungsmodus:
Blendenvorwahl
Belichtungskorrektur:
-1/3 EV
Belichtungsmessung:
Muster
Koordinaten:
N 49 49.057788 0/ E 7 50.053231 0
Bad Münster-0037.jpg
Bad Münster-0037.jpg (166.8 KiB) 3269 mal betrachtet
Originalwert Bild aufgenommen am/um:
2020:06:13 11:46:02
Bild aufgenommen am/um:
Sa 13. Jun 2020, 09:46
Brennweite:
60 mm
Belichtungszeit:
1/80 Sek
Blendenwert:
f/8
ISO:
320
Weißabgleich:
Manuell
Blitz:
Blitz nicht ausgelöst, Erzwungener Blitzmodus
Kamera-Hersteller:
Canon
Kamera-Modell:
Canon EOS 600D
Belichtungsmodus:
Blendenvorwahl
Belichtungskorrektur:
-1/3 EV
Belichtungsmessung:
Muster
Koordinaten:
N 49 49.057788 0/ E 7 50.053231 0
12. Phragmidium tuberculatum ex Rosa spinosissima
Bad Münster-0038.jpg
Bad Münster-0038.jpg (118.23 KiB) 3269 mal betrachtet
Originalwert Bild aufgenommen am/um:
2020:06:13 11:48:11
Bild aufgenommen am/um:
Sa 13. Jun 2020, 09:48
Brennweite:
60 mm
Belichtungszeit:
1/80 Sek
Blendenwert:
f/8
ISO:
320
Weißabgleich:
Manuell
Blitz:
Blitz nicht ausgelöst, Erzwungener Blitzmodus
Kamera-Hersteller:
Canon
Kamera-Modell:
Canon EOS 600D
Belichtungsmodus:
Blendenvorwahl
Belichtungskorrektur:
-1/3 EV
Belichtungsmessung:
Muster
Koordinaten:
N 49 49.056682 0/ E 7 50.053797 0
13. Microbotryum dianthorum s.l. ex Dianthus carthusianorum
Bad Münster-0046.jpg
Bad Münster-0046.jpg (100.6 KiB) 3269 mal betrachtet
Originalwert Bild aufgenommen am/um:
2020:06:13 12:26:48
Bild aufgenommen am/um:
Sa 13. Jun 2020, 10:26
Brennweite:
60 mm
Belichtungszeit:
1/80 Sek
Blendenwert:
f/8
ISO:
100
Weißabgleich:
Manuell
Blitz:
Blitz nicht ausgelöst, Erzwungener Blitzmodus
Kamera-Hersteller:
Canon
Kamera-Modell:
Canon EOS 600D
Belichtungsmodus:
Blendenvorwahl
Belichtungskorrektur:
-1/3 EV
Belichtungsmessung:
Muster
Koordinaten:
N 49 48.992198 0/ E 7 50.21473 0
14. Puccinia galii-verni ex Galium album
Bad Münster-0047.jpg
Bad Münster-0047.jpg (87.85 KiB) 3269 mal betrachtet
Originalwert Bild aufgenommen am/um:
2020:06:13 12:46:46
Bild aufgenommen am/um:
Sa 13. Jun 2020, 10:46
Brennweite:
60 mm
Belichtungszeit:
1/80 Sek
Blendenwert:
f/8
ISO:
320
Weißabgleich:
Manuell
Blitz:
Blitz nicht ausgelöst, Erzwungener Blitzmodus
Kamera-Hersteller:
Canon
Kamera-Modell:
Canon EOS 600D
Belichtungsmodus:
Blendenvorwahl
Belichtungskorrektur:
-1/3 EV
Belichtungsmessung:
Muster
Koordinaten:
N 49 49.06708 0/ E 7 50.197349 0
Bad Münster-0049.jpg
Bad Münster-0049.jpg (201.7 KiB) 3269 mal betrachtet
Originalwert Bild aufgenommen am/um:
2020:06:13 12:47:00
Bild aufgenommen am/um:
Sa 13. Jun 2020, 10:47
Brennweite:
60 mm
Belichtungszeit:
1/100 Sek
Blendenwert:
f/8
ISO:
160
Weißabgleich:
Manuell
Blitz:
Blitz nicht ausgelöst, Erzwungener Blitzmodus
Kamera-Hersteller:
Canon
Kamera-Modell:
Canon EOS 600D
Belichtungsmodus:
Blendenvorwahl
Belichtungskorrektur:
-1/3 EV
Belichtungsmessung:
Muster
Koordinaten:
N 49 49.06708 0/ E 7 50.197349 0
15. Epichloe clarkii ex Holcus lanatus
Bad Münster-0051.jpg
Bad Münster-0051.jpg (101.85 KiB) 3269 mal betrachtet
Originalwert Bild aufgenommen am/um:
2020:06:13 12:51:51
Bild aufgenommen am/um:
Sa 13. Jun 2020, 10:51
Brennweite:
60 mm
Belichtungszeit:
1/80 Sek
Blendenwert:
f/8
ISO:
320
Weißabgleich:
Manuell
Blitz:
Blitz nicht ausgelöst, Erzwungener Blitzmodus
Kamera-Hersteller:
Canon
Kamera-Modell:
Canon EOS 600D
Belichtungsmodus:
Blendenvorwahl
Belichtungskorrektur:
-1/3 EV
Belichtungsmessung:
Muster
Koordinaten:
N 49 49.118911 0/ E 7 50.150898 0
Bad Münster-0052.jpg
Bad Münster-0052.jpg (114.24 KiB) 3269 mal betrachtet
Originalwert Bild aufgenommen am/um:
2020:06:13 12:52:18
Bild aufgenommen am/um:
Sa 13. Jun 2020, 10:52
Brennweite:
60 mm
Belichtungszeit:
1/100 Sek
Blendenwert:
f/8
ISO:
160
Weißabgleich:
Manuell
Blitz:
Blitz nicht ausgelöst, Erzwungener Blitzmodus
Kamera-Hersteller:
Canon
Kamera-Modell:
Canon EOS 600D
Belichtungsmodus:
Blendenvorwahl
Belichtungskorrektur:
-1/3 EV
Belichtungsmessung:
Muster
Koordinaten:
N 49 49.118911 0/ E 7 50.150898 0
16. Puccinia hysterium ex Tragopogon pratensis
Bad Münster-0053.jpg
Bad Münster-0053.jpg (104.6 KiB) 3269 mal betrachtet
Originalwert Bild aufgenommen am/um:
2020:06:13 12:53:04
Bild aufgenommen am/um:
Sa 13. Jun 2020, 10:53
Brennweite:
60 mm
Belichtungszeit:
1/100 Sek
Blendenwert:
f/8
ISO:
320
Weißabgleich:
Manuell
Blitz:
Blitz nicht ausgelöst, Erzwungener Blitzmodus
Kamera-Hersteller:
Canon
Kamera-Modell:
Canon EOS 600D
Belichtungsmodus:
Blendenvorwahl
Belichtungskorrektur:
-1/3 EV
Belichtungsmessung:
Muster
Koordinaten:
N 49 49.124933 0/ E 7 50.156692 0
Teil 3 folgt sofort...
