Peronospora swinglei an Wiesen-Salbei

Spezialforum zum Thema phytoparasitische Kleinpilze ( Rost, Brand, Mehltaupilze etc. ) und tierische Gallen an Wild.- und Nutzpflanzen. Forumsstart - 15.07.2006
Benutzeravatar
Julia
Forums Gott
Beiträge: 2342
Registriert: Mo 7. Aug 2006, 19:23
Kamera: Olympus FE 120 +Panasonic LX 7
Wohnort: Barkelsby, Frankfurt a. Main
Kontaktdaten:

Peronospora swinglei an Wiesen-Salbei

Ungelesener Beitrag von Julia »

Heyho,

bevors wieder mal zur Uni geht ein neuer Phytoparasit (Falscher Mehltaupilz).

Gefunden am 12.05.2012 in D, Bayern, Oberfranken, Lkr. Kulmbach, Lindau, Höhenzug Rauer Berg, Halbtrockenrasen; MTB: 5934/2, Höhe NN: 400m auf den Blättern vom Wiesen-Salbei (Salvia pratense).

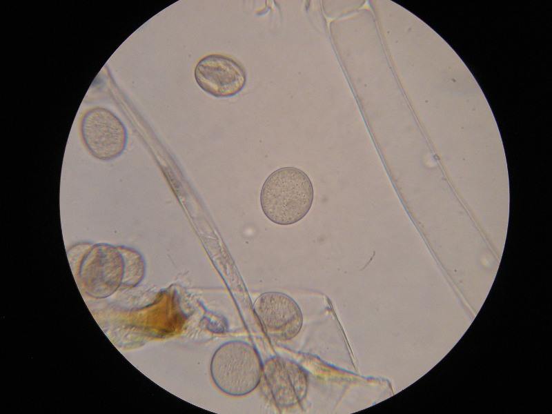
Es handelt sich hierbei um die seltene Peronospora swinglei Ellis & Kellerm.

