Hallo zusammen
Ich bin neu hier, deshalb stelle ich mich kurz vor.
Ich heisse Robin,und ich wohne in der französichsprachigen Teil der Schweiz aber ich besuche seit knapp 2 Jahren ein deutschsprachiges Gymnasium. Deutsch ist zwar nicht meine Muttersprache, deswegwn bitte ich euch um Entschuldigung, wenn Sprachfehler auftauchen.
Ich beschäftige mich seit etwa fünf Jahren mit Pilzen und Gefässpflanzen. Seit zwei Jahren mit den Pflanzenparasitischen und auch gelegentlich mit Moosen und Flechten.
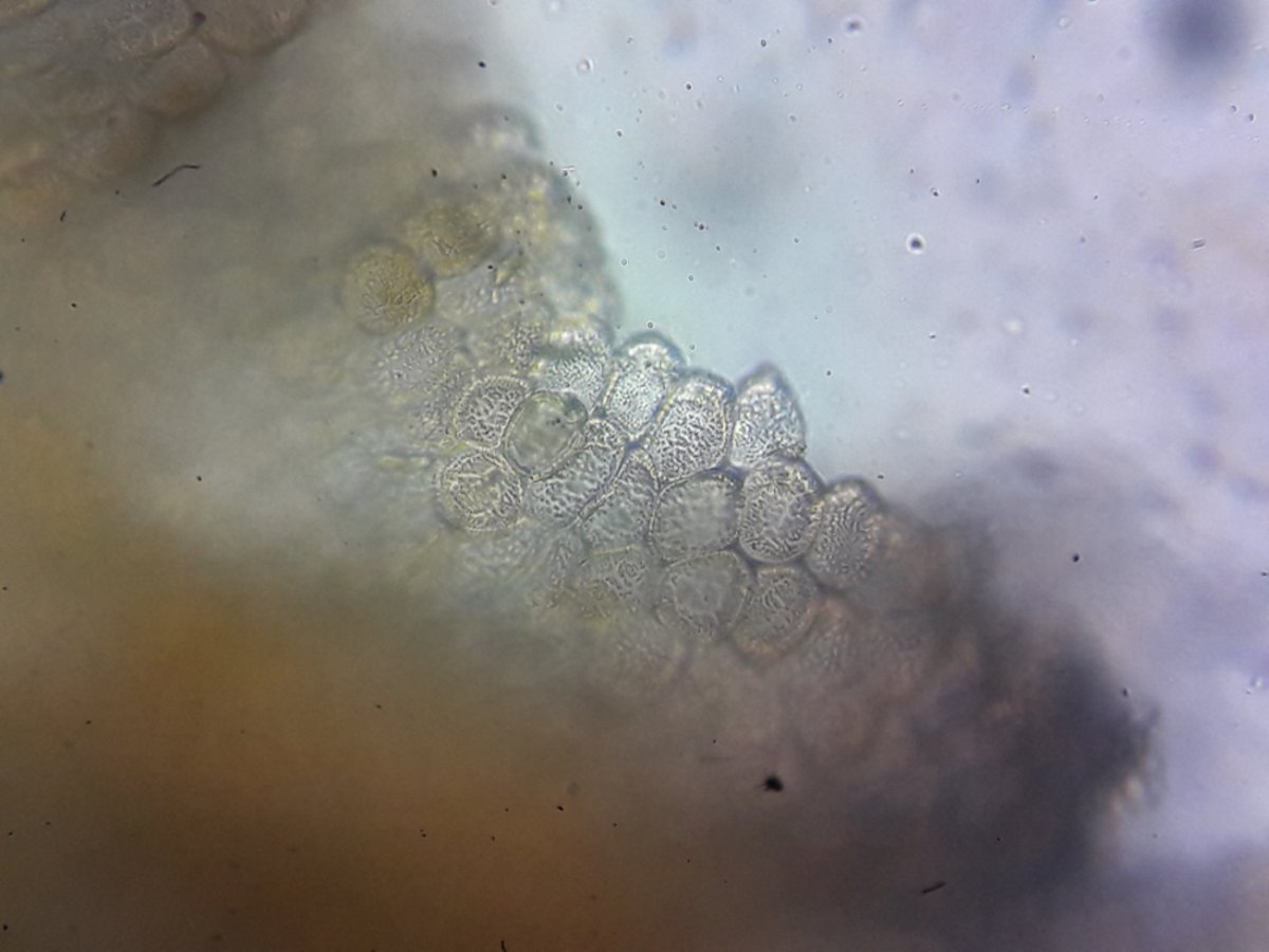
Ich habe Heute einen Rostpilz auf Ficaria gefunden und mit dem Schlüssel von Klenke und Scholler habe ich zwei Alternative. Uromyces poae oder Uromyces rumicis
Erster Unterschied: Die Sporenlänge. Leider kann ich vorläufig mit meinem Mikroskop nichts messen.
Dann scheinen mir meine Exemplare dazwischen zu liegen.
Anzahl der Becher in den Gruppen: sieht sehr variabel aus aber oft deutilch eher 50 als 20
Form der Pseudoperidienzelle: rhombisch
Dies würde eher U.rumicis entsprechen aber die Schlüssel besagt, dass die Sporen sogenannte abfallenden Plättchen haben sollen. Ich habe nichts ähnliches gesehen, obwohl ich mir nicht 100% sicher bin, gut verstanden zu haben,was damit gemeint ist.
Jedenfalls werde ich meine Funde trocknen und deren Sporen messen, sobald ich kann.
Könnte mir jemand helfen ?
Robin
Uromyces auf Ficaria
-
Pâcome De Champignac
- Neuling
- Beiträge: 6
- Registriert: Mo 4. Mai 2020, 18:51
Uromyces auf Ficaria
- Dateianhänge
-
- 20200504_221209 - Copie.jpg (76.77 KiB) 4036 mal betrachtet
EXIF-Daten anzeigen / verbergenOriginalwert Bild aufgenommen am/um:2020:05:04 22:12:08Bild aufgenommen am/um:Mo 4. Mai 2020, 20:12Brennweite:3.7 mmBelichtungszeit:1/8 SekBlendenwert:f/1.9ISO:100Weißabgleich:AutomatischBlitz:Blitz nicht ausgelöstKamera-Hersteller:SamsungKamera-Modell:SM-A510FBelichtungsmodus:AutomatikprogrammBelichtungskorrektur:0 EVBelichtungsmessung:Zentrums-basierte GewichtungKoordinaten:N 47 15 26/ E 7 0 7Google Maps: -
- 20200504_191915 - Copie.jpg (93.08 KiB) 4036 mal betrachtet
EXIF-Daten anzeigen / verbergenOriginalwert Bild aufgenommen am/um:2020:05:04 19:19:15Bild aufgenommen am/um:Mo 4. Mai 2020, 17:19Brennweite:3.7 mmBelichtungszeit:1/8 SekBlendenwert:f/1.9ISO:100Weißabgleich:AutomatischBlitz:Blitz nicht ausgelöstKamera-Hersteller:SamsungKamera-Modell:SM-A510FBelichtungsmodus:AutomatikprogrammBelichtungskorrektur:0 EVBelichtungsmessung:Zentrums-basierte GewichtungKoordinaten:N 47 15 26/ E 7 0 7Google Maps: -
- 20200504_183339.jpg (129.86 KiB) 4036 mal betrachtet
EXIF-Daten anzeigen / verbergenOriginalwert Bild aufgenommen am/um:2020:05:04 18:33:39Bild aufgenommen am/um:Mo 4. Mai 2020, 16:33Brennweite:3.7 mmBelichtungszeit:1/100 SekBlendenwert:f/1.9ISO:50Weißabgleich:AutomatischBlitz:Blitz nicht ausgelöstKamera-Hersteller:SamsungKamera-Modell:SM-A510FBelichtungsmodus:AutomatikprogrammBelichtungskorrektur:0 EVBelichtungsmessung:Zentrums-basierte GewichtungKoordinaten:N 47 15 26/ E 7 0 9Google Maps:
- Harry
- Administrator
- Beiträge: 4719
- Registriert: Mi 22. Dez 2004, 09:37
- Kamera: Nikon D500
Nikon Z5
Olympus Tough TG-6 - Pilzverein: Pilzfreunde Saar - Pfalz e.V.
- Wohnort: Bexbach - Saarland
- Kontaktdaten:
Re: Uromyces auf Ficaria
Hallo Robin,
zunächst einmal ein herzliches Willkommen im Forum. Schön dass du hierher gefunden hast.
Ich bin jetzt nicht gerade der große Spezialist aber Aufgrund der zahlreichen und dicht gedrängten Aezien würde ich da an Uromyces rumicis denken, was sich ja auch mit deiner Vermutung deckt.. Julia gibt in ihrem Buch Faszinierende Pflanzenpilze für beide Arten an:
Uromyces poae = bildet Gruppen von ca. 10 - 20 Aezien
Uromyces rumicis - bildet Gruppen von ca. 20 - 50 Aezien
Was die Mikromerkmale angeht solltest du auf die Antworten von Julia oder Björn warten. Die verstehen von dieser Materie deutlich mehr als ich.
Gruß in die Schweiz
Harry
zunächst einmal ein herzliches Willkommen im Forum. Schön dass du hierher gefunden hast.
Ich bin jetzt nicht gerade der große Spezialist aber Aufgrund der zahlreichen und dicht gedrängten Aezien würde ich da an Uromyces rumicis denken, was sich ja auch mit deiner Vermutung deckt.. Julia gibt in ihrem Buch Faszinierende Pflanzenpilze für beide Arten an:
Uromyces poae = bildet Gruppen von ca. 10 - 20 Aezien
Uromyces rumicis - bildet Gruppen von ca. 20 - 50 Aezien
Was die Mikromerkmale angeht solltest du auf die Antworten von Julia oder Björn warten. Die verstehen von dieser Materie deutlich mehr als ich.
Gruß in die Schweiz
Harry
Dass man immer noch lernen kann ist herrlich, und auch dass man andere dazu braucht.
-
Pâcome De Champignac
- Neuling
- Beiträge: 6
- Registriert: Mo 4. Mai 2020, 18:51
Re: Uromyces auf Ficaria
Danke vielmals !
Robin
Robin
- Julia
- Forums Gott
- Beiträge: 2342
- Registriert: Mo 7. Aug 2006, 19:23
- Kamera: Olympus FE 120 +Panasonic LX 7
- Wohnort: Barkelsby, Frankfurt a. Main
- Kontaktdaten:
Re: Uromyces auf Ficaria
Hallo Robin,
also, ich sehe keine aballenden Plättchen, aber die Sporen sind auch nicht sonderlich groß auf dem Foto und dann ist das ja nur eine Auswahl. Aber die eher kleineren Gruppen und kaum Deformationen sprechen für Uromyces poae.
Liebe Grüße,
Jule
also, ich sehe keine aballenden Plättchen, aber die Sporen sind auch nicht sonderlich groß auf dem Foto und dann ist das ja nur eine Auswahl. Aber die eher kleineren Gruppen und kaum Deformationen sprechen für Uromyces poae.
Liebe Grüße,
Jule
-
Pâcome De Champignac
- Neuling
- Beiträge: 6
- Registriert: Mo 4. Mai 2020, 18:51
Re: Uromyces auf Ficaria
Hallo Julia. Danke Vielmals!!