bjoerns
alter Hase
Beiträge: 532
Registriert: Mo 3. Sep 2018, 21:21
Kamera: Canon EOS 600D
Canon EF-S 60mm f/2.8 Macro USM
Motic Panthera C
Kontaktdaten:

Re: Bad Münster 13.06.2020 Teil 1

Ungelesener Beitrag von bjoerns »

Bad Münster-0054.jpg
Bad Münster-0054.jpg (118.28 KiB) 3269 mal betrachtet
Originalwert Bild aufgenommen am/um:
2020:06:13 12:53:17
Bild aufgenommen am/um:
Sa 13. Jun 2020, 10:53
Brennweite:
60 mm
Belichtungszeit:
1/100 Sek
Blendenwert:
f/8
ISO:
250
Weißabgleich:
Manuell
Blitz:
Blitz nicht ausgelöst, Erzwungener Blitzmodus
Kamera-Hersteller:
Canon
Kamera-Modell:
Canon EOS 600D
Belichtungsmodus:
Blendenvorwahl
Belichtungskorrektur:
-1/3 EV
Belichtungsmessung:
Muster
Koordinaten:
N 49 49.124933 0/ E 7 50.156692 0
Bad Münster-0182.jpg
Bad Münster-0182.jpg (117.33 KiB) 3269 mal betrachtet
Originalwert Bild aufgenommen am/um:
2020:06:15 20:46:33
Bild aufgenommen am/um:
Mo 15. Jun 2020, 18:46
Brennweite:
50 mm
Belichtungszeit:
1/500 Sek
Blendenwert:
f/0
ISO:
100
Weißabgleich:
Manuell
Blitz:
Blitz nicht ausgelöst, Erzwungener Blitzmodus
Kamera-Hersteller:
Canon
Kamera-Modell:
Canon EOS 600D
Belichtungsmodus:
Blendenvorwahl
Belichtungskorrektur:
1/1 EV
Belichtungsmessung:
Muster
Bad Münster-0183.jpg
Bad Münster-0183.jpg (108.28 KiB) 3269 mal betrachtet
Originalwert Bild aufgenommen am/um:
2020:06:15 20:46:39
Bild aufgenommen am/um:
Mo 15. Jun 2020, 18:46
Brennweite:
50 mm
Belichtungszeit:
1/500 Sek
Blendenwert:
f/0
ISO:
100
Weißabgleich:
Manuell
Blitz:
Blitz nicht ausgelöst, Erzwungener Blitzmodus
Kamera-Hersteller:
Canon
Kamera-Modell:
Canon EOS 600D
Belichtungsmodus:
Blendenvorwahl
Belichtungskorrektur:
1/1 EV
Belichtungsmessung:
Muster
Bad Münster-0184.jpg
Bad Münster-0184.jpg (90.45 KiB) 3269 mal betrachtet
Originalwert Bild aufgenommen am/um:
2020:06:15 20:46:50
Bild aufgenommen am/um:
Mo 15. Jun 2020, 18:46
Brennweite:
50 mm
Belichtungszeit:
1/500 Sek
Blendenwert:
f/0
ISO:
100
Weißabgleich:
Manuell
Blitz:
Blitz nicht ausgelöst, Erzwungener Blitzmodus
Kamera-Hersteller:
Canon
Kamera-Modell:
Canon EOS 600D
Belichtungsmodus:
Blendenvorwahl
Belichtungskorrektur:
1/1 EV
Belichtungsmessung:
Muster
Bad Münster-0185.jpg
Bad Münster-0185.jpg (94.23 KiB) 3269 mal betrachtet
Originalwert Bild aufgenommen am/um:
2020:06:15 20:46:55
Bild aufgenommen am/um:
Mo 15. Jun 2020, 18:46
Brennweite:
50 mm
Belichtungszeit:
1/500 Sek
Blendenwert:
f/0
ISO:
100
Weißabgleich:
Manuell
Blitz:
Blitz nicht ausgelöst, Erzwungener Blitzmodus
Kamera-Hersteller:
Canon
Kamera-Modell:
Canon EOS 600D
Belichtungsmodus:
Blendenvorwahl