Befallsbild: Auf der Unterseite von kleinen, gelblichen und eckigen Blattflecken befindet sich ein gräulicher Rasen aus Konidienträgern. Konidien: eiförmig, 22,3µm x 18,7µm
Lindau (1).JPG
Lindau (1).JPG (159.64 KiB) 1243 mal betrachtet
Originalwert Bild aufgenommen am/um:
2012:05:12 15:12:16
Bild aufgenommen am/um:
Sa 12. Mai 2012, 13:12
Brennweite:
6.3 mm
Belichtungszeit:
1/250 Sek
Blendenwert:
f/2.8
ISO:
80
Weißabgleich:
Automatisch
Blitz:
Blitz nicht ausgelöst, Erzwungener Blitzmodus
Kamera-Hersteller:
OLYMPUS IMAGING CORP.
Kamera-Modell:
FE-120,X-700
Belichtungsmodus:
Kreativprogramm (optimiert auf größtmöglichen Schärfebereich)
Belichtungskorrektur:
0 EV
Belichtungsmessung:
Muster
Lindau (8).JPG
Lindau (8).JPG (125.27 KiB) 1244 mal betrachtet
Originalwert Bild aufgenommen am/um:
2012:05:12 15:13:04
Bild aufgenommen am/um:
Sa 12. Mai 2012, 13:13
Brennweite:
6.3 mm
Belichtungszeit:
1/250 Sek
Blendenwert:
f/2.8
ISO:
80
Weißabgleich:
Automatisch
Blitz:
Blitz nicht ausgelöst, Erzwungener Blitzmodus
Kamera-Hersteller:
OLYMPUS IMAGING CORP.
Kamera-Modell:
FE-120,X-700
Belichtungsmodus:
Kreativprogramm (optimiert auf größtmöglichen Schärfebereich)
Belichtungskorrektur:
0 EV
Belichtungsmessung:
Muster
Lindau (11).JPG
Lindau (11).JPG (131.98 KiB) 1241 mal betrachtet
Originalwert Bild aufgenommen am/um:
2012:05:12 15:14:40
Bild aufgenommen am/um:
Sa 12. Mai 2012, 13:14
Brennweite:
6.3 mm
Belichtungszeit:
1/400 Sek
Blendenwert:
f/2.8
ISO:
80
Weißabgleich:
Automatisch
Blitz:
Blitz nicht ausgelöst, Erzwungener Blitzmodus
Kamera-Hersteller:
OLYMPUS IMAGING CORP.
Kamera-Modell:
FE-120,X-700
Belichtungsmodus:
Kreativprogramm (optimiert auf größtmöglichen Schärfebereich)
Belichtungskorrektur:
0 EV
Belichtungsmessung:
Muster
Lindau (12).JPG
Lindau (12).JPG (127.41 KiB) 1242 mal betrachtet
Originalwert Bild aufgenommen am/um:
2012:05:12 15:14:46
Bild aufgenommen am/um:
Sa 12. Mai 2012, 13:14
Brennweite:
6.3 mm
Belichtungszeit:
1/250 Sek
Blendenwert:
f/2.8
ISO:
80
Weißabgleich:
Automatisch
Blitz:
Blitz nicht ausgelöst, Erzwungener Blitzmodus
Kamera-Hersteller:
OLYMPUS IMAGING CORP.
Kamera-Modell:
FE-120,X-700
Belichtungsmodus:
Kreativprogramm (optimiert auf größtmöglichen Schärfebereich)
Belichtungskorrektur:
0 EV
Belichtungsmessung:
Muster
400er Lindau (5).JPG
400er Lindau (5).JPG (80.01 KiB) 1242 mal betrachtet
Originalwert Bild aufgenommen am/um:
2011:05:13 16:39:28
Bild aufgenommen am/um:
Fr 13. Mai 2011, 14:39
Brennweite:
6.3 mm
Belichtungszeit:
1/25 Sek
Blendenwert:
f/2.8
ISO:
320
Weißabgleich:
Automatisch
Blitz:
Blitz nicht ausgelöst, Erzwungener Blitzmodus
Kamera-Hersteller:
OLYMPUS IMAGING CORP.
Kamera-Modell:
FE-120,X-700
Belichtungsmodus:
Kreativprogramm (optimiert auf größtmöglichen Schärfebereich)
Belichtungskorrektur:
0 EV
Belichtungsmessung:
Muster
1000er Lindau (10).JPG
1000er Lindau (10).JPG (92.37 KiB) 1242 mal betrachtet
Originalwert Bild aufgenommen am/um:
2011:05:13 16:43:44
Bild aufgenommen am/um:
Fr 13. Mai 2011, 14:43
Brennweite:
6.3 mm
Belichtungszeit:
1/8 Sek
Blendenwert:
f/2.8
ISO:
320
Weißabgleich:
Automatisch
Blitz:
Blitz nicht ausgelöst, Erzwungener Blitzmodus
Kamera-Hersteller:
OLYMPUS IMAGING CORP.
Kamera-Modell:
FE-120,X-700
Belichtungsmodus:
Kreativprogramm (optimiert auf größtmöglichen Schärfebereich)
Belichtungskorrektur:
0 EV
Belichtungsmessung:
Muster
1000er Lindau (12).JPG
1000er Lindau (12).JPG (78.59 KiB) 1242 mal betrachtet
Originalwert Bild aufgenommen am/um:
2011:05:13 16:45:54
Bild aufgenommen am/um:
Fr 13. Mai 2011, 14:45
Brennweite:
6.3 mm
Belichtungszeit:
1/8 Sek
Blendenwert:
f/2.8
ISO:
320
Weißabgleich:
Automatisch
Blitz:
Blitz nicht ausgelöst, Erzwungener Blitzmodus
Kamera-Hersteller:
OLYMPUS IMAGING CORP.
Kamera-Modell:
FE-120,X-700
Belichtungsmodus:
Kreativprogramm (optimiert auf größtmöglichen Schärfebereich)
Belichtungskorrektur:
0 EV
Belichtungsmessung:
Muster
1000er Lindau (13).JPG
1000er Lindau (13).JPG (83.41 KiB) 1242 mal betrachtet
Originalwert Bild aufgenommen am/um:
2011:05:13 16:46:12
Bild aufgenommen am/um:
Fr 13. Mai 2011, 14:46
Brennweite:
6.3 mm
Belichtungszeit:
1/8 Sek
Blendenwert:
f/2.8
ISO:
320
Weißabgleich:
Automatisch
Blitz:
Blitz nicht ausgelöst, Erzwungener Blitzmodus
Kamera-Hersteller:
OLYMPUS IMAGING CORP.
Kamera-Modell:
FE-120,X-700
Belichtungsmodus:
Kreativprogramm (optimiert auf größtmöglichen Schärfebereich)
Belichtungskorrektur:
0 EV
Belichtungsmessung:
Muster
1000er Lindau (20).JPG
1000er Lindau (20).JPG (107.93 KiB) 1242 mal betrachtet
Originalwert Bild aufgenommen am/um:
2011:05:13 16:47:56
Bild aufgenommen am/um:
Fr 13. Mai 2011, 14:47
Brennweite:
8.8 mm
Belichtungszeit:
1/5 Sek
Blendenwert:
f/3.2
ISO:
320
Weißabgleich:
Automatisch
Blitz:
Blitz nicht ausgelöst, Erzwungener Blitzmodus
Kamera-Hersteller:
OLYMPUS IMAGING CORP.
Kamera-Modell:
FE-120,X-700
Belichtungsmodus:
Kreativprogramm (optimiert auf größtmöglichen Schärfebereich)
Belichtungskorrektur:
0 EV
Belichtungsmessung:
Muster
1000er Lindau (23).JPG
1000er Lindau (23).JPG (82.18 KiB) 1242 mal betrachtet
Originalwert Bild aufgenommen am/um:
2011:05:13 16:48:42
Bild aufgenommen am/um:
Fr 13. Mai 2011, 14:48
Brennweite:
6.3 mm
Belichtungszeit:
1/8 Sek
Blendenwert:
f/2.8
ISO:
320
Weißabgleich:
Automatisch
Blitz:
Blitz nicht ausgelöst, Erzwungener Blitzmodus
Kamera-Hersteller:
OLYMPUS IMAGING CORP.
Kamera-Modell:
FE-120,X-700
Belichtungsmodus:
Kreativprogramm (optimiert auf größtmöglichen Schärfebereich)
Belichtungskorrektur:
0 EV
Belichtungsmessung:
Muster

