Phaeobotryosphaeria visci an Mistel

Spezialforum zum Thema phytoparasitische Kleinpilze ( Rost, Brand, Mehltaupilze etc. ) und tierische Gallen an Wild.- und Nutzpflanzen. Forumsstart - 15.07.2006
Benutzeravatar
Julia
Forums Gott
Beiträge: 2342
Registriert: Mo 7. Aug 2006, 19:23
Kamera: Olympus FE 120 +Panasonic LX 7
Wohnort: Barkelsby, Frankfurt a. Main
Kontaktdaten:

Phaeobotryosphaeria visci an Mistel

Ungelesener Beitrag von Julia »

Heyho,

für heute habe ich mal wieder einen neuen Phytoparasiten zum Vorstellen vorbereitet. Es handelt sich um einen Coelomyceten, den ich am 29.10.2011 in D, Bayern, Oberfranken, Bayreuth, südlich Dörnhof, Straße nach Eckersdorf, Limmersdorfer Forst, Nadelwald; MTB: 6034/2/4, Höhe NN: 410 auf dem Kiefern-Mistel (Viscum laxum) gefunden habe.

Es handelt sich hierbei um Phaeobotryosphaeria visci (Kalchbr.) A.J.L. Phillips & Crous.

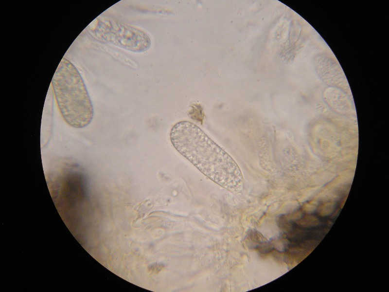
Die schwarzen rundlichen Perithezien werden an Mistelzweigen gebildet, die auf dem Boden liegen. Die Konidien sind verkehrt eiförmig bis länglich, 46µm x 17µm.
Limmersdorf (1).JPG
Limmersdorf (1).JPG (201.52 KiB) 2505 mal betrachtet
Originalwert Bild aufgenommen am/um:
2011:11:29 13:48:03
Bild aufgenommen am/um:
Di 29. Nov 2011, 12:48
Brennweite:
6.3 mm
Belichtungszeit:
1/30 Sek
Blendenwert:
f/2.8
ISO:
154
Weißabgleich:
Automatisch
Blitz:
Blitz nicht ausgelöst, Erzwungener Blitzmodus
Kamera-Hersteller:
OLYMPUS IMAGING CORP.
Kamera-Modell:
FE-120,X-700
Belichtungsmodus:
Kreativprogramm (optimiert auf größtmöglichen Schärfebereich)
Belichtungskorrektur:
0 EV
Belichtungsmessung:
Muster
Limmersdorf (5).JPG
Limmersdorf (5).JPG (112.11 KiB) 2500 mal betrachtet
Originalwert Bild aufgenommen am/um:
2011:04:29 11:09:19
Bild aufgenommen am/um:
Fr 29. Apr 2011, 09:09
Brennweite:
6.3 mm
Belichtungszeit:
1/100 Sek
Blendenwert:
f/2.8
ISO:
80
Weißabgleich:
Automatisch
Blitz:
Blitz nicht ausgelöst, Erzwungener Blitzmodus
Kamera-Hersteller:
OLYMPUS IMAGING CORP.
Kamera-Modell:
FE-120,X-700
Belichtungsmodus:
Kreativprogramm (optimiert auf größtmöglichen Schärfebereich)
Belichtungskorrektur:
5/10 EV
Belichtungsmessung:
Muster
Limmersdorf (7).JPG
Limmersdorf (7).JPG (95.34 KiB) 2497 mal betrachtet
Originalwert Bild aufgenommen am/um:
2011:04:29 11:10:24
Bild aufgenommen am/um:
Fr 29. Apr 2011, 09:10
Brennweite:
6.3 mm
Belichtungszeit:
1/100 Sek
Blendenwert:
f/2.8
ISO:
80
Weißabgleich:
Automatisch
Blitz:
Blitz nicht ausgelöst, Erzwungener Blitzmodus
Kamera-Hersteller:
OLYMPUS IMAGING CORP.
Kamera-Modell:
FE-120,X-700
Belichtungsmodus:
Kreativprogramm (optimiert auf größtmöglichen Schärfebereich)
Belichtungskorrektur:
5/10 EV
Belichtungsmessung:
Muster
400er Limmers (1).JPG
400er Limmers (1).JPG (80.34 KiB) 2499 mal betrachtet
Originalwert Bild aufgenommen am/um:
2011:04:29 10:58:15
Bild aufgenommen am/um:
Fr 29. Apr 2011, 08:58
Brennweite:
6.3 mm
Belichtungszeit:
1/30 Sek
Blendenwert:
f/2.8
ISO:
264
Weißabgleich:
Automatisch
Blitz:
Blitz nicht ausgelöst, Erzwungener Blitzmodus
Kamera-Hersteller:
OLYMPUS IMAGING CORP.
Kamera-Modell:
FE-120,X-700
Belichtungsmodus:
Kreativprogramm (optimiert auf größtmöglichen Schärfebereich)
Belichtungskorrektur:
5/10 EV
Belichtungsmessung:
Muster
1000er Limmers (7).JPG
1000er Limmers (7).JPG (78.87 KiB) 2500 mal betrachtet
Originalwert Bild aufgenommen am/um:
2011:04:29 11:02:02
Bild aufgenommen am/um:
Fr 29. Apr 2011, 09:02
Brennweite:
6.3 mm
Belichtungszeit:
1/8 Sek
Blendenwert:
f/2.8
ISO:
320
Weißabgleich:
Automatisch
Blitz:
Blitz nicht ausgelöst, Erzwungener Blitzmodus
Kamera-Hersteller:
OLYMPUS IMAGING CORP.
Kamera-Modell:
FE-120,X-700
Belichtungsmodus:
Kreativprogramm (optimiert auf größtmöglichen Schärfebereich)
Belichtungskorrektur:
5/10 EV
Belichtungsmessung:
Muster
1000er Limmers (17).JPG
1000er Limmers (17).JPG (67.93 KiB) 2493 mal betrachtet
Originalwert Bild aufgenommen am/um:
2011:04:29 11:05:33
Bild aufgenommen am/um:
Fr 29. Apr 2011, 09:05
Brennweite:
6.3 mm
Belichtungszeit:
1/8 Sek
Blendenwert:
f/2.8
ISO:
320
Weißabgleich:
Automatisch
Blitz:
Blitz nicht ausgelöst, Erzwungener Blitzmodus
Kamera-Hersteller:
OLYMPUS IMAGING CORP.
Kamera-Modell:
FE-120,X-700
Belichtungsmodus:
Kreativprogramm (optimiert auf größtmöglichen Schärfebereich)
Belichtungskorrektur:
5/10 EV
Belichtungsmessung:
Muster

Viel Erfolg bei der Nachsuche!

Liebe Grüße Jule
Benutzeravatar
Volker
Administrator
Beiträge: 1048
Registriert: Mi 22. Dez 2004, 10:13
Kamera: Nikon Coolpix 990, Nikon D700
Pilzverein: Pilzfreunde Saar-Pfalz e.V.
Wohnort: Bexbach
Kontaktdaten:

Re: Phaeobotryosphaeria visci an Mistel

Ungelesener Beitrag von Volker »

Hallo Jule

als ich heute mit Harry auf der Suche nach dem Brandpilz Ustilago vaillantii auf dem Blaustern war (haben wir leider nicht gefunden), fand ich vorher ebenfalls diesen Pilz auf Viscum album. Laut dieser Beschreibung von Phaeobotryosphaeria visci Teil 1 und Teil 2 handelt es sich um die Nebenfruchtform Sphaeropsis visci von Phaeobotryon visci. Index fungorum bezeichnet Sphaeropsis visci und Phaeobotryon visci als Synonyme von Phaeobotryosphaeria visci. Was ist denn hier nun richtig? :spr: Hier kann man auch noch Bilder sehen Sphaeropsis visci.