Belichtungskorrektur:
1/1 EV
Belichtungsmessung:
Muster
Bad Münster-0186.jpg
Bad Münster-0186.jpg (121.33 KiB) 3269 mal betrachtet
Originalwert Bild aufgenommen am/um:
2020:06:15 20:47:31
Bild aufgenommen am/um:
Mo 15. Jun 2020, 18:47
Brennweite:
50 mm
Belichtungszeit:
1/800 Sek
Blendenwert:
f/0
ISO:
100
Weißabgleich:
Manuell
Blitz:
Blitz nicht ausgelöst, Erzwungener Blitzmodus
Kamera-Hersteller:
Canon
Kamera-Modell:
Canon EOS 600D
Belichtungsmodus:
Blendenvorwahl
Belichtungskorrektur:
1/1 EV
Belichtungsmessung:
Muster
Bad Münster-0187.jpg
Bad Münster-0187.jpg (111.75 KiB) 3269 mal betrachtet
Originalwert Bild aufgenommen am/um:
2020:06:15 20:47:42
Bild aufgenommen am/um:
Mo 15. Jun 2020, 18:47
Brennweite:
50 mm
Belichtungszeit:
1/800 Sek
Blendenwert:
f/0
ISO:
100
Weißabgleich:
Manuell
Blitz:
Blitz nicht ausgelöst, Erzwungener Blitzmodus
Kamera-Hersteller:
Canon
Kamera-Modell:
Canon EOS 600D
Belichtungsmodus:
Blendenvorwahl
Belichtungskorrektur:
1/1 EV
Belichtungsmessung:
Muster
Bad Münster-0188.jpg
Bad Münster-0188.jpg (163.94 KiB) 3269 mal betrachtet
Originalwert Bild aufgenommen am/um:
2020:06:15 20:48:22
Bild aufgenommen am/um:
Mo 15. Jun 2020, 18:48
Brennweite:
50 mm
Belichtungszeit:
1/125 Sek
Blendenwert:
f/0
ISO:
100
Weißabgleich:
Manuell
Blitz:
Blitz nicht ausgelöst, Erzwungener Blitzmodus
Kamera-Hersteller:
Canon
Kamera-Modell:
Canon EOS 600D
Belichtungsmodus:
Blendenvorwahl
Belichtungskorrektur:
1/1 EV
Belichtungsmessung:
Muster
Bad Münster-0189.jpg
Bad Münster-0189.jpg (136.84 KiB) 3269 mal betrachtet
Originalwert Bild aufgenommen am/um:
2020:06:15 20:48:32
Bild aufgenommen am/um:
Mo 15. Jun 2020, 18:48
Brennweite:
50 mm
Belichtungszeit:
1/125 Sek
Blendenwert:
f/0
ISO:
100
Weißabgleich:
Manuell
Blitz:
Blitz nicht ausgelöst, Erzwungener Blitzmodus
Kamera-Hersteller:
Canon
Kamera-Modell:
Canon EOS 600D
Belichtungsmodus:
Blendenvorwahl
Belichtungskorrektur:
1/1 EV
Belichtungsmessung:
Muster
Bad Münster-0190.jpg
Bad Münster-0190.jpg (124.67 KiB) 3269 mal betrachtet
Originalwert Bild aufgenommen am/um:
2020:06:15 20:48:46
Bild aufgenommen am/um:
Mo 15. Jun 2020, 18:48
Brennweite:
50 mm
Belichtungszeit:
1/200 Sek
Blendenwert:
f/0
ISO:
100
Weißabgleich:
Manuell
Blitz:
Blitz nicht ausgelöst, Erzwungener Blitzmodus
Kamera-Hersteller:
Canon
Kamera-Modell:
Canon EOS 600D
Belichtungsmodus:
Blendenvorwahl
Belichtungskorrektur:
1/1 EV
Belichtungsmessung:
Muster
Bad Münster-0191.jpg
Bad Münster-0191.jpg (133.69 KiB) 3269 mal betrachtet
Originalwert Bild aufgenommen am/um:
2020:06:15 20:48:49
Bild aufgenommen am/um:
Mo 15. Jun 2020, 18:48
