Rostpilz am Weißen Straußgras

Spezialforum zum Thema phytoparasitische Kleinpilze ( Rost, Brand, Mehltaupilze etc. ) und tierische Gallen an Wild.- und Nutzpflanzen. Forumsstart - 15.07.2006
Benutzeravatar
Julia
Forums Gott
Beiträge: 2342
Registriert: Mo 7. Aug 2006, 19:23
Kamera: Olympus FE 120 +Panasonic LX 7
Wohnort: Barkelsby, Frankfurt a. Main
Kontaktdaten:

Rostpilz am Weißen Straußgras

Ungelesener Beitrag von Julia »

Hi!

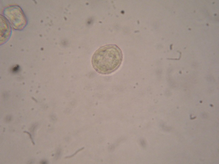
Diesen Rostpilz habe ich am 24.06.2007 in unserem Garten auf den Blättern vom Weißen Straußgras (Agrostis stolonifera) gefunden.

Mhm..waren keine Paraphysen da, nur dieses seltsame Ding auf dem einen Bild, aber das ist ja keine Paraphys?
Sporen waren 21,25 x 19,2µm. Sporen außen fein bewarzt, stachelt? Ich hoffe man erkennt das auf dem einen Bild einigermaßen.

Wer kann helfen^^
P6240084.JPG
P6240084.JPG (104.01 KiB) 1183 mal betrachtet
Originalwert Bild aufgenommen am/um:
2007:06:24 16:32:48
Bild aufgenommen am/um:
So 24. Jun 2007, 14:32
Brennweite:
6.3 mm
Belichtungszeit:
1/160 Sek
Blendenwert:
f/2.8
ISO:
80
Weißabgleich:
Automatisch
Blitz:
Blitz nicht ausgelöst, Erzwungener Blitzmodus
Kamera-Hersteller:
OLYMPUS IMAGING CORP.
Kamera-Modell:
FE-120,X-700
Belichtungsmodus:
Kreativprogramm (optimiert auf größtmöglichen Schärfebereich)
Belichtungskorrektur:
0 EV
Belichtungsmessung:
Muster
P6240069.JPG
P6240069.JPG (112.61 KiB) 1184 mal betrachtet
Originalwert Bild aufgenommen am/um:
2007:06:24 16:31:31
Bild aufgenommen am/um:
So 24. Jun 2007, 14:31
Brennweite:
6.3 mm
Belichtungszeit:
1/160 Sek
Blendenwert:
f/2.8
ISO:
80
Blitz:
Blitz nicht ausgelöst, Erzwungener Blitzmodus
Kamera-Hersteller:
OLYMPUS IMAGING CORP.
Kamera-Modell:
FE-120,X-700
Belichtungsmodus:
Kreativprogramm (optimiert auf größtmöglichen Schärfebereich)
Belichtungskorrektur:
0 EV
Belichtungsmessung:
Muster
P6240065.JPG
P6240065.JPG (142.72 KiB) 1185 mal betrachtet
Originalwert Bild aufgenommen am/um:
2007:06:24 16:31:11
Bild aufgenommen am/um:
So 24. Jun 2007, 14:31
Brennweite:
6.3 mm
Belichtungszeit:
1/200 Sek
Blendenwert:
f/2.8
ISO:
80
Blitz:
Blitz nicht ausgelöst, Erzwungener Blitzmodus
Kamera-Hersteller:
OLYMPUS IMAGING CORP.
Kamera-Modell:
FE-120,X-700
Belichtungsmodus:
Kreativprogramm (optimiert auf größtmöglichen Schärfebereich)
Belichtungskorrektur:
0 EV
Belichtungsmessung:
Muster
P2100075.JPG
P2100075.JPG (55.87 KiB) 1184 mal betrachtet
Originalwert Bild aufgenommen am/um:
2009:02:10 18:21:16
Bild aufgenommen am/um:
Di 10. Feb 2009, 17:21
Brennweite:
14 mm
Belichtungszeit:
1/2 Sek
Blendenwert:
f/4.2
ISO:
320
Weißabgleich:
Automatisch
Blitz:
Blitz nicht ausgelöst, Erzwungener Blitzmodus
Kamera-Hersteller:
OLYMPUS IMAGING CORP.
Kamera-Modell:
FE-120,X-700
Belichtungsmodus:
Kreativprogramm (optimiert auf größtmöglichen Schärfebereich)
Belichtungskorrektur:
0 EV
Belichtungsmessung:
Muster
P2100030.JPG
P2100030.JPG (49.89 KiB) 1185 mal betrachtet
Originalwert Bild aufgenommen am/um:
2009:02:10 18:08:49
Bild aufgenommen am/um:
Di 10. Feb 2009, 17:08
Brennweite:
12 mm
Belichtungszeit:
1/2.5 Sek
Blendenwert:
f/3.8
ISO:
320
Weißabgleich:
Automatisch
Blitz:
Blitz nicht ausgelöst, Erzwungener Blitzmodus
Kamera-Hersteller:
OLYMPUS IMAGING CORP.
Kamera-Modell:
FE-120,X-700
Belichtungsmodus:
Kreativprogramm (optimiert auf größtmöglichen Schärfebereich)
Belichtungskorrektur:
0 EV
Belichtungsmessung:
Muster
P2100018.JPG
P2100018.JPG (56.42 KiB) 1184 mal betrachtet
Originalwert Bild aufgenommen am/um:
2009:02:10 18:06:04
Bild aufgenommen am/um:
Di 10. Feb 2009, 17:06
Brennweite:
8.8 mm
Belichtungszeit:
1/4 Sek
Blendenwert:
f/3.2
ISO:
320
Weißabgleich:
Automatisch
Blitz:
Blitz nicht ausgelöst, Erzwungener Blitzmodus
Kamera-Hersteller:
OLYMPUS IMAGING CORP.
Kamera-Modell:
FE-120,X-700
Belichtungsmodus:
Kreativprogramm (optimiert auf größtmöglichen Schärfebereich)
Belichtungskorrektur:
0 EV
Belichtungsmessung:
Muster