Stand 01.04.2013: Mittlerweiler hat mir Björn Wergen dazu Folgendes geschrieben: "Anamorphe und Teleomorphe sind genetisch identisch, eine Tatsache, die man während der Beschreibung der Pilze noch nicht wahrnehmen konnte. IndexFungorum greift das neue, phylogenetisch gestützte Wissen auf und setzt die Namen der Anamorphen mit denen der Teleomorphen gleich......"

Ciao Volker
Sphaeropsis_visci.jpg
Sphaeropsis_visci.jpg (133.37 KiB) 2471 mal betrachtet
Originalwert Bild aufgenommen am/um:
0000:00:00 00:00:00
Bild aufgenommen am/um:
Mo 29. Nov 1999, 23:00
Brennweite:
15.9 mm
Belichtungszeit:
1/5.9 Sek
Blendenwert:
f/9.1
ISO:
100
Blitz:
Blitz nicht ausgelöst
Kamera-Hersteller:
NIKON
Kamera-Modell:
E990
Belichtungsmodus:
Blendenvorwahl
Belichtungskorrektur:
0 EV
Belichtungsmessung:
Muster
Sphaeropsis_visci2.jpg
Sphaeropsis_visci2.jpg (138.87 KiB) 2469 mal betrachtet
Originalwert Bild aufgenommen am/um:
0000:00:00 00:00:00
Bild aufgenommen am/um:
Mo 29. Nov 1999, 23:00
Brennweite:
15.9 mm
Belichtungszeit:
1/4.4 Sek
Blendenwert:
f/9.1
ISO:
102
Blitz:
Blitz nicht ausgelöst
Kamera-Hersteller:
NIKON
Kamera-Modell:
E990
Belichtungsmodus:
Blendenvorwahl
Belichtungskorrektur:
0 EV
Belichtungsmessung:
Muster
Sphaeropsis_visci3.jpg
Sphaeropsis_visci3.jpg (136.56 KiB) 2471 mal betrachtet
Originalwert Bild aufgenommen am/um:
0000:00:00 00:00:00
Bild aufgenommen am/um:
Mo 29. Nov 1999, 23:00
Brennweite:
15.9 mm
Belichtungszeit:
1/6.1 Sek
Blendenwert:
f/9.1
ISO:
100
Blitz:
Blitz nicht ausgelöst
Kamera-Hersteller:
NIKON
Kamera-Modell:
E990
Belichtungsmodus:
Blendenvorwahl
Belichtungskorrektur:
0 EV
Belichtungsmessung:
Muster
Benutzeravatar
Julia
Forums Gott
Beiträge: 2342
Registriert: Mo 7. Aug 2006, 19:23
Kamera: Olympus FE 120 +Panasonic LX 7
Wohnort: Barkelsby, Frankfurt a. Main
Kontaktdaten:

Re: Phaeobotryosphaeria visci an Mistel

Ungelesener Beitrag von Julia »

Hallo Volker,

ja, es ist üblich den Namen der Teleomorphe auch für die Anamorphe anzugeben. Ich benenne es meist mit der Anamorphe, um die Unterschiede klar aufzuzeigen.

Ob du die Ana oder Teleomorphe gefunden hast kann meines Wissens so anhand des Bildes eh nicht feststellen, da hättest du mikroskopieren müssen.

Liebe Grüße Jule
Benutzeravatar
Volker
Administrator
Beiträge: 1048
Registriert: Mi 22. Dez 2004, 10:13
Kamera: Nikon Coolpix 990, Nikon D700
Pilzverein: Pilzfreunde Saar-Pfalz e.V.
Wohnort: Bexbach
Kontaktdaten:

Re: Phaeobotryosphaeria visci an Mistel

Ungelesener Beitrag von Volker »

Hi julia

Danke für deine Antwort, jetzt weiß ich Bescheid. Ich habe alles noch hier und kann mikroskopieren wenn ich Zeit habe. Werde mich dann melden.

Danke Volker
Antworten