Brennweite:
50 mm
Belichtungszeit:
1/200 Sek
Blendenwert:
f/0
ISO:
100
Weißabgleich:
Manuell
Blitz:
Blitz nicht ausgelöst, Erzwungener Blitzmodus
Kamera-Hersteller:
Canon
Kamera-Modell:
Canon EOS 600D
Belichtungsmodus:
Blendenvorwahl
Belichtungskorrektur:
1/1 EV
Belichtungsmessung:
Muster
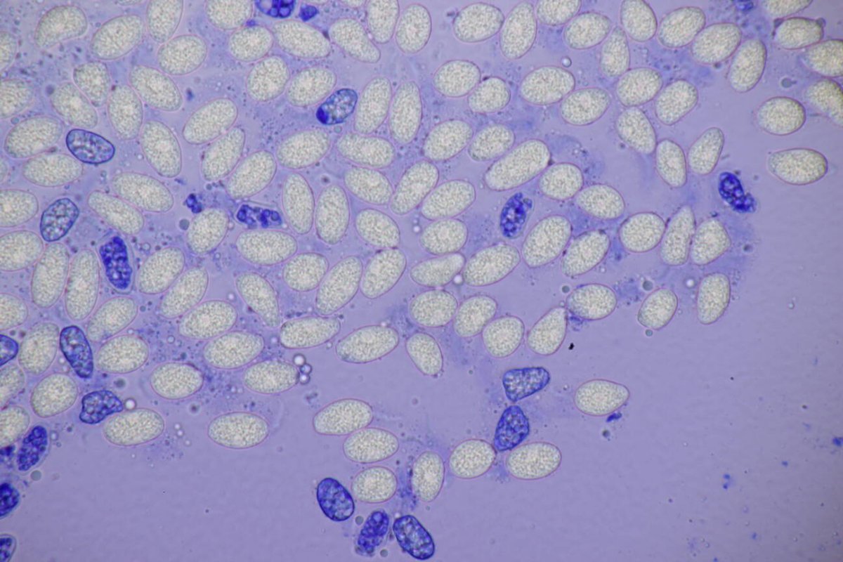
17. Phyllosticta convallariae ex Polygonatum odoratum
Bad Münster-0176.jpg
Bad Münster-0176.jpg (193.53 KiB) 3269 mal betrachtet
Originalwert Bild aufgenommen am/um:
2020:06:15 20:25:50
Bild aufgenommen am/um:
Mo 15. Jun 2020, 18:25
Brennweite:
50 mm
Belichtungszeit:
1/500 Sek
Blendenwert:
f/0
ISO:
100
Weißabgleich:
Manuell
Blitz:
Blitz nicht ausgelöst, Erzwungener Blitzmodus
Kamera-Hersteller:
Canon
Kamera-Modell:
Canon EOS 600D
Belichtungsmodus:
Blendenvorwahl
Belichtungskorrektur:
1/1 EV
Belichtungsmessung:
Muster
Bad Münster-0177.jpg
Bad Münster-0177.jpg (211.19 KiB) 3269 mal betrachtet
Originalwert Bild aufgenommen am/um:
2020:06:15 20:26:01
Bild aufgenommen am/um:
Mo 15. Jun 2020, 18:26
Brennweite:
50 mm
Belichtungszeit:
1/800 Sek
Blendenwert:
f/0
ISO:
100
Weißabgleich:
Manuell
Blitz:
Blitz nicht ausgelöst, Erzwungener Blitzmodus
Kamera-Hersteller:
Canon
Kamera-Modell:
Canon EOS 600D
Belichtungsmodus:
Blendenvorwahl
Belichtungskorrektur:
1/1 EV
Belichtungsmessung:
Muster
Bad Münster-0178.jpg
Bad Münster-0178.jpg (200.74 KiB) 3269 mal betrachtet
Originalwert Bild aufgenommen am/um:
2020:06:15 20:26:33
Bild aufgenommen am/um:
Mo 15. Jun 2020, 18:26
Brennweite:
50 mm
Belichtungszeit:
1/320 Sek
Blendenwert:
f/0
ISO:
100
Weißabgleich:
Manuell
Blitz:
Blitz nicht ausgelöst, Erzwungener Blitzmodus
Kamera-Hersteller:
Canon
Kamera-Modell:
Canon EOS 600D
Belichtungsmodus:
Blendenvorwahl
Belichtungskorrektur:
1/1 EV
Belichtungsmessung:
Muster
Bad Münster-0179.jpg
Bad Münster-0179.jpg (137.12 KiB) 3269 mal betrachtet
Originalwert Bild aufgenommen am/um:
2020:06:15 20:27:10
Bild aufgenommen am/um:
Mo 15. Jun 2020, 18:27
Brennweite:
50 mm
Belichtungszeit:
1/320 Sek
Blendenwert:
f/0
ISO:
100
Weißabgleich:
Manuell
Blitz:
Blitz nicht ausgelöst, Erzwungener Blitzmodus
Kamera-Hersteller:
Canon
Kamera-Modell:
Canon EOS 600D
Belichtungsmodus:
Blendenvorwahl
Belichtungskorrektur:
1/1 EV
Belichtungsmessung:
Muster
Bad Münster-0180.jpg
Bad Münster-0180.jpg (199.35 KiB) 3269 mal betrachtet
Originalwert Bild aufgenommen am/um:
2020:06:15 20:27:23
Bild aufgenommen am/um:
Mo 15. Jun 2020, 18:27
Brennweite:
50 mm
Belichtungszeit:
1/320 Sek
Blendenwert:
f/0
ISO:
100
Weißabgleich:
Manuell
Blitz:
Blitz nicht ausgelöst, Erzwungener Blitzmodus
