Duisburger Phytoparasiten 04.07.2021

Spezialforum zum Thema phytoparasitische Kleinpilze ( Rost, Brand, Mehltaupilze etc. ) und tierische Gallen an Wild.- und Nutzpflanzen. Forumsstart - 15.07.2006
bjoerns
alter Hase
Beiträge: 532
Registriert: Mo 3. Sep 2018, 21:21
Kamera: Canon EOS 600D
Canon EF-S 60mm f/2.8 Macro USM
Motic Panthera C
Kontaktdaten:

Duisburger Phytoparasiten 04.07.2021

Ungelesener Beitrag von bjoerns »

Hallo zusammen,

hier ein paar weitere Eindrücke von einer Duisburger Phytorunde aus dem Juli.

1. Ustilago perennans ex Arrhenatherum elatius
IMG_9966.JPG
IMG_9966.JPG (111.89 KiB) 2146 mal betrachtet
Originalwert Bild aufgenommen am/um:
2021:07:04 09:01:14
Bild aufgenommen am/um:
So 4. Jul 2021, 07:01
Brennweite:
60 mm
Belichtungszeit:
1/100 Sek
Blendenwert:
f/8
ISO:
160
Weißabgleich:
Manuell
Blitz:
Blitz nicht ausgelöst, Erzwungener Blitzmodus
Kamera-Hersteller:
Canon
Kamera-Modell:
Canon EOS 600D
Belichtungsmodus:
Blendenvorwahl
Belichtungskorrektur:
-1/3 EV
Belichtungsmessung:
Muster
Koordinaten:
N 51 23.589551 0/ E 6 45.854236 0
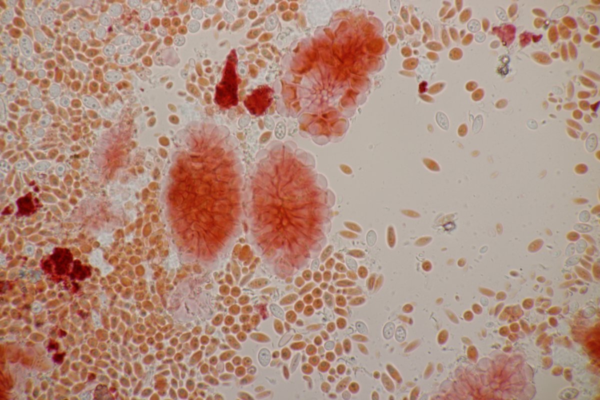
2. Puccinia behenis ex Silene vulgaris
IMG_9972.JPG
IMG_9972.JPG (162.82 KiB) 2146 mal betrachtet
Originalwert Bild aufgenommen am/um:
2021:07:04 10:10:44
Bild aufgenommen am/um:
So 4. Jul 2021, 08:10
Brennweite:
60 mm
Belichtungszeit:
1/80 Sek
Blendenwert:
f/8
ISO:
400
Weißabgleich:
Manuell
Blitz:
Blitz nicht ausgelöst, Erzwungener Blitzmodus
Kamera-Hersteller:
Canon
Kamera-Modell:
Canon EOS 600D
Belichtungsmodus:
Blendenvorwahl
Belichtungskorrektur:
-1/3 EV
Belichtungsmessung:
Muster
Koordinaten:
N 51 24.323705 0/ E 6 47.345115 0
IMG_9973.JPG
IMG_9973.JPG (86.64 KiB) 2146 mal betrachtet
Originalwert Bild aufgenommen am/um:
2021:07:04 10:10:53
Bild aufgenommen am/um:
So 4. Jul 2021, 08:10
Brennweite:
60 mm
Belichtungszeit:
1/80 Sek
Blendenwert:
f/8
ISO:
200
Weißabgleich:
Manuell
Blitz:
Blitz nicht ausgelöst, Erzwungener Blitzmodus
Kamera-Hersteller:
Canon
Kamera-Modell:
Canon EOS 600D
Belichtungsmodus:
Blendenvorwahl
Belichtungskorrektur:
-1/3 EV
Belichtungsmessung:
Muster
Koordinaten:
N 51 24.323705 0/ E 6 47.345115 0
IMG_9976.JPG
IMG_9976.JPG (167.2 KiB) 2146 mal betrachtet
Originalwert Bild aufgenommen am/um:
2021:07:04 10:12:06
Bild aufgenommen am/um:
So 4. Jul 2021, 08:12
Brennweite:
60 mm
Belichtungszeit:
1/80 Sek
Blendenwert:
f/8
ISO:
500
Weißabgleich:
Manuell
Blitz:
Blitz nicht ausgelöst, Erzwungener Blitzmodus
Kamera-Hersteller:
Canon
Kamera-Modell:
Canon EOS 600D
Belichtungsmodus:
Blendenvorwahl
Belichtungskorrektur:
-1/3 EV
Belichtungsmessung:
Muster
Koordinaten:
N 51 24.323705 0/ E 6 47.345115 0
IMG_9981.JPG
IMG_9981.JPG (163.76 KiB) 2146 mal betrachtet
Originalwert Bild aufgenommen am/um:
2021:07:04 10:12:25
Bild aufgenommen am/um:
So 4. Jul 2021, 08:12
Brennweite:
60 mm
Belichtungszeit:
1/100 Sek
Blendenwert:
f/8
ISO:
640
Weißabgleich:
Manuell
Blitz:
Blitz nicht ausgelöst, Erzwungener Blitzmodus
Kamera-Hersteller:
Canon
Kamera-Modell:
Canon EOS 600D
Belichtungsmodus:
Blendenvorwahl
Belichtungskorrektur:
-1/3 EV
Belichtungsmessung:
Muster
Koordinaten:
N 51 24.323705 0/ E 6 47.345115 0
IMG_0034.JPG
IMG_0034.JPG (211.97 KiB) 2146 mal betrachtet
Originalwert Bild aufgenommen am/um:
2021:07:04 13:50:17
Bild aufgenommen am/um:
So 4. Jul 2021, 11:50
Brennweite:
50 mm
Belichtungszeit:
1/200 Sek
Blendenwert:
f/0
ISO:
100
Weißabgleich:
Manuell
Blitz:
Blitz nicht ausgelöst, Erzwungener Blitzmodus
Kamera-Hersteller:
Canon
Kamera-Modell:
Canon EOS 600D
Belichtungsmodus:
Blendenvorwahl
Belichtungskorrektur:
1/1 EV
Belichtungsmessung:
Muster
IMG_0035.JPG
IMG_0035.JPG (214.05 KiB) 2146 mal betrachtet
Originalwert Bild aufgenommen am/um:
2021:07:04 13:50:25
Bild aufgenommen am/um:
So 4. Jul 2021, 11:50
Brennweite:
50 mm
Belichtungszeit:
1/200 Sek
Blendenwert:
f/0
ISO:
100
Weißabgleich:
Manuell
Blitz:
Blitz nicht ausgelöst, Erzwungener Blitzmodus
Kamera-Hersteller:
Canon
Kamera-Modell:
Canon EOS 600D
Belichtungsmodus:
Blendenvorwahl
Belichtungskorrektur:
1/1 EV
Belichtungsmessung:
Muster
IMG_0036.JPG
IMG_0036.JPG (204.98 KiB) 2146 mal betrachtet
Originalwert Bild aufgenommen am/um:
2021:07:04 13:50:30
Bild aufgenommen am/um:
So 4. Jul 2021, 11:50
Brennweite:
50 mm
Belichtungszeit:
1/200 Sek
Blendenwert:
f/0
ISO:
100
Weißabgleich:
Manuell
Blitz:
Blitz nicht ausgelöst, Erzwungener Blitzmodus
Kamera-Hersteller:
Canon
Kamera-Modell:
Canon EOS 600D
Belichtungsmodus:
Blendenvorwahl
Belichtungskorrektur:
1/1 EV
Belichtungsmessung:
Muster
IMG_0037.JPG
IMG_0037.JPG (161.07 KiB) 2146 mal betrachtet
Originalwert Bild aufgenommen am/um:
2021:07:04 13:50:39
Bild aufgenommen am/um:
So 4. Jul 2021, 11:50
Brennweite:
50 mm
Belichtungszeit:
1/200 Sek
Blendenwert:
f/0
ISO:
100
Weißabgleich:
Manuell
Blitz:
Blitz nicht ausgelöst, Erzwungener Blitzmodus
Kamera-Hersteller:
Canon
Kamera-Modell:
Canon EOS 600D
Belichtungsmodus:
Blendenvorwahl
Belichtungskorrektur:
1/1 EV
Belichtungsmessung:
Muster
IMG_0038.JPG
IMG_0038.JPG (160.89 KiB) 2146 mal betrachtet
Originalwert Bild aufgenommen am/um:
2021:07:04 13:50:53
Bild aufgenommen am/um:
So 4. Jul 2021, 11:50
Brennweite:
50 mm
Belichtungszeit:
1/200 Sek
Blendenwert:
f/0
ISO:
100
Weißabgleich:
Manuell
Blitz:
Blitz nicht ausgelöst, Erzwungener Blitzmodus
Kamera-Hersteller:
Canon
Kamera-Modell:
Canon EOS 600D
Belichtungsmodus:
Blendenvorwahl
Belichtungskorrektur:
1/1 EV
Belichtungsmessung:
Muster
IMG_0039.JPG
IMG_0039.JPG (205.57 KiB) 2146 mal betrachtet
Originalwert Bild aufgenommen am/um:
2021:07:04 13:50:59
Bild aufgenommen am/um:
So 4. Jul 2021, 11:50
Brennweite:
50 mm
Belichtungszeit:
1/200 Sek
Blendenwert:
f/0
ISO:
100
Weißabgleich:
Manuell
Blitz:
Blitz nicht ausgelöst, Erzwungener Blitzmodus
Kamera-Hersteller:
Canon
Kamera-Modell:
Canon EOS 600D
Belichtungsmodus:
Blendenvorwahl
Belichtungskorrektur:
1/1 EV
Belichtungsmessung:
Muster
3. Albugo candida s.l. ex Berteroa incana
IMG_9998.JPG
IMG_9998.JPG (140.71 KiB) 2146 mal betrachtet
Originalwert Bild aufgenommen am/um:
2021:07:04 10:33:38
Bild aufgenommen am/um:
So 4. Jul 2021, 08:33
Brennweite:
60 mm
Belichtungszeit:
1/80 Sek
Blendenwert:
f/8
ISO:
320
Weißabgleich:
Manuell
Blitz:
Blitz nicht ausgelöst, Erzwungener Blitzmodus
Kamera-Hersteller:
Canon
Kamera-Modell:
Canon EOS 600D
Belichtungsmodus:
Blendenvorwahl
Belichtungskorrektur:
-1/3 EV
Belichtungsmessung:
Muster
Koordinaten:
N 51 24.457021 0/ E 6 47.247268 0
IMG_0001.JPG
IMG_0001.JPG (182.36 KiB) 2146 mal betrachtet
Originalwert Bild aufgenommen am/um:
2021:07:04 10:34:06
Bild aufgenommen am/um:
So 4. Jul 2021, 08:34
Brennweite:
60 mm
Belichtungszeit:
1/80 Sek
Blendenwert:
f/8
ISO:
320
Weißabgleich:
Manuell
Blitz:
Blitz nicht ausgelöst, Erzwungener Blitzmodus
Kamera-Hersteller:
Canon
Kamera-Modell:
Canon EOS 600D
Belichtungsmodus:
Blendenvorwahl
Belichtungskorrektur:
-1/3 EV
Belichtungsmessung:
Muster
Koordinaten:
N 51 24.457021 0/ E 6 47.247268 0
IMG_0044.JPG
IMG_0044.JPG (154.47 KiB) 2146 mal betrachtet
Originalwert Bild aufgenommen am/um:
2021:07:04 14:25:10
Bild aufgenommen am/um:
So 4. Jul 2021, 12:25
Brennweite:
50 mm
Belichtungszeit:
1/320 Sek
Blendenwert:
f/0
ISO:
100
Weißabgleich:
Manuell
Blitz:
Blitz nicht ausgelöst, Erzwungener Blitzmodus
Kamera-Hersteller:
Canon
Kamera-Modell:
Canon EOS 600D
Belichtungsmodus:
Blendenvorwahl
Belichtungskorrektur:
1/1 EV
Belichtungsmessung:
Muster
IMG_0045.JPG
IMG_0045.JPG (143.9 KiB) 2146 mal betrachtet
Originalwert Bild aufgenommen am/um:
2021:07:04 14:26:15
Bild aufgenommen am/um:
So 4. Jul 2021, 12:26
Brennweite:
50 mm
Belichtungszeit:
1/320 Sek
Blendenwert:
f/0
ISO:
100
Weißabgleich:
Manuell
Blitz:
Blitz nicht ausgelöst, Erzwungener Blitzmodus
Kamera-Hersteller:
Canon
Kamera-Modell:
Canon EOS 600D
Belichtungsmodus:
Blendenvorwahl
Belichtungskorrektur:
1/1 EV