lg Jule
Benutzeravatar
Dedimyk
Forums Gott
Beiträge: 2943
Registriert: Sa 26. Nov 2005, 13:47
Wohnort: Gifhorn - Südostniedersachsen

Re: Rostpilz am Weißen Straußgras

Ungelesener Beitrag von Dedimyk »

Hallo Julia und alle Phytoparasitenfreunde,
Julia hat geschrieben:Hi!

Diesen Rostpilz habe ich am 24.06.2007 in unserem Garten auf den Blättern vom Weißen Straußgras (Agrostis stolonifera) gefunden.

Mhm..waren keine Paraphysen da, nur dieses seltsame Ding auf dem einen Bild, aber das ist ja keine Paraphys?
Sporen waren 21,25 x 19,2µm. Sporen außen fein bewarzt, stachelt? Ich hoffe man erkennt das auf dem einen Bild einigermaßen.

Wer kann helfen^^
lg Jule
zunächst mal, das wurmartige Ding ist keine Paraphyse,aber was es ist weiß ich auch nicht; also kommt nur ein Rostpilz im II-Uredostadium ohne Paraphysen auf Agrostis stolonifera in Frage.

Das hat mir das Ganze etwas erleichtert, denn damit fallen von den 6 möglichen Rostpilzarten im II-Uredostadium auf Agrostis nach Gäumann 3 Arten mit Paraphysen weg und es blieben noch 3 Arten ohne Paraphysen übrig, die ich entsprechend untersucht habe.

Genaue Vergleiche der Größe , Ausführung, Keimporen und Bestachelung der II-Uredosporen gemäß der Microbilder waren letztendlich durch Erfolg gekrönt und es ist mir endlich nach diversen abgebrochenen Bestimmungsversuchen ( ich hasse Bestimmungen von Rostpilzen im II-Uredostadium auf Süßgräsern ) gelungen diesem Rostpilz einen Namen zu geben.