Kamera-Hersteller:
Canon
Kamera-Modell:
Canon EOS 600D
Belichtungsmodus:
Blendenvorwahl
Belichtungskorrektur:
1/1 EV
Belichtungsmessung:
Muster
Mit einem Tropfen Tinte sieht man auch das schleimige Gezumpel, das außen an den Sporen hängt
Bad Münster-0181.jpg
Bad Münster-0181.jpg (175.47 KiB) 3269 mal betrachtet
Originalwert Bild aufgenommen am/um:
2020:06:15 20:32:55
Bild aufgenommen am/um:
Mo 15. Jun 2020, 18:32
Brennweite:
50 mm
Belichtungszeit:
1/200 Sek
Blendenwert:
f/0
ISO:
100
Weißabgleich:
Manuell
Blitz:
Blitz nicht ausgelöst, Erzwungener Blitzmodus
Kamera-Hersteller:
Canon
Kamera-Modell:
Canon EOS 600D
Belichtungsmodus:
Blendenvorwahl
Belichtungskorrektur:
1/1 EV
Belichtungsmessung:
Muster
18. Urocystis avenae-elatioris ex Arrhenatherum elatius
Bad Münster-0140.jpg
Bad Münster-0140.jpg (158.97 KiB) 3269 mal betrachtet
Originalwert Bild aufgenommen am/um:
2020:06:13 22:59:43
Bild aufgenommen am/um:
Sa 13. Jun 2020, 20:59
Brennweite:
50 mm
Belichtungszeit:
1/500 Sek
Blendenwert:
f/0
ISO:
100
Weißabgleich:
Manuell
Blitz:
Blitz nicht ausgelöst, Erzwungener Blitzmodus
Kamera-Hersteller:
Canon
Kamera-Modell:
Canon EOS 600D
Belichtungsmodus:
Blendenvorwahl
Belichtungskorrektur:
1/1 EV
Belichtungsmessung:
Muster
Bad Münster-0141.jpg
Bad Münster-0141.jpg (142.09 KiB) 3269 mal betrachtet
Originalwert Bild aufgenommen am/um:
2020:06:13 23:00:13
Bild aufgenommen am/um:
Sa 13. Jun 2020, 21:00
Brennweite:
50 mm
Belichtungszeit:
1/200 Sek
Blendenwert:
f/0
ISO:
100
Weißabgleich:
Manuell
Blitz:
Blitz nicht ausgelöst, Erzwungener Blitzmodus
Kamera-Hersteller:
Canon
Kamera-Modell:
Canon EOS 600D
Belichtungsmodus:
Blendenvorwahl
Belichtungskorrektur:
1/1 EV
Belichtungsmessung:
Muster
Bad Münster-0142.jpg
Bad Münster-0142.jpg (163.8 KiB) 3269 mal betrachtet
Originalwert Bild aufgenommen am/um:
2020:06:13 23:00:23
Bild aufgenommen am/um:
Sa 13. Jun 2020, 21:00
Brennweite:
50 mm
Belichtungszeit:
1/200 Sek
Blendenwert:
f/0
ISO:
100
Weißabgleich:
Manuell
Blitz:
Blitz nicht ausgelöst, Erzwungener Blitzmodus
Kamera-Hersteller:
Canon
Kamera-Modell:
Canon EOS 600D
Belichtungsmodus:
Blendenvorwahl
Belichtungskorrektur:
1/1 EV
Belichtungsmessung:
Muster
Björn
Benutzeravatar
Julia
Forums Gott
Beiträge: 2342
Registriert: Mo 7. Aug 2006, 19:23
Kamera: Olympus FE 120 +Panasonic LX 7
Wohnort: Barkelsby, Frankfurt a. Main
Kontaktdaten:

Re: Bad Münster 13.06.2020 Teil 1

Ungelesener Beitrag von Julia »

Lieber Björn,

alles richtig beschriftet. Da kann ich mir ja eine Publikation dazu sparen :P

Danke fürs zeigen,
Liebe Grüße,
Jule
Antworten