Belichtungsmessung:
Muster
IMG_0046.JPG
IMG_0046.JPG (178.57 KiB) 2146 mal betrachtet
Originalwert Bild aufgenommen am/um:
2021:07:04 14:26:20
Bild aufgenommen am/um:
So 4. Jul 2021, 12:26
Brennweite:
50 mm
Belichtungszeit:
1/320 Sek
Blendenwert:
f/0
ISO:
100
Weißabgleich:
Manuell
Blitz:
Blitz nicht ausgelöst, Erzwungener Blitzmodus
Kamera-Hersteller:
Canon
Kamera-Modell:
Canon EOS 600D
Belichtungsmodus:
Blendenvorwahl
Belichtungskorrektur:
1/1 EV
Belichtungsmessung:
Muster
4. Pseudomicrostroma juglandis ex Juglans regia
IMG_0013.JPG
IMG_0013.JPG (237.89 KiB) 2146 mal betrachtet
Originalwert Bild aufgenommen am/um:
2021:07:04 13:10:22
Bild aufgenommen am/um:
So 4. Jul 2021, 11:10
Brennweite:
50 mm
Belichtungszeit:
1/1 Sek
Blendenwert:
f/0
ISO:
100
Weißabgleich:
Manuell
Blitz:
Blitz nicht ausgelöst, Erzwungener Blitzmodus
Kamera-Hersteller:
Canon
Kamera-Modell:
Canon EOS 600D
Belichtungsmodus:
Blendenvorwahl
Belichtungskorrektur:
0 EV
Belichtungsmessung:
Muster
Koordinaten:
N 51 24.828031 0/ E 6 47.66183 0
IMG_0014.JPG
IMG_0014.JPG (240.16 KiB) 2146 mal betrachtet
Originalwert Bild aufgenommen am/um:
2021:07:04 13:10:57
Bild aufgenommen am/um:
So 4. Jul 2021, 11:10
Brennweite:
50 mm
Belichtungszeit:
1/1 Sek
Blendenwert:
f/0
ISO:
100
Weißabgleich:
Manuell
Blitz:
Blitz nicht ausgelöst, Erzwungener Blitzmodus
Kamera-Hersteller:
Canon
Kamera-Modell:
Canon EOS 600D
Belichtungsmodus:
Blendenvorwahl
Belichtungskorrektur:
0 EV
Belichtungsmessung:
Muster
Koordinaten:
N 51 24.828031 0/ E 6 47.66183 0
IMG_0015.JPG
IMG_0015.JPG (227.94 KiB) 2146 mal betrachtet
Originalwert Bild aufgenommen am/um:
2021:07:04 13:11:27
Bild aufgenommen am/um:
So 4. Jul 2021, 11:11
Brennweite:
50 mm
Belichtungszeit:
1/1 Sek
Blendenwert:
f/0
ISO:
100
Weißabgleich:
Manuell
Blitz:
Blitz nicht ausgelöst, Erzwungener Blitzmodus
Kamera-Hersteller:
Canon
Kamera-Modell:
Canon EOS 600D
Belichtungsmodus:
Blendenvorwahl
Belichtungskorrektur:
0 EV
Belichtungsmessung:
Muster
Koordinaten:
N 51 24.828031 0/ E 6 47.66183 0
IMG_0016.JPG
IMG_0016.JPG (176.98 KiB) 2146 mal betrachtet
Originalwert Bild aufgenommen am/um:
2021:07:04 13:12:28
Bild aufgenommen am/um:
So 4. Jul 2021, 11:12
Brennweite:
50 mm
Belichtungszeit:
1/1.25 Sek
Blendenwert:
f/0
ISO:
100
Weißabgleich:
Manuell
Blitz:
Blitz nicht ausgelöst, Erzwungener Blitzmodus
Kamera-Hersteller:
Canon
Kamera-Modell:
Canon EOS 600D
Belichtungsmodus:
Blendenvorwahl
Belichtungskorrektur:
0 EV
Belichtungsmessung:
Muster
Koordinaten:
N 51 24.828031 0/ E 6 47.66183 0
IMG_0017.JPG
IMG_0017.JPG (177.74 KiB) 2146 mal betrachtet
Originalwert Bild aufgenommen am/um:
2021:07:04 13:12:36
Bild aufgenommen am/um:
So 4. Jul 2021, 11:12
Brennweite:
50 mm
Belichtungszeit:
1/1.25 Sek
Blendenwert:
f/0
ISO:
100
Weißabgleich:
Manuell
Blitz:
Blitz nicht ausgelöst, Erzwungener Blitzmodus
Kamera-Hersteller:
Canon
Kamera-Modell:
Canon EOS 600D
Belichtungsmodus:
Blendenvorwahl
Belichtungskorrektur:
0 EV
Belichtungsmessung:
Muster
Koordinaten:
N 51 24.828031 0/ E 6 47.66183 0
IMG_0030.JPG
IMG_0030.JPG (193.11 KiB) 2146 mal betrachtet
Originalwert Bild aufgenommen am/um:
2021:07:04 13:48:02
Bild aufgenommen am/um:
So 4. Jul 2021, 11:48
Brennweite:
50 mm
Belichtungszeit:
1/250 Sek
Blendenwert:
f/0
ISO:
100
Weißabgleich:
Manuell
Blitz:
Blitz nicht ausgelöst, Erzwungener Blitzmodus
Kamera-Hersteller:
Canon
Kamera-Modell:
Canon EOS 600D
Belichtungsmodus:
Blendenvorwahl
Belichtungskorrektur:
1/1 EV
Belichtungsmessung:
Muster
IMG_0031.JPG
IMG_0031.JPG (169.2 KiB) 2146 mal betrachtet
Originalwert Bild aufgenommen am/um:
2021:07:04 13:48:16
Bild aufgenommen am/um:
So 4. Jul 2021, 11:48
Brennweite:
50 mm
Belichtungszeit:
1/200 Sek
Blendenwert:
f/0
ISO:
100
Weißabgleich:
Manuell
Blitz:
Blitz nicht ausgelöst, Erzwungener Blitzmodus
Kamera-Hersteller:
Canon
Kamera-Modell:
Canon EOS 600D
Belichtungsmodus:
Blendenvorwahl
Belichtungskorrektur:
1/1 EV
Belichtungsmessung:
Muster
IMG_0032.JPG
IMG_0032.JPG (184.94 KiB) 2146 mal betrachtet
Originalwert Bild aufgenommen am/um:
2021:07:04 13:49:17
Bild aufgenommen am/um:
So 4. Jul 2021, 11:49
Brennweite:
50 mm
Belichtungszeit:
1/250 Sek
Blendenwert:
f/0
ISO:
100
Weißabgleich:
Manuell
Blitz:
Blitz nicht ausgelöst, Erzwungener Blitzmodus
Kamera-Hersteller:
Canon
Kamera-Modell:
Canon EOS 600D
Belichtungsmodus:
Blendenvorwahl
Belichtungskorrektur:
1/1 EV
Belichtungsmessung:
Muster
IMG_0033.JPG
IMG_0033.JPG (157.63 KiB) 2146 mal betrachtet
Originalwert Bild aufgenommen am/um:
2021:07:04 13:49:38
Bild aufgenommen am/um:
So 4. Jul 2021, 11:49
Brennweite:
50 mm
Belichtungszeit:
1/250 Sek
Blendenwert:
f/0
ISO:
100
Weißabgleich:
Manuell
Blitz:
Blitz nicht ausgelöst, Erzwungener Blitzmodus
Kamera-Hersteller:
Canon
Kamera-Modell:
Canon EOS 600D
Belichtungsmodus:
Blendenvorwahl
Belichtungskorrektur:
1/1 EV
Belichtungsmessung:
Muster
Björn
Benutzeravatar
Julia
Forums Gott
Beiträge: 2342
Registriert: Mo 7. Aug 2006, 19:23
Kamera: Olympus FE 120 +Panasonic LX 7
Wohnort: Barkelsby, Frankfurt a. Main
Kontaktdaten:

Re: Duisburger Phytoparasiten 04.07.2021

Ungelesener Beitrag von Julia »

Guten morgen Björn,

ja, das passt alles :) Danke fürs zeigen der schönen Fotos!!!

Liebe Grüße,
Jule
Antworten