Es handelt sich um
Puccinia agrostidis Plowright ex Oudemans 1892,
syn. Puccinia recondita Roberge ex Desmazières emend Cunmmins
die sehr selten auf Agrostis gefunden werden kann.

Hier die Daten aus Gäumann, Klenke, Brandenburger und Zwetko zum Nachlesen und Erkennen:

II-Uredosporenlager strichförmig ungefähr 1mm lang, hellorange, auf beiden Blattseiten, gelbe Flecken verursachend.

II-Uredosporen kugelig oder kurz oval, 17 - 25 µm lang, 13 - 20 µm breit.Wand farblos oder schwach gelblich, 1 µm dick mit feinen, reichlich 1, 5 µm voneinander entfernten Stacheln besetzt mit 6 - 7 nicht besonders deutlichen Keimporen. Inhalt orangefarben ( bei Julia Farbe noch nicht so stark ausgeprägt, da Sporen noch nicht reif sind ).

Puccinia agrostidis Plowright ex Oudemans 1892, vollendet seine Entwicklung mit II-Uredien und III-Telien auf dem Dikaryophyten ( Telienwirt ) Agrostis und wechselt im Früjahr auf den Haplonten ( Aezienwirt ) Aquilegia um dort mit 0-Pyknien und I-Aezien seinen Entwicklungskreislauf wieder zu beginnen.

Vielen Dank für die Vorstellung dieses seltenen, mir bisher unbekannten Rostpilzes, den wir trotz des II-Uredostadiums bestimmen konnten :su: .

Herzliche Grüße Detlef


Literaturnachweise:
-Klenke, Friedemann: Berichte der Arbeitsgemeinschaft sächsicher Botaniker. Sammel- und Bestimmungshilfen für phytoparasitische Kleinpilze Sachsens
Verlag: Berichte der Arbeitsgemeinschaft sächsischer Botaniker Neue Folge Band 16 - Sonderheft Institut für Botanik der Tech. Universität Dresden
ISSN: 1434-1662

-Gäumann, Ernst: Die Rostpilze Mitteleuropas mit besonderer Berücksichtigung der Schweiz
Beiträge zur Kryptogamenflora der Schweiz Band XII mit 90 Tabellen und 1075 Abbildungen, 1407 Seiten
herausgegeben von einer Kommission der Schweiz. Naturforschenden Gesellschaft, Kommissionsverlag Büchler & Co. Bern 1959

-Brandenburger, Wolfgang: Parasitische Pilze an Gefäßpflanzen in Europa
Verlag: Gustav Fischer Verlag-Stuttgart-New York Erscheinungsdatum: 1985, 1248 Seiten
ISBN: 3-437-30433-X

-Poelt, Josef und Zwetko, Peter: Die Rostpilze Österreichs
Biosystematics and Ecology Series No. 12
2. revidierte und erweiterte Auflage des Catalogus Florae Austriae, III. Teil Heft1 Uredinales, 365 Seiten
Verlag: Verlag der Österreichischen Akademie der Wissenschaften 1997
Bandherausgeber: Wilfried Morawetz & Hans Winkler Institut für Botanik, Universtät Wien
ISBN:3-7001-2650-6

-Zwetko, Peter: Die Rostpilze Österreichs
Biosystematics and Ecology Series No. 16
Supplement und Wirt-Parasit-Verzeichnis zur 2. Auflage des Catalogus Florae Austriae,III. Teil Heft 1 Uredinales, 67 Seiten
Verlag: Verlag der Österreichischen Akademie der Wissenschaften 2000
Bandherausgeber: Friedrich Ehrendorfer, Institut für Botanik, Universtät Wien, A-1030 Wien
Serienherausgeber: Wilfried Morawetz & Hans Winkler Institut für Spezielle Botanik, Universtät Wien
ISBN:3-7001-2910-6
Detlef, der Freund der Phytoparasiten
Antworten