Viel Erfolg bei der Nachsuche!

Liebe Grüße Jule
Benutzeravatar
Dedimyk
Forums Gott
Beiträge: 2943
Registriert: Sa 26. Nov 2005, 13:47
Wohnort: Gifhorn - Südostniedersachsen

Re: Peronospora swinglei an Wiesen-Salbei

Ungelesener Beitrag von Dedimyk »

Hallo Julia und alle Phytoparasitenfreunde,
Julia hat geschrieben:Heyho,
bevors wieder mal zur Uni geht ein neuer Phytoparasit (Falscher Mehltaupilz).
Gefunden am 12.05.2012 in D, Bayern, Oberfranken, Lkr. Kulmbach, Lindau, Höhenzug Rauer Berg, Halbtrockenrasen; MTB: 5934/2, Höhe NN: 400m auf den Blättern vom Wiesen-Salbei (Salvia pratense).
Es handelt sich hierbei um die seltene Peronospora swinglei Ellis & Kellerm.
Befallsbild: Auf der Unterseite von kleinen, gelblichen und eckigen Blattflecken befindet sich ein gräulicher Rasen aus Konidienträgern. Konidien: eiförmig, 22,3µm x 18,7µm
Viel Erfolg bei der Nachsuche!
Liebe Grüße Jule
Großartig, der Fund des seltenen "Falschen Mehltaupilzes" Peronospora swinglei Ellis & Kellerman 1887 auf Salvia pratensis, dem Wiesen-Salbei. :freu
Da muß man wirklich gute Augen haben, um diesen schwachen blattunterseitigen grauvioletten Rasen auf den kleinen eckigen Flecken der Blätter zu erkennen. :tup:

Die Bestimmung ist insoweit einfach, da es nur diese 1 seltene Art der "Falschen Mehltaupilze" auf diesem Wirt gibt.

Vielen Dank für die Vorstellung dieses interessanten neuen Phytoparasiten, dessen Bilder ich natürlich schnellstens in die Datenbank fungiworld.com übernehmen werde.

Herzliche Grüße Detlef

Literaturhinweise:
-Brandenburger, Wolfgang: Parasitische Pilze an Gefäßpflanzen in Europa
Verlag: Gustav Fischer Verlag-Stuttgart-New York Erscheinungsdatum: 1985, 1248 Seiten
ISBN: 3-437-30433-X

-Klenke, Friedemann: Berichte der Arbeitsgemeinschaft sächsicher Botaniker. Sammel- und Bestimmungshilfen für phytoparasitische Kleinpilze Sachsens
Verlag: Berichte der Arbeitsgemeinschaft sächsischer Botaniker Neue Folge Band 16 - Sonderheft Institut für Botanik der Tech. Universität Dresden 1998
ISSN: 1434-1662

-Brandenburger & Hagedorn ( BBA Band 405)

-Ellis, Martin,B. und Ellis, J.Pamela:Microfungi on Landplants, 888Seiten
The Richmond Publishing Co. Ltd.P.O.Box 963, Slough SL2 3RS England
ISBN: 085546 245 0 Paperback
ISBN: 085546 246 9 Hardback
Detlef, der Freund der Phytoparasiten